Telefon:
+49 (0)241 95 163 153
Fax:
+49 (0)241 95 163 155
E-Mail:
orders@antikoerper-online.de

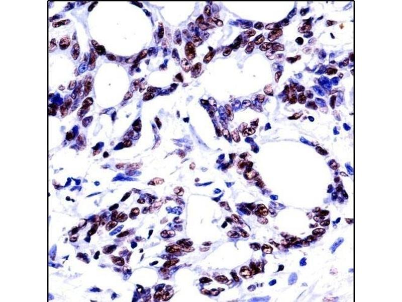
HNRNPM Antikörper (N-Term)

Der Kaninchen Polyklonal anti-HNRNPM Antikörper (Klon RB33926) (ABIN657930) detektiert spezifisch HNRNPM in WB und IHC (p). Dieser Antikörper reagiert spezifisch mit Proben aus Human.
Produktnummer ABIN657930
434,77 €
Zzgl. Versandkosten 20,00 € und MwSt
Lieferung nach: Deutschland
Lieferung in 14 bis 17 Werktagen

Kurzübersicht für HNRNPM Antikörper (N-Term) (ABIN657930)

Target

Alle HNRNPM Antikörper anzeigen
HNRNPM (Heterogeneous Nuclear Ribonucleoprotein M (HNRNPM))

Reaktivität

  • 64
  • 47
  • 46
  • 3
  • 3
  • 2
  • 2
  • 2
  • 1
  • 1
Human

Wirt

  • 70
  • 9
Kaninchen

Klonalität

  • 47
  • 32
Polyklonal

Konjugat

  • 35
  • 5
  • 3
  • 3
  • 3
  • 3
  • 3
  • 3
  • 2
  • 2
  • 2
  • 2
  • 1
  • 1
  • 1
  • 1
  • 1
  • 1
  • 1
  • 1
  • 1
  • 1
  • 1
  • 1
  • 1
Dieser HNRNPM Antikörper ist unkonjugiert

Applikation

  • 55
  • 45
  • 26
  • 23
  • 15
  • 13
  • 13
  • 13
  • 5
  • 3
  • 2
Western Blotting (WB), Immunohistochemistry (Paraffin-embedded Sections) (IHC (p))

Klon

RB33926
  • Bindungsspezifität

    • 15
    • 7
    • 7
    • 3
    • 3
    • 2
    • 1
    • 1
    • 1
    • 1
    • 1
    • 1
    • 1
    • 1
    AA 21-50, N-Term

    Aufreinigung

    This antibody is purified through a protein A column, followed by peptide affinity purification.

    Immunogen

    This HNRNPM antibody is generated from rabbits immunized with a KLH conjugated synthetic peptide between 21-50 amino acids from the N-terminal region of human HNRNPM.

    Isotyp

    Ig Fraction
  • Applikationshinweise

    WB: 1:1000. IHC-P: 1:10~50

    Beschränkungen

    Nur für Forschungszwecke einsetzbar
  • Format

    Liquid

    Buffer

    Purified polyclonal antibody supplied in PBS with 0.09 % (W/V) sodium azide.

    Konservierungsmittel

    Sodium azide

    Vorsichtsmaßnahmen

    This product contains Sodium azide: a POISONOUS AND HAZARDOUS SUBSTANCE which should be handled by trained staff only.

    Lagerung

    4 °C,-20 °C

    Informationen zur Lagerung

    HNRNPM Antibody (N-term) can be refrigerated at 2-8 °C for up to 6 months. For long term storage, place the at -20 °C.

    Haltbarkeit

    6 months
  • Target

    HNRNPM (Heterogeneous Nuclear Ribonucleoprotein M (HNRNPM))

    Andere Bezeichnung

    HNRNPM

    Hintergrund

    This gene belongs to the subfamily of ubiquitously expressed heterogeneous nuclear ribonucleoproteins (hnRNPs). The hnRNPs are RNA binding proteins and they complex with heterogeneous nuclear RNA (hnRNA). These proteins are associated with pre-mRNAs in the nucleus and appear to influence pre-mRNA processing and other aspects of mRNA metabolism and transport. While all of the hnRNPs are present in the nucleus, some seem to shuttle between the nucleus and the cytoplasm. The hnRNP proteins have distinct nucleic acid binding properties. The protein encoded by this gene has three repeats of quasi-RRM domains that bind to RNAs. This protein also constitutes a monomer of the N-acetylglucosamine-specific receptor which is postulated to trigger selective recycling of immature GlcNAc-bearing thyroglobulin molecules. Multiple alternatively spliced transcript variants are known for this gene but only two transcripts has been isolated.

    Molekulargewicht

    77516

    Gen-ID

    4670

    NCBI Accession

    NP_005959, NP_112480

    UniProt

    P52272
Sie sind hier:
Chat with us!