GABRE Antikörper (AA 237-286)
Kurzübersicht für GABRE Antikörper (AA 237-286) (ABIN6736386)
Target
Alle GABRE Antikörper anzeigenReaktivität
Wirt
Klonalität
Konjugat
Applikation
-
-
Bindungsspezifität
- AA 237-286
-
Spezifität
- Human GABRE
-
Homologie
- Percent identity by BLAST analysis: Human (100%) Rat (92%) Rabbit (85%) Mouse (84%).
-
Aufreinigung
- Immunoaffinity purified
-
Immunogen
-
Synthetic peptide located between aa237-286 of human GABRE. Percent identity by BLAST analysis: Human, Chimpanzee, Gorilla, Gibbon, Monkey (100%), Rat (92%), Rabbit (85%), Mouse (84%).
Type of Immunogen: Synthetic peptide
-
-
-
-
Applikationshinweise
-
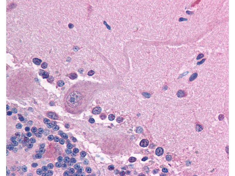
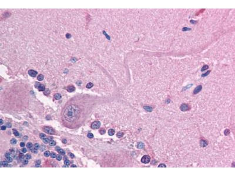
Approved: IHC, IHC-P (2.5 μg/mL), WB (0.2 - 1 μg/mL)
Usage: Immunohistochemistry: This antibody was validated for use in immunohistochemistry on a panel of 21 formalin-fixed, paraffin-embedded (FFPE) human tissues after heat induced antigen retrieval in pH 6.0 citrate buffer. After incubation with the primary antibody, slides were incubated with biotinylated secondary antibody, followed by alkaline phosphatase-streptavidin and chromogen. The stained slides were evaluated by a pathologist to confirm staining specificity. The optimal working concentration for this antibody was determined to be 2.5 μg/mL. -
Kommentare
-
Target Species of Antibody: Human
-
Beschränkungen
- Nur für Forschungszwecke einsetzbar
-
-
-
Format
- Lyophilized
-
Rekonstitution
- After adding water, will consist of PBS buffer with 2 % sucrose
-
Konzentration
- Lot specific
-
Buffer
- Lyophilized from PBS with 2 % sucrose
-
Handhabung
- avoid freeze thaw cycles.
-
Lagerung
- 4 °C,-20 °C
-
Informationen zur Lagerung
-
Long term: -20°C, the use of 50% glycerol is recommended if storing aliquots in -20°C for long term use (up to 1 year)
Short term (less than 1 week): 4°C. Avoid freeze-thaw cycles.
-
-
- GABRE (gamma-aminobutyric Acid (GABA) A Receptor, epsilon (GABRE))
-
Andere Bezeichnung
- GABRE
-
Hintergrund
-
Name/Gene ID: GABRE
Subfamily: GABA A receptor
Family: Ion Channel
Synonyms: GABRE, GABA receptor epsilon, GABA(A) receptor, epsilon -
Gen-ID
- 2564
-
UniProt
- P78334
-
Pathways
- Synaptic Membrane
Target
-