Telefon:
+49 (0)241 95 163 153
Fax:
+49 (0)241 95 163 155
E-Mail:
orders@antikoerper-online.de

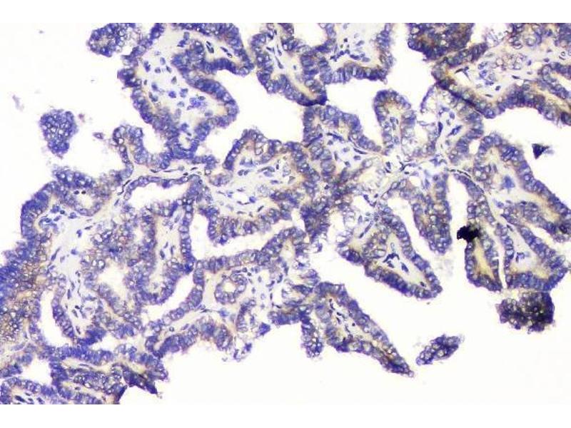
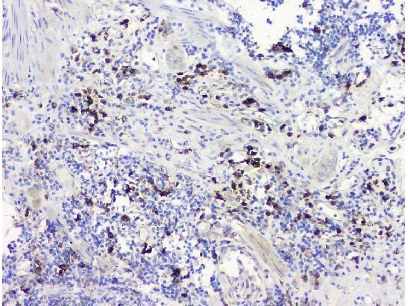
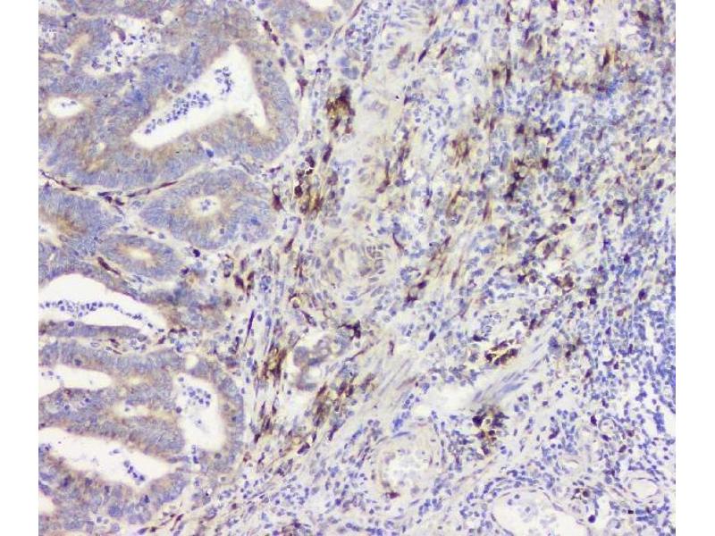
RRBP1 Antikörper

Der Kaninchen Polyklonal anti-RRBP1 Antikörper (ABIN6719628) detektiert spezifisch RRBP1 in WB, FACS, IHC, IF, ICC und IHC (fro). Dieser Antikörper reagiert spezifisch mit Proben aus Human, Maus und Ratte.
Produktnummer ABIN6719628
500,50 €
Zzgl. Versandkosten 20,00 € und MwSt
100 μg
Lieferung nach: Deutschland
Lieferung in 8 bis 12 Werktagen

Kurzübersicht für RRBP1 Antikörper (ABIN6719628)

Target

Alle RRBP1 Antikörper anzeigen
RRBP1 (Ribosome Binding Protein 1 (RRBP1))

Reaktivität

  • 47
  • 9
  • 2
  • 2
  • 2
  • 2
  • 2
  • 1
  • 1
Human, Maus, Ratte

Wirt

  • 45
  • 2
Kaninchen

Klonalität

  • 45
  • 2
Polyklonal

Konjugat

  • 21
  • 2
  • 2
  • 2
  • 2
  • 1
  • 1
  • 1
  • 1
  • 1
  • 1
  • 1
  • 1
  • 1
  • 1
  • 1
  • 1
  • 1
  • 1
  • 1
  • 1
  • 1
  • 1
Dieser RRBP1 Antikörper ist unkonjugiert

Applikation

  • 40
  • 15
  • 14
  • 13
  • 13
  • 7
  • 5
  • 5
  • 4
  • 3
  • 3
Western Blotting (WB), Flow Cytometry (FACS), Immunohistochemistry (IHC), Immunofluorescence (IF), Immunocytochemistry (ICC), Immunohistochemistry (Frozen Sections) (IHC (fro))
  • Verwendungszweck

    Anti-RRBP1 Antibody

    Sequenz

    EKEKKLTSDL GRAATRLQEL LKTTQEQLAR EKDTVKKLQE QLEKAED

    Kreuzreaktivität (Details)

    No cross-reactivity with other proteins.

