Telefon:
+49 (0)241 95 163 153
Fax:
+49 (0)241 95 163 155
E-Mail:
orders@antikoerper-online.de

BrdU Antikörper

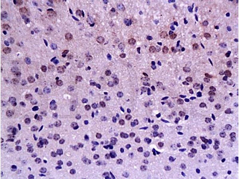
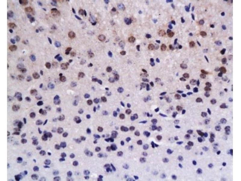
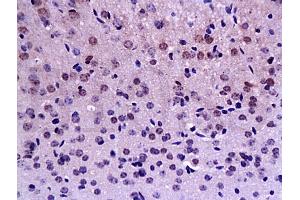
Zitiert in 3+ Publikationen. Der Kaninchen Polyklonal anti-BrdU Antikörper (ABIN669246) detektiert spezifisch BrdU in IHC (p), IF (cc), IF (p), IHC (fro) und ELISA.
Produktnummer ABIN669246
357,70 €
Zzgl. Versandkosten 20,00 € und MwSt
100 μL
Lieferung nach: Deutschland
Lieferung in 8 bis 12 Werktagen

Kurzübersicht für BrdU Antikörper (ABIN669246)

Target

Alle BrdU Antikörper anzeigen
BrdU (Bromodeoxyuridine (BrdU))

Reaktivität

Bitte anfragen

Wirt

  • 53
  • 24
  • 8
  • 2
Kaninchen

Klonalität

  • 63
  • 24
Polyklonal

Konjugat

  • 37
  • 7
  • 6
  • 3
  • 2
  • 2
  • 2
  • 2
  • 2
  • 2
  • 2
  • 2
  • 2
  • 2
  • 2
  • 2
  • 2
  • 2
  • 1
  • 1
  • 1
  • 1
  • 1
  • 1
Dieser BrdU Antikörper ist unkonjugiert

Applikation

  • 26
  • 26
  • 26
  • 23
  • 19
  • 16
  • 14
  • 13
  • 10
  • 7
  • 6
  • 6
  • 6
  • 4
  • 3
  • 2
  • 2
  • 1
  • 1
  • 1
  • 1
  • 1
  • 1
Immunohistochemistry (Paraffin-embedded Sections) (IHC (p)), Immunofluorescence (Cultured Cells) (IF (cc)), Immunofluorescence (Paraffin-embedded Sections) (IF (p)), Immunohistochemistry (Frozen Sections) (IHC (fro)), ELISA
  • Kreuzreaktivität

    Human, Ratte

    Kreuzreaktivität (Details)

    BrdU

    Aufreinigung

    Purified by Protein A.

    Immunogen

    BrdU conjugated to KLH

    Isotyp

    IgG
  • Applikationshinweise

    IHC-P 1:100-500
    IF(IHC-P) 1:50-200

    Beschränkungen

    Nur für Forschungszwecke einsetzbar
  • Format

    Liquid

    Konzentration

    1 μg/μL

    Buffer

    0.01M TBS( pH 7.4) with 1 % BSA, 0.02 % Proclin300 and 50 % Glycerol.

    Konservierungsmittel

    Sodium azide

    Vorsichtsmaßnahmen

    This product contains Sodium azide: a POISONOUS AND HAZARDOUS SUBSTANCE, which should be handled by trained staff only.

    Lagerung

    4 °C,-20 °C

    Informationen zur Lagerung

    Shipped at 4°C. Store at -20°C for one year. Avoid repeated freeze/thaw cycles.

    Haltbarkeit

    12 months
  • Giuliani, Neri, Canalini, Calevro, Ottani, Vandini, Sena, Zaffe, Guarini: "NDP-?-MSH induces intense neurogenesis and cognitive recovery in Alzheimer transgenic mice through activation of melanocortin MC4 receptors." in: Molecular and cellular neurosciences, Vol. 67, pp. 13-21, (2015) (PubMed).

    Chen, Li, Xu, Yin: "Sodium iodate influences the apoptosis, proliferation and differentiation potential of radial glial cells in vitro." in: Cellular physiology and biochemistry : international journal of experimental cellular physiology, biochemistry, and pharmacology, Vol. 34, Issue 4, pp. 1109-24, (2015) (PubMed).

    Zhang, Zhang, Fang, Li, Zhao, Shi, An: "Neuroprotective effects of sulforaphane on cholinergic neurons in mice with Alzheimer's disease-like lesions." in: International journal of molecular sciences, Vol. 15, Issue 8, pp. 14396-410, (2014) (PubMed).

  • Target

    BrdU (Bromodeoxyuridine (BrdU))

    Andere Bezeichnung

    BrdU

    Substanzklasse

    Chemical

    Hintergrund

    Synonyms: Bromodeoxyuridine, Bromodeoxyuridine, 5-Bromo-2-deoxyuridine, 5-BrdU, proliferation Marker.

    Background: The immunocytochemical detection of bromodeoxyuridine (BrdU) incorporated into DNA is a powerful tool to study the cytokinetics of normal and neoplastic cells. In vitro or in vivo labeling of tumor cells with the thymidine analogue BrdU and the subsequent detection of incorporated BrdU with specific anti-BrdU monoclonal is an accurate and comprehensive method to quantitate the degree of DNA-synthesis.BrdU is incorporated into the newly synthezised DNA of S-phase cells may provide an estimate for the fraction of cells in S-phase. Also dynamic proliferative information such as the S-phase transit rate and the potential doubling time can be obtained, by means of bivariate BrdU/DNA flow cytometric analysis

Sie sind hier:
Chat with us!