Telefon:
+49 (0)241 95 163 153
Fax:
+49 (0)241 95 163 155
E-Mail:
orders@antikoerper-online.de

Tubulin, beta 8 Antikörper

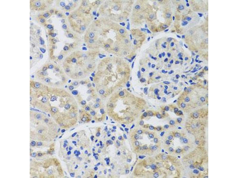
Der Kaninchen Polyklonal anti-Tubulin, beta 8 Antikörper (ABIN6567594) detektiert spezifisch Tubulin, beta 8 in WB und IHC. Dieser Antikörper reagiert spezifisch mit Proben aus Human, Maus und Ratte.
Produktnummer ABIN6567594
449,00 €
Zzgl. Versandkosten 20,00 € und MwSt
Lieferung nach: Deutschland
Lieferung in 10 bis 13 Werktagen

Kurzübersicht für Tubulin, beta 8 Antikörper (ABIN6567594)

Target

Alle Tubulin, beta 8 (TUBB8) Antikörper anzeigen
Tubulin, beta 8 (TUBB8)

Reaktivität

Human, Maus, Ratte

Wirt

  • 16
Kaninchen

Klonalität

  • 16
Polyklonal

Konjugat

  • 10
  • 2
  • 1
  • 1
  • 1
  • 1
Dieser Tubulin, beta 8 Antikörper ist unkonjugiert

Applikation

  • 16
  • 10
  • 4
  • 2
  • 1
  • 1
Western Blotting (WB), Immunohistochemistry (IHC)
  • Aufreinigung

    Affinity purification

    Immunogen

    A synthetic peptide of human TUBB8

    Isotyp

    IgG
  • Applikationshinweise

    WB 1:500 - 1:2000 IHC 1:50 - 1:200

    Beschränkungen

    Nur für Forschungszwecke einsetzbar
  • Konzentration

    1 mg/mL

    Buffer

    Buffer: PBS with 0.02 % sodium azide, 50 % glycerol,  pH 7.3.

    Konservierungsmittel

    Sodium azide

    Vorsichtsmaßnahmen

    This product contains Sodium azide: a POISONOUS AND HAZARDOUS SUBSTANCE which should be handled by trained staff only.

    Lagerung

    -20 °C

    Informationen zur Lagerung

    Store at -20°C. Avoid freeze / thaw cycles.
  • Target

    Tubulin, beta 8 (TUBB8)

    Andere Bezeichnung

    TUBB8

    Hintergrund

    Synonyms: bA631M21.2,Class VIII beta tubulin,HSA10p15 beta tubulin 4Q,RP11-631M21.2,TBB8,TUBB8,Tubulin beta 8,Tubulin beta 8 chain,Tubulin beta 8 class VIII,Tubulin beta-8 chain

    Background: The protein encoded by this gene represents the primary beta-tubulin subunit of oocytes and the early embryo. Defects in this gene, which is primate-specific, are a cause of oocyte maturation defect 2 and infertility.

    Molekulargewicht

    Observed_MW: 54kDa

    Calculated_MW: 49kDa

    Gen-ID

    347688

    UniProt

    Q3ZCM7
Sie sind hier:
Chat with us!