    Produktmerkmale

    Anti-RRBP1 Antibody (ABIN6719628). Tested in Flow Cytometry, IF, IHC, IHC-F, ICC, WB applications. This antibody reacts with Human, Mouse, Rat. This is a premium antibody that guarantees superior quality, high affinity, and strong signals with minimal background in Western blot applications.

    Aufreinigung

    Immunogen affinity purified.

    Immunogen

    A synthetic peptide corresponding to a sequence at the C-terminus of human RRBP1, which shares 87.2% and 89.4% amino acid (aa) sequence identity with mouse and rat RRBP1, respectively.

    Isotyp

    IgG
  • Applikationshinweise

    Western blot, 0.1-0.5 μg/mL
    Immunohistochemistry (Paraffin-embedded Section), 0.5-1 μg/mL
    Immunohistochemistry (Frozen Section), 0.5-1 μg/mL
    Immunocytochemistry/Immunofluorescence, 2 μg/mL
    Flow Cytometry (Fixed), 1-3 μg/1x106 cells

    Kommentare

    Tested Species: In-house tested species with positive results. By Heat: Boiling the paraffin sections in 10mM citrate buffer, pH6.0, for 20mins is required for the staining of formalin/paraffin sections. Other applications have not been tested. Optimal dilutions should be determined by end users.

    Beschränkungen

    Nur für Forschungszwecke einsetzbar
  • Format

    Lyophilized

    Rekonstitution

    Adding 0.2 mL of distilled water will yield a concentration of 500 μg/mL.

    Konzentration

    500 μg/mL

    Buffer

    Each vial contains 4 mg Trehalose, 0.9 mg NaCl, 0.2 mg Na2HPO4, 0.05 mg NaN3.

    Konservierungsmittel

    Sodium azide

    Vorsichtsmaßnahmen

    This product contains Sodium azide: a POISONOUS AND HAZARDOUS SUBSTANCE which should be handled by trained staff only.

    Lagerung

    4 °C,-20 °C

    Informationen zur Lagerung

    Store at -20°C for one year from date of receipt. After reconstitution, at 4°C for one month.
    It can also be aliquotted and stored frozen at -20°C for six months. Avoid repeated freeze-thaw cycles.
  • Target

    RRBP1 (Ribosome Binding Protein 1 (RRBP1))

    Andere Bezeichnung

    RRBP1

    Hintergrund

    Synonyms: Ribosome-binding protein 1, 180 kDa ribosome receptor homolog, RRp, ES/130-related protein, Ribosome receptor protein, RRBP1, KIAA1398

    Tissue Specificity: Expressed in kidney.

    Background: Ribosome-binding protein 1, also referred to as p180, is a protein that in humans is encoded by the RRBP1 gene. It is mapped to 20p12.1. This gene encodes a ribosome-binding protein of the endoplasmic reticulum (ER) membrane. Studies suggest that this gene plays a role in ER proliferation, secretory pathways and secretory cell differentiation, and mediation of ER-microtubule interactions. Alternative splicing has been observed and protein isoforms are characterized by regions of N-terminal decapeptide and C-terminal heptad repeats. Splicing of the tandem repeats results in variations in ribosome-binding affinity and secretory function. The full-length nature of variants which differ in repeat length has not been determined. Pseudogenes of this gene have been identified on chromosomes 3 and 7, and RRBP1 has been excluded as a candidate gene in the cause of Alagille syndrome, the result of a mutation in a nearby gene on chromosome 20p12.

    Molekulargewicht

    200 kDa

    Gen-ID

    6238

    UniProt

    Q9P2E9
Sie sind hier:
Chat with us!