MATK Antikörper
Kurzübersicht für MATK Antikörper (ABIN5967403)
Target
Alle MATK Antikörper anzeigenReaktivität
Wirt
Klonalität
Konjugat
Applikation
-
-
Aufreinigung
- Affinity purification
-
Immunogen
- Recombinant fusion protein of human MATK (NP_647611.1).
-
Isotyp
- IgG
-
-
-
-
Applikationshinweise
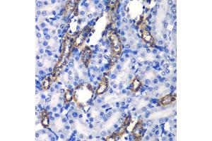
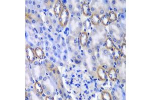
- IHC 1:50-1:200
-
Beschränkungen
- Nur für Forschungszwecke einsetzbar
-
-
-
Format
- Liquid
-
Konzentration
- 1 mg/mL
-
Buffer
- PBS with 0.02 % sodium azide, 50 % glycerol, pH 7.3
-
Konservierungsmittel
- Sodium azide
-
Vorsichtsmaßnahmen
- This product contains Sodium azide: a POISONOUS AND HAZARDOUS SUBSTANCE which should be handled by trained staff only.
-
Lagerung
- -20 °C
-
Informationen zur Lagerung
- Store at -20°C. Avoid freeze / thaw cycles.
-
-
- MATK (Megakaryocyte-Associated tyrosine Kinase (MATK))
-
Andere Bezeichnung
- MATK
-
Hintergrund
- The protein encoded by this gene has amino acid sequence similarity to Csk tyrosine kinase and has the structural features of the CSK subfamily: SRC homology SH2 and SH3 domains, a catalytic domain, a unique N terminus, lack of myristylation signals, lack of a negative regulatory phosphorylation site, and lack of an autophosphorylation site. This protein is thought to play a significant role in the signal transduction of hematopoietic cells. It is able to phosphorylate and inactivate Src family kinases, and may play an inhibitory role in the control of T-cell proliferation. This protein might be involved in signaling in some cases of breast cancer. Three alternatively spliced transcript variants that encode different isoforms have been described for this gene.
-
Molekulargewicht
-
Observed_MW: 55kDa
Calculated_MW: 51kDa/56kDa
-
Gen-ID
- 4145
-
UniProt
- P42679
Target
-