Telefon:
+49 (0)241 95 163 153
Fax:
+49 (0)241 95 163 155
E-Mail:
orders@antikoerper-online.de

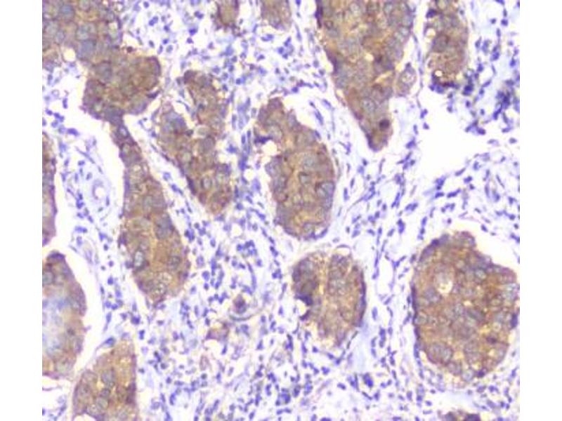
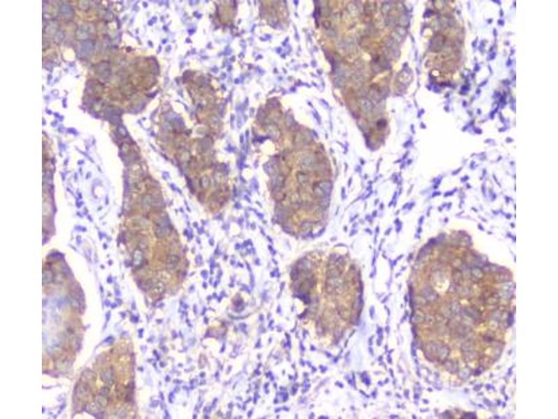
SMN1 / SMN2 Antikörper

Der Maus Monoklonal anti-SMN1 / SMN2 Antikörper (Klon 2B10) (ABIN6654200) detektiert spezifisch SMN1 / SMN2 in WB, ICC und IHC (p). Dieser Antikörper reagiert spezifisch mit Proben aus Human.
Produktnummer ABIN6654200
644,88 €
Zzgl. Versandkosten 20,00 € und MwSt
100 μg
Lieferung nach: Deutschland
Lieferung in 6 bis 9 Werktagen

Kurzübersicht für SMN1 / SMN2 Antikörper (ABIN6654200)

Target

SMN1 / SMN2

Reaktivität

Human

Wirt

  • 3
  • 1
  • 1
Maus

Klonalität

  • 3
  • 2
Monoklonal

Konjugat

  • 5
Unkonjugiert

Applikation

  • 5
  • 1
  • 1
  • 1
  • 1
Western Blotting (WB), Immunocytochemistry (ICC), Immunohistochemistry (Paraffin-embedded Sections) (IHC (p))

Klon

2B10
  • Aufreinigung

    Protein G affinity

    Immunogen

    Amino acids RRGTGQSDDSDIWDDTALIKAYDKAVASFKH were used as the immunogen for the SMN1/2 antibody.

    Isotyp

    IgG1
  • Applikationshinweise

    Optimal dilution of the SMN1/2 antibody should be determined by the researcher.\. Western blot: 0.5-1 μg/mL,IHC (FFPE): 0.5-1 μg/mL,ICC: 0.5-1 μg/mL

    Beschränkungen

    Nur für Forschungszwecke einsetzbar
  • Buffer

    0.5 mg/mL if reconstituted with 0.2 mL sterile DI water

    Lagerung

    -20 °C

    Informationen zur Lagerung

    After reconstitution, the SMN1/2 antibody can be stored for up to one month at 4°C. For long-term, aliquot and store at -20°C. Avoid repeated freezing and thawing.
  • Target

    SMN1 / SMN2

    Andere Bezeichnung

    SMN1/2

    Hintergrund

    This gene is part of a 500 kb inverted duplication on chromosome 5q13. This duplicated region contains at least four genes and repetitive elements which make it prone to rearrangements and deletions. The repetitiveness and complexity of the sequence have also caused difficulty in determining the organization of this genomic region. The telomeric and centromeric copies of this gene are nearly identical and encode the same protein. However, mutations in this gene, the telomeric copy, are associated with spinal muscular atrophy, mutations in the centromeric copy do not lead to disease. The centromeric copy may be a modifier of disease caused by mutation in the telomeric copy. The critical sequence difference between the two genes is a single nucleotide in exon 7, which is thought to be an exon splice enhancer. Note that the nine exons of both the telomeric and centromeric copies are designated historically as exon 1, 2a, 2b, and 3-8. It is thought that gene conversion events may involve the two genes, leading to varying copy numbers of each gene. The protein encoded by this gene localizes to both the cytoplasm and the nucleus. Within the nucleus, the protein localizes to subnuclear bodies called gems which are found near coiled bodies containing high concentrations of small ribonucleoproteins (snRNPs). This protein forms heteromeric complexes with proteins such as SIP1 and GEMIN4, and also interacts with several proteins known to be involved in the biogenesis of snRNPs, such as hnRNP U protein and the small nucleolar RNA binding protein. Multiple transcript variants encoding distinct isoforms have been described.

    UniProt

    Q16637
Sie sind hier:
Chat with us!