Telefon:
+49 (0)241 95 163 153
Fax:
+49 (0)241 95 163 155
E-Mail:
orders@antikoerper-online.de

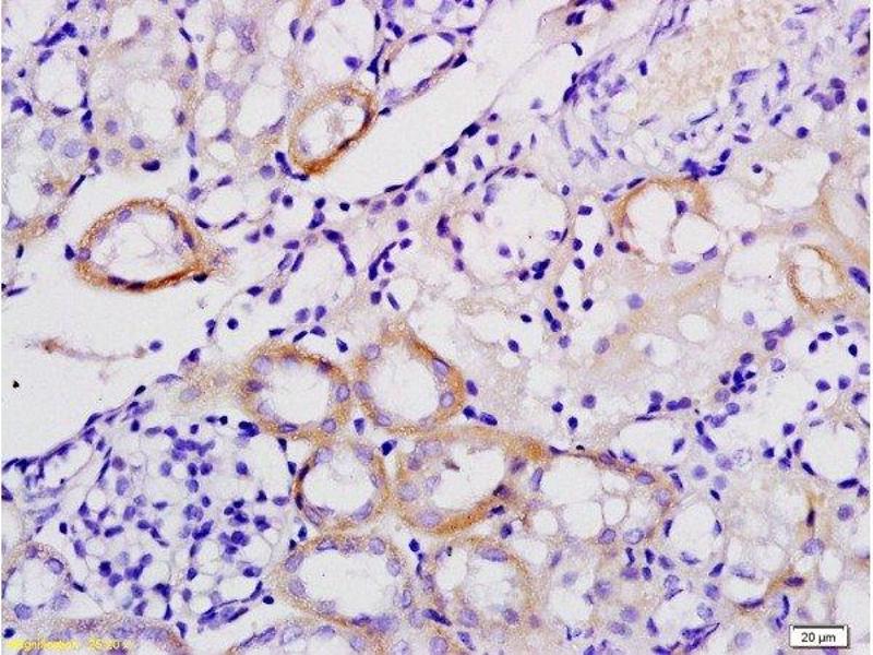
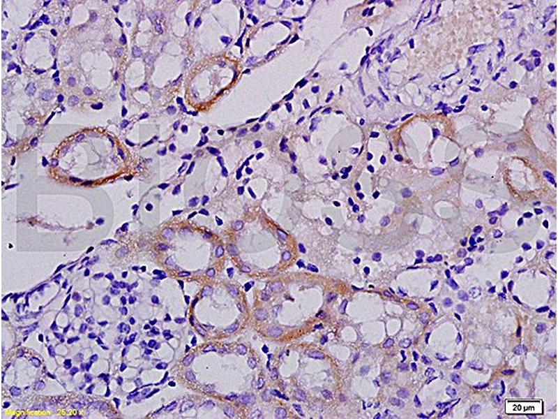
Galectin 9 Antikörper (AA 101-180)

Der Kaninchen Polyklonal anti-Galectin 9 Antikörper (ABIN670746) detektiert spezifisch Galectin 9 in ELISA, IHC (p), IF (p), IHC (fro) und IF (cc). Dieser Antikörper reagiert spezifisch mit Proben aus Human, Maus und Ratte.
Produktnummer ABIN670746
357,70 €
Zzgl. Versandkosten 20,00 € und MwSt
100 μL
Lieferung nach: Deutschland
Lieferung in 8 bis 12 Werktagen

Kurzübersicht für Galectin 9 Antikörper (AA 101-180) (ABIN670746)

Target

Alle Galectin 9 (LGALS9) Antikörper anzeigen
Galectin 9 (LGALS9) (Lectin, Galactoside-Binding, Soluble, 9 (LGALS9))

Reaktivität

  • 74
  • 48
  • 18
  • 7
  • 5
  • 2
  • 2
  • 2
  • 2
  • 1
  • 1
Human, Maus, Ratte

Wirt

  • 87
  • 18
  • 5
  • 2
Kaninchen

Klonalität

  • 82
  • 25
  • 3
Polyklonal

Konjugat

  • 56
  • 17
  • 9
  • 6
  • 4
  • 4
  • 2
  • 1
  • 1
  • 1
  • 1
  • 1
  • 1
  • 1
  • 1
  • 1
  • 1
  • 1
  • 1
Dieser Galectin 9 Antikörper ist unkonjugiert

Applikation

  • 80
  • 38
  • 38
  • 31
  • 18
  • 17
  • 14
  • 13
  • 8
  • 6
  • 5
  • 3
  • 3
  • 3
  • 2
  • 1
  • 1
ELISA, Immunohistochemistry (Paraffin-embedded Sections) (IHC (p)), Immunofluorescence (Paraffin-embedded Sections) (IF (p)), Immunohistochemistry (Frozen Sections) (IHC (fro)), Immunofluorescence (Cultured Cells) (IF (cc))
  • Bindungsspezifität

    • 16
    • 8
    • 7
    • 6
    • 4
    • 4
    • 4
    • 3
    • 2
    • 2
    • 2
    • 2
    • 2
    • 2
    • 1
    • 1
    • 1
    • 1
    • 1
    • 1
    • 1
    • 1
    • 1
    • 1
    • 1
    AA 101-180

    Kreuzreaktivität

    Human, Maus, Ratte

    Aufreinigung

    Purified by Protein A.

    Immunogen

    KLH conjugated synthetic peptide derived from rat Galectin 9

    Isotyp

    IgG
  • Applikationshinweise

    ELISA 1:500-1000
    IHC-P 1:200-400
    IHC-F 1:100-500
    IF(IHC-P) 1:50-200
    IF(IHC-F) 1:50-200
    IF(ICC) 1:50-200

    Beschränkungen

    Nur für Forschungszwecke einsetzbar
  • Format

    Liquid

    Konzentration

    1 μg/μL

    Buffer

    0.01M TBS( pH 7.4) with 1 % BSA, 0.02 % Proclin300 and 50 % Glycerol.

    Konservierungsmittel

    ProClin

    Vorsichtsmaßnahmen

    This product contains ProClin: a POISONOUS AND HAZARDOUS SUBSTANCE, which should be handled by trained staff only.

    Lagerung

    4 °C,-20 °C

    Informationen zur Lagerung

    Shipped at 4°C. Store at -20°C for one year. Avoid repeated freeze/thaw cycles.

    Haltbarkeit

    12 months
  • Target

    Galectin 9 (LGALS9) (Lectin, Galactoside-Binding, Soluble, 9 (LGALS9))

    Andere Bezeichnung

    Galectin 9

    Hintergrund

    Synonyms: Galectin-9, Gal-9, 36 kDa beta-galactoside-binding lectin, Urate transporter/channel, UAT, Lgals9

    Background: Binds galactosides. May play a role in thymocyte-epithelial interactions relevant to the biology of the thymus. Is a ligand for HAVCR2/TIM3. Induces T-helper type 1 lymphocyte (Th1) death (By similarity). May provide the molecular basis for urate flux across cell membranes, allowing urate that is formed during purine metabolism to efflux from cells and serving as an electrogenic transporter that plays an important role in renal and gastrointestinal urate excretion. Highly selective to the anion urate.

    Gen-ID

    25476

    UniProt

    P97840
Sie sind hier:
Chat with us!