Telefon:
+49 (0)241 95 163 153
Fax:
+49 (0)241 95 163 155
E-Mail:
orders@antikoerper-online.de

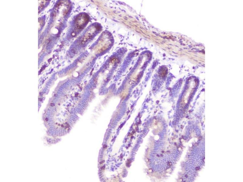
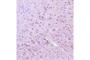
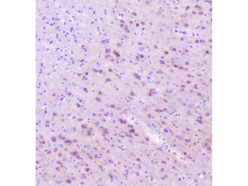
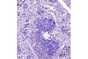
RASAL1 Antikörper (AA 721-798)

Der Kaninchen Polyklonal anti-RASAL1 Antikörper (ABIN6719367) detektiert spezifisch RASAL1 in WB, ELISA und IHC. Dieser Antikörper reagiert spezifisch mit Proben aus Human, Maus und Ratte.
Produktnummer ABIN6719367
500,50 €
Zzgl. Versandkosten 20,00 € und MwSt
100 μg
Lieferung nach: Deutschland
Lieferung in 8 bis 12 Werktagen

Kurzübersicht für RASAL1 Antikörper (AA 721-798) (ABIN6719367)

Target

Alle RASAL1 Antikörper anzeigen
RASAL1 (RAS Protein Activator Like 1 (GAP1 Like) (RASAL1))

Reaktivität

  • 31
  • 16
  • 12
  • 1
Human, Maus, Ratte

Wirt

  • 46
  • 1
  • 1
Kaninchen

Klonalität

  • 48
Polyklonal

Konjugat

  • 19
  • 4
  • 3
  • 3
  • 1
  • 1
  • 1
  • 1
  • 1
  • 1
  • 1
  • 1
  • 1
  • 1
  • 1
  • 1
  • 1
  • 1
  • 1
  • 1
  • 1
  • 1
  • 1
Dieser RASAL1 Antikörper ist unkonjugiert

Applikation

  • 35
  • 17
  • 13
  • 13
  • 3
  • 3
  • 3
  • 2
  • 1
  • 1
  • 1
  • 1
Western Blotting (WB), ELISA, Immunohistochemistry (IHC)
  • Bindungsspezifität

    • 15
    • 8
    • 5
    • 3
    • 2
    • 2
    • 1
    • 1
    • 1
    • 1
    • 1
    • 1
    • 1
    AA 721-798

    Verwendungszweck

    Anti-RASAL1/RASAL1 Antibody

    Kreuzreaktivität (Details)

    No cross-reactivity with other proteins.

    Produktmerkmale

    Anti-RASAL1/RASAL1 Antibody (ABIN6719367). Tested in ELISA, IHC, WB applications. This antibody reacts with Human, Mouse, Rat. This is a premium antibody that guarantees superior quality, high affinity, and strong signals with minimal background in Western blot applications.

    Immunogen

    E. coli-derived human RASAL1 recombinant protein (Position: D721-A798).

    Isotyp

    IgG
  • Applikationshinweise

    Western blot, 0.1-0.5 μg/mL
    Immunohistochemistry (Paraffin-embedded Section), 0.5-1 μg/mL
    ELISA, 0.1-0.5 μg/mL

    Kommentare

    Tested Species: In-house tested species with positive results. By Heat: Boiling the paraffin sections in 10mM citrate buffer, pH6.0, for 20mins is required for the staining of formalin/paraffin sections. Other applications have not been tested. Optimal dilutions should be determined by end users.

    Beschränkungen

    Nur für Forschungszwecke einsetzbar
  • Format

    Lyophilized

    Rekonstitution

    Add 0.2 mL of distilled water will yield a concentration of 500 μg/mL.

    Konzentration

    500 μg/mL

    Buffer

    Each vial contains 4 mg Trehalose, 0.9 mg NaCl, 0.2 mg Na2HPO4, 0.05 mg NaN3.

    Konservierungsmittel

    Sodium azide

    Vorsichtsmaßnahmen

    This product contains Sodium azide: a POISONOUS AND HAZARDOUS SUBSTANCE which should be handled by trained staff only.

    Lagerung

    4 °C,-20 °C

    Informationen zur Lagerung

    Store at -20°C for one year from date of receipt. After reconstitution, at 4°C for one month.
    It can also be aliquotted and stored frozen at -20°C for six months. Avoid repeated freeze-thaw cycles.
  • Target

    RASAL1 (RAS Protein Activator Like 1 (GAP1 Like) (RASAL1))

    Andere Bezeichnung

    RASAL1

    Hintergrund

    Synonyms: RasGAP-activating-like protein 1, RAS protein activator like 1

    Tissue Specificity: Highly expressed in thyroid and adrenal medulla, lower expression in brain, spinal cord and trachea (PubMed:9751798). Expressed in melanocytes (PubMed:23999003).

    Background: The protein encoded by this gene is member of the GAP1 family of GTPase-activating proteins. And it is mapped to 12q24.13. These proteins stimulate the GTPase activity of normal RAS p21 but not its oncogenic counterpart. Acting as a suppressor of RAS function, the protein enhances the weak intrinsic GTPase activity of RAS proteins resulting in the inactive GDP-bound form of RAS, thereby allowing control of cellular proliferation and differentiation. This particular family member contains domains which are characteristic of the GAP1 subfamily of RasGAP proteins but, in contrast to the other GAP1 family members, this protein is strongly and selectively expressed in endocrine tissues. Alternatively spliced transcript variants that encode different isoforms have been described.

    Molekulargewicht

    90 kDa

    Gen-ID

    8437

    UniProt

    O95294
Sie sind hier:
Chat with us!