Telefon:
+49 (0)241 95 163 153
Fax:
+49 (0)241 95 163 155
E-Mail:
orders@antikoerper-online.de

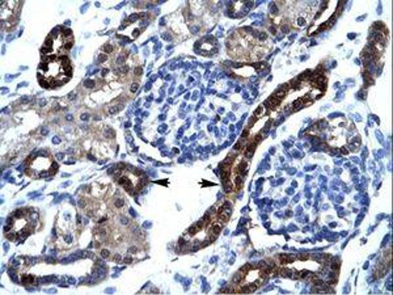
SFRS17A Antikörper (AA 48-97)

Der Kaninchen Polyklonal anti-SFRS17A Antikörper (ABIN6735878) detektiert spezifisch SFRS17A in WB, IHC und IHC (p). Dieser Antikörper reagiert spezifisch mit Proben aus Human, Huhn und Pferd.
Produktnummer ABIN6735878
774,07 €
Zzgl. Versandkosten 20,00 € und MwSt
100 μL
Lieferung nach: Deutschland
Lieferung in 15 bis 20 Werktagen

Kurzübersicht für SFRS17A Antikörper (AA 48-97) (ABIN6735878)

Target

Alle SFRS17A (AKAP17A) Antikörper anzeigen
SFRS17A (AKAP17A) (A Kinase (PRKA) Anchor Protein 17A (AKAP17A))

Reaktivität

Human, Huhn, Pferd

Wirt

  • 39
  • 4
Kaninchen

Klonalität

  • 41
  • 2
Polyklonal

Konjugat

  • 21
  • 3
  • 3
  • 2
  • 2
  • 2
  • 2
  • 2
  • 2
  • 2
  • 1
  • 1
Dieser SFRS17A Antikörper ist unkonjugiert

Applikation

  • 25
  • 18
  • 6
  • 4
  • 3
  • 2
  • 1
  • 1
Western Blotting (WB), Immunohistochemistry (IHC), Immunohistochemistry (Paraffin-embedded Sections) (IHC (p))
  • Bindungsspezifität

    • 7
    • 5
    • 4
    • 2
    • 2
    • 1
    • 1
    • 1
    • 1
    • 1
    • 1
    • 1
    • 1
    • 1
    • 1
    AA 48-97

    Spezifität

    Human AKAP17A / SFRS17A

    Homologie

    Percent identity by BLAST analysis: Pufferfish (84%).

    Aufreinigung

    Immunoaffinity purified

    Immunogen

    Synthetic peptide located between aa48-97 of human AKAP17A (Q8N6U9, NP_005079). Percent identity by BLAST analysis: Human, Gorilla, Gibbon, Galago, Elephant, Panda, Horse, Opossum, Turkey, Chicken (100%), Lizard, Xenopus (92%), Stickleback (84%).

    Type of Immunogen: Synthetic peptide

    Isotyp

    IgG
  • Applikationshinweise

    Approved: IHC, IHC-P, WB (0.2 - 1 μg/mL)

    Kommentare

    Target Species of Antibody: Human

    Beschränkungen

    Nur für Forschungszwecke einsetzbar
  • Format

    Lyophilized

    Rekonstitution

    After adding water, will consist of PBS buffer with 2 % sucrose

    Konzentration

    Lot specific

    Buffer

    Lyophilized from PBS with 2 % sucrose

    Handhabung

    Avoid repeat freeze-thaw cycles.

    Lagerung

    4 °C,-20 °C

    Informationen zur Lagerung

    Long term: -20°C, the use of 50% glycerol is recommended if storing aliquots in -20°C for long term use (up to 1 year)
    Short term (less than 1 week): 4°C. Avoid freeze-thaw cycles.
  • Target

    SFRS17A (AKAP17A) (A Kinase (PRKA) Anchor Protein 17A (AKAP17A))

    Andere Bezeichnung

    AKAP17A / 721P

    Hintergrund

    Name/Gene ID: AKAP17A

    Synonyms: AKAP17A, A-kinase anchor protein 17A, 721P, AKAP-17A, B-lymphocyte antigen, B-lymphocyte surface antigen, CCDC133, CXYorf3, DXYS155E, PRKA17A, Pseudoautosomal gene XE7, XE7Y, XE7, Protein XE7, SFRS17A

    Gen-ID

    8227

    NCBI Accession

    NP_005079

    UniProt

    Q02040
Sie sind hier:
Chat with us!