Telefon:
+49 (0)241 95 163 153
Fax:
+49 (0)241 95 163 155
E-Mail:
orders@antikoerper-online.de

NOXA Antikörper

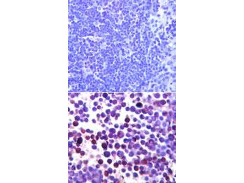
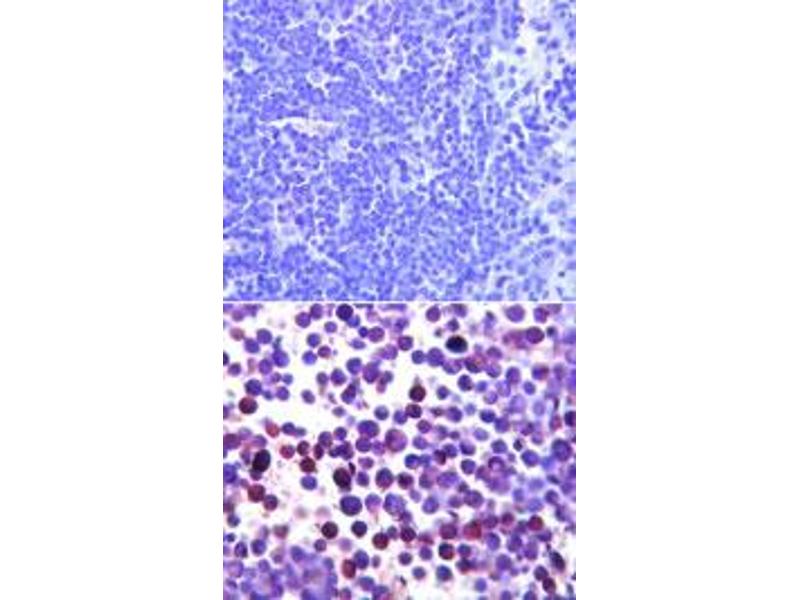
Zitiert in 2+ Publikationen. Der Maus Monoklonal anti-NOXA Antikörper (Klon 114C307-1) (ABIN6655871) detektiert spezifisch NOXA in WB, IF, IHC und FACS. Dieser Antikörper reagiert spezifisch mit Proben aus Human.
Rockland
Produktnummer ABIN6655871
Hersteller Produkt- Nr.: 200-301-h98
772,16 €
Zzgl. Versandkosten 20,00 €, Trockeneispauschale 20,00 € sowie MwSt
100 μg
Lieferung nach: Deutschland
Lieferung in 5 bis 8 Werktagen

Kurzübersicht für NOXA Antikörper (ABIN6655871)

Target

Alle NOXA (PMAIP1) Antikörper anzeigen
NOXA (PMAIP1) (Phorbol-12-Myristate-13-Acetate-Induced Protein 1 (PMAIP1))

Reaktivität

  • 31
  • 5
  • 3
Human

Wirt

  • 26
  • 4
  • 1
  • 1
Maus

Klonalität

  • 19
  • 13
Monoklonal

Konjugat

  • 14
  • 3
  • 2
  • 2
  • 2
  • 2
  • 2
  • 2
  • 2
  • 1
Dieser NOXA Antikörper ist unkonjugiert

Applikation

  • 11
  • 10
  • 4
  • 3
  • 2
  • 2
  • 1
  • 1
  • 1
  • 1
  • 1
Western Blotting (WB), Immunofluorescence (IF), Immunohistochemistry (IHC), Flow Cytometry (FACS)

Klon

114C307-1
  • Hersteller Produkt- Nr.

    200-301-h98

    Hersteller

    Rockland

    Verwendungszweck

    NOXA Antibody

    Kreuzreaktivität (Details)

    A BLAST analysis was used to suggest cross-reactivity with Anti-Noxa from human and mouse based on 100 % homology with the immunizing sequence.

    Aufreinigung

    Anti-Noxa Antibody was purified by Protein G chromatography.

    Immunogen

    Noxa Antibody was produced in mice prepared by repeated immunizations with the human protein Noxa.

    Isotyp

    IgG1 kappa
  • Applikationshinweise

    Immunohistochemistry_Dilution: 5 μg/mL

    Western_Blot_Dilution: 1-2 μg/mL

    Kommentare

    Anti-Noxa antibody is tested for use by WB, Flow, ICC/IF, IHC, and IHC-P. Expect a band approximately 6 kDa on specific lysates. Specific conditions for reactivity should be optimized by the end user.

    Beschränkungen

    Nur für Forschungszwecke einsetzbar
  • Format

    Liquid

    Buffer

    Optional[Buffer]: 0.02 M Potassium Phosphate, 0.15 M Sodium Chloride, pH 7.2 ,0.05 % (w/v) Sodium Azide

    Konservierungsmittel

    Sodium azide

    Vorsichtsmaßnahmen

    This product contains Sodium azide: a POISONOUS AND HAZARDOUS SUBSTANCE which should be handled by trained staff only.

    Lagerung

    4 °C,-20 °C

    Informationen zur Lagerung

    Store vial at -20° C prior to opening. Aliquot contents and freeze at -20° C or below for extended storage. Avoid cycles of freezing and thawing. Centrifuge product if not completely clear after standing at room temperature. This product is stable for several weeks at 4° C as an undiluted liquid. Dilute only prior to immediate use.

    Haltbarkeit

    12 months
  • Haschka, Karbon, Soratroi, O'Neill, Luo, Villunger: "MARCH5-dependent degradation of MCL1/NOXA complexes defines susceptibility to antimitotic drug treatment." in: Cell death and differentiation, Vol. 27, Issue 8, pp. 2297-2312, (2021) (PubMed).

    Ichikawa, Alves, Pfeiffer, Langa, Hernández-Santana, Suzuki, Prehn, Engel, Henshall: "Deletion of the BH3-only protein Noxa alters electrographic seizures but does not protect against hippocampal damage after status epilepticus in mice." in: Cell death & disease, Vol. 8, Issue 1, pp. e2556, (2017) (PubMed).

  • Target

    NOXA (PMAIP1) (Phorbol-12-Myristate-13-Acetate-Induced Protein 1 (PMAIP1))

    Andere Bezeichnung

    Noxa

    Hintergrund

    Synonyms: NOXA, Phorbol-12-myristate-13-acetate-induced protein 1, PMA-induced protein 1, Immediate-early-response protein APR, Protein Noxa

    Background: Anti-Noxa antibody detects human Noxa. Recently, a BH-3 only member of the Bcl-2 family have been identified in human and mouse and designated as Noxa (for damage). The expression of the Noxa gene involves direct activation of its promoter by p53. Increased expression of Noxa protein occurs in normal thymocytes but not in p53-deficient thymocytes. Noxa cDNA codes for a 103-amino acid protein. The coimmunoprecipitation data suggest that Noxa protein may interact with proteins belonging to the Bcl-2 family, such as, Bcl-XL and Mcl-1. Oda et al. have also shown that blocking the endogenous Noxa induction results in the suppression of apoptosis. Treatment of cells with Noxa antisense oligonucleotides blocks radiation-induced apoptosis suggesting that Noxa may represent a mediator of p53-dependent apoptosis. Anti-Noxa antibody is ideal for investigators involved in apaoptosis research.

    Gene Name: PMAIP1

    Gen-ID

    5366

    NCBI Accession

    NP_066950

    UniProt

    Q13794

    Pathways

    p53 Signalweg, Positive Regulation of Endopeptidase Activity, Regulation of Carbohydrate Metabolic Process, Positive Regulation of Response to DNA Damage Stimulus
Sie sind hier:
Chat with us!