ACVR2A Antikörper
Kurzübersicht für ACVR2A Antikörper (ABIN5964534)
Target
Alle ACVR2A Antikörper anzeigenReaktivität
Wirt
Klonalität
Konjugat
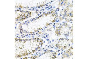
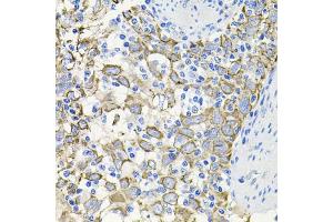
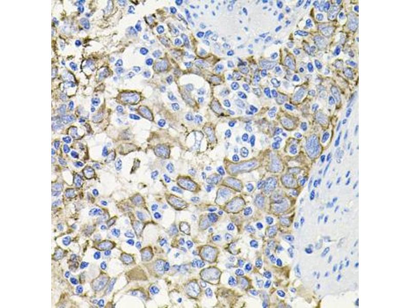
Applikation
- 
    - 
                                            Aufreinigung
- Affinity purification
- 
                                            Immunogen
- Recombinant fusion protein of human ACVR2A (NP_001607.1).
- 
                                            Isotyp
- IgG
 
- 
                                            
- 
    
- 
    - 
                                            Applikationshinweise
- IHC 1:100-1:200 IF 1:50-1:200
- 
                                            Beschränkungen
- Nur für Forschungszwecke einsetzbar
 
- 
                                            
- 
    - 
                                            Format
- Liquid
- 
                                            Konzentration
- 1 mg/mL
- 
                                            Buffer
- PBS with 0.02 % sodium azide, 50 % glycerol, pH 7.3
- 
                                            Konservierungsmittel
- Sodium azide
- 
                                            Vorsichtsmaßnahmen
- This product contains Sodium azide: a POISONOUS AND HAZARDOUS SUBSTANCE which should be handled by trained staff only.
- 
                                            Lagerung
- -20 °C
- 
                                            Informationen zur Lagerung
- Store at -20°C. Avoid freeze / thaw cycles.
 
- 
                                            
- 
    - ACVR2A (Activin A Receptor, Type IIA (ACVR2A))
- 
                                            Andere Bezeichnung
- ACVR2A
- 
                                            Hintergrund
- This gene encodes a receptor that mediates the functions of activins, which are members of the transforming growth factor-beta (TGF-beta) superfamily involved in diverse biological processes. The encoded protein is a transmembrane serine-threonine kinase receptor which mediates signaling by forming heterodimeric complexes with various combinations of type I and type II receptors and ligands in a cell-specific manner. The encoded type II receptor is primarily involved in ligand-binding and includes an extracellular ligand-binding domain, a transmembrane domain and a cytoplasmic serine-threonine kinase domain. This gene may be associated with susceptibility to preeclampsia, a pregnancy-related disease which can result in maternal and fetal morbidity and mortality. Alternative splicing results in multiple transcript variants of this gene.
- 
                                            Molekulargewicht
- 
                        Observed_MW: 58kDa Calculated_MW: 45kDa/57kDa 
- 
                                            Gen-ID
- 92
- 
                                            UniProt
- P27037
 Target
- 
                    
 
                                     
                                     
                                    