Telefon:
+49 (0)241 95 163 153
Fax:
+49 (0)241 95 163 155
E-Mail:
orders@antikoerper-online.de

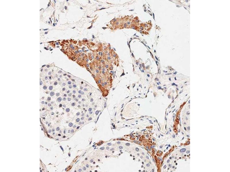
OTUD3 Antikörper (AA 192-220)

Der Kaninchen Polyklonal anti-OTUD3 Antikörper (Klon RB28198) (ABIN654984) detektiert spezifisch OTUD3 in WB und IHC (p). Dieser Antikörper reagiert spezifisch mit Proben aus Human.
Produktnummer ABIN654984
434,77 €
Zzgl. Versandkosten 20,00 € und MwSt
Lieferung nach: Deutschland
Lieferung in 14 bis 17 Werktagen

Kurzübersicht für OTUD3 Antikörper (AA 192-220) (ABIN654984)

Target

OTUD3 (OTU Domain Containing 3 (OTUD3))

Reaktivität

  • 14
  • 1
Human

Wirt

  • 14
Kaninchen

Klonalität

  • 14
Polyklonal

Konjugat

  • 6
  • 2
  • 2
  • 2
  • 1
  • 1
Dieser OTUD3 Antikörper ist unkonjugiert

Applikation

  • 11
  • 10
  • 2
  • 1
  • 1
Western Blotting (WB), Immunohistochemistry (Paraffin-embedded Sections) (IHC (p))

Klon

RB28198
Sie sind hier:
Chat with us!