Telefon:
+49 (0)241 95 163 153
Fax:
+49 (0)241 95 163 155
E-Mail:
orders@antikoerper-online.de

SPR Antikörper

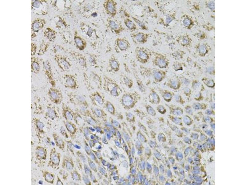
Der Kaninchen Polyklonal anti-SPR Antikörper wird verwendet zum Nachweis von SPR in Proben von Human, Maus, Ratte und Affe. Er wurde validiert für WB und IHC.
Produktnummer ABIN6571463
449,00 €
Zzgl. Versandkosten 20,00 € und MwSt
Lieferung nach: Deutschland
Lieferung in 10 bis 13 Werktagen

Kurzübersicht für SPR Antikörper (ABIN6571463)

Target

Alle SPR Antikörper anzeigen
SPR (Sepiapterin Reductase (SPR))

Reaktivität

  • 55
  • 27
  • 17
  • 2
  • 1
  • 1
  • 1
Human, Maus, Ratte, Affe

Wirt

  • 44
  • 12
Kaninchen

Klonalität

  • 46
  • 10
Polyklonal

Konjugat

  • 29
  • 3
  • 3
  • 2
  • 1
  • 1
  • 1
  • 1
  • 1
  • 1
  • 1
  • 1
  • 1
  • 1
  • 1
  • 1
  • 1
  • 1
  • 1
  • 1
  • 1
  • 1
  • 1
Dieser SPR Antikörper ist unkonjugiert

Applikation

  • 49
  • 18
  • 13
  • 13
  • 7
  • 6
  • 6
  • 6
  • 6
  • 5
  • 3
  • 1
  • 1
  • 1
Western Blotting (WB), Immunohistochemistry (IHC)
  • Aufreinigung

    Affinity purification

    Immunogen

    A synthetic peptide of human SPR

    Isotyp

    IgG
  • Applikationshinweise

    WB 1:500 - 1:2000 IHC 1:50 - 1:100

    Beschränkungen

    Nur für Forschungszwecke einsetzbar
  • Konzentration

    1 mg/mL

    Buffer

    Buffer: PBS with 0.02 % sodium azide, 50 % glycerol,  pH 7.3.

    Konservierungsmittel

    Sodium azide

    Vorsichtsmaßnahmen

    This product contains Sodium azide: a POISONOUS AND HAZARDOUS SUBSTANCE which should be handled by trained staff only.

    Lagerung

    -20 °C

    Informationen zur Lagerung

    Store at -20°C. Avoid freeze / thaw cycles.
  • Target

    SPR (Sepiapterin Reductase (SPR))

    Andere Bezeichnung

    SPR

    Hintergrund

    Synonyms: OTTHUMP00000160199,SDR38C1,Sepiapterin reductase (7,8 dihydrobiopterin:NADP+ oxidoreductase),Sepiapterin reductase,Short chain dehydrogenase/reductase family 38C,member 1,SPR,SPRE

    Background: This gene encodes an aldo-keto reductase that catalyzes the NADPH-dependent reduction of pteridine derivatives and is important in the biosynthesis of tetrahydrobiopterin (BH4). Mutations in this gene result in DOPA-responsive dystonia due to sepiaterin reductase deficiency. A pseudogene has been identified on chromosome 1.

    Molekulargewicht

    Observed_MW: 28kDa

    Calculated_MW: 28kDa

    Gen-ID

    6697

    UniProt

    P35270

    Pathways

    Regulation of Systemic Arterial Blood Pressure by Hormones, Feeding Behaviour, Smooth Muscle Cell Migration
Sie sind hier:
Chat with us!