KIN Antikörper (AA 230-279)
Kurzübersicht für KIN Antikörper (AA 230-279) (ABIN6735789)
Target
Alle KIN Antikörper anzeigenReaktivität
Wirt
Klonalität
Konjugat
Applikation
-
-
Bindungsspezifität
- AA 230-279
-
Spezifität
- Human KIN
-
Homologie
- Percent identity by BLAST analysis: Human, Horse (100%) Dog, Bovine, Rabbit, Guinea pig (84%).
-
Aufreinigung
- Immunoaffinity purified
-
Immunogen
-
Synthetic peptide located between aa230-279 of human KIN (O60870, NP_036443). Percent identity by BLAST analysis: Human, Chimpanzee, Horse (100%), Gibbon, Marmoset (92%), Monkey, Galago, Elephant, Dog, Bovine, Rabbit, Guinea pig (84%).
Type of Immunogen: Synthetic peptide -
Isotyp
- IgG
-
-
-
-
Applikationshinweise
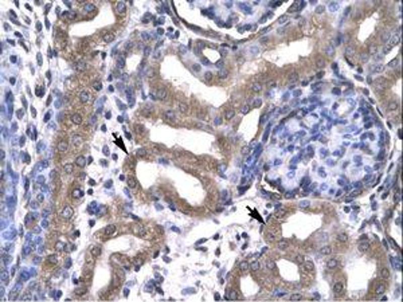
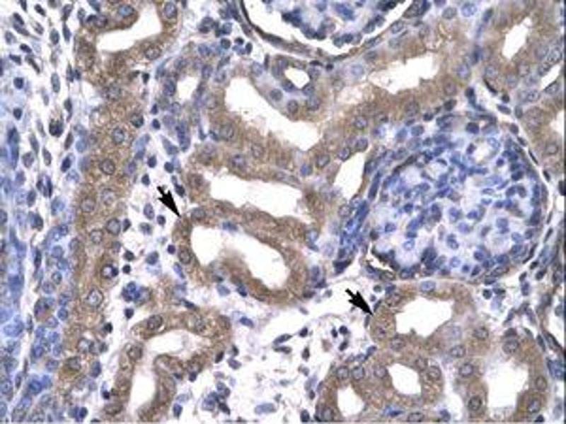
- Approved: IHC, IHC-P, WB (0.2 - 1 μg/mL)
-
Kommentare
-
Target Species of Antibody: Human
-
Beschränkungen
- Nur für Forschungszwecke einsetzbar
-
-
-
Format
- Lyophilized
-
Rekonstitution
- After adding water, will consist of PBS buffer with 2 % sucrose
-
Konzentration
- Lot specific
-
Buffer
- Lyophilized from PBS with 2 % sucrose
-
Handhabung
- Avoid repeat freeze-thaw cycles.
-
Lagerung
- 4 °C,-20 °C
-
Informationen zur Lagerung
-
Long term: -20°C, the use of 50% glycerol is recommended if storing aliquots in -20°C for long term use (up to 1 year)
Short term (less than 1 week): 4°C. Avoid freeze-thaw cycles.
-
-
-