Telefon:
+49 (0)241 95 163 153
Fax:
+49 (0)241 95 163 155
E-Mail:
orders@antikoerper-online.de

AMH Antikörper (AA 424-451)

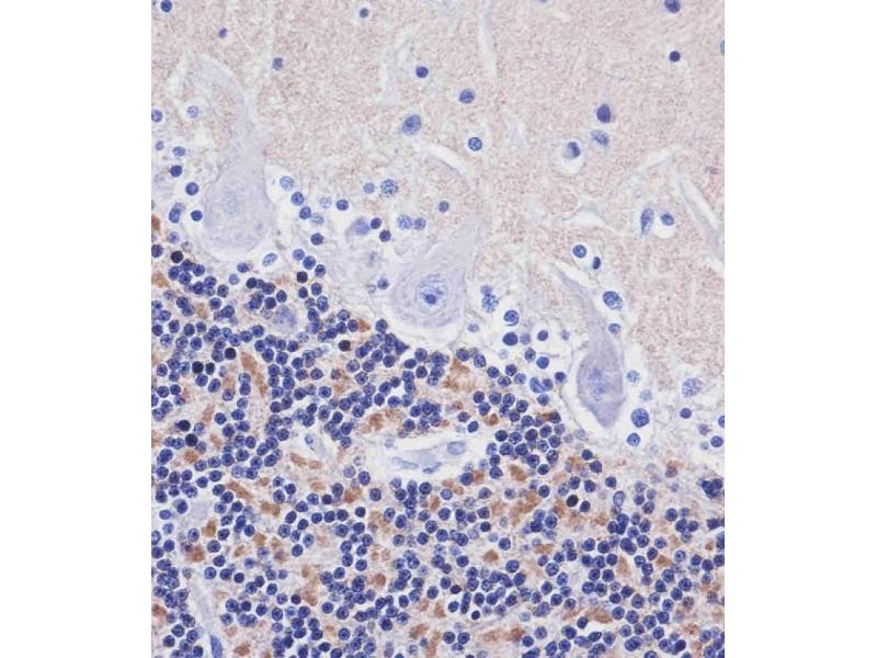
Es sind 2+ Publikationen für dieses Produkt verfügbar. Der Kaninchen Polyklonal anti-AMH Antikörper wird verwendet zum Nachweis von AMH in Proben von Human und Maus. Er wurde validiert für WB, FACS und IHC (p).
Produktnummer ABIN653897
434,77 €
Zzgl. Versandkosten 20,00 € und MwSt
200 μL
Lieferung nach: Deutschland
Lieferung in 14 bis 17 Werktagen

Kurzübersicht für AMH Antikörper (AA 424-451) (ABIN653897)

Target

Alle AMH Antikörper anzeigen
AMH (Anti-Mullerian Hormone (AMH))

Reaktivität

  • 110
  • 49
  • 28
  • 7
  • 7
  • 3
  • 3
  • 2
  • 2
  • 2
  • 1
  • 1
  • 1
  • 1
Human, Maus

Wirt

  • 86
  • 59
  • 1
  • 1
  • 1
Kaninchen

Klonalität

  • 82
  • 66
Polyklonal

Konjugat

  • 91
  • 16
  • 11
  • 5
  • 2
  • 2
  • 2
  • 2
  • 2
  • 2
  • 1
  • 1
  • 1
  • 1
  • 1
  • 1
  • 1
  • 1
  • 1
  • 1
  • 1
  • 1
  • 1
Dieser AMH Antikörper ist unkonjugiert

Applikation

  • 102
  • 68
  • 47
  • 28
  • 24
  • 10
  • 9
  • 8
  • 6
  • 5
  • 4
  • 2
  • 1
  • 1
Western Blotting (WB), Flow Cytometry (FACS), Immunohistochemistry (Paraffin-embedded Sections) (IHC (p))
  • Bindungsspezifität

    • 12
    • 8
    • 8
    • 6
    • 6
    • 6
    • 5
    • 5
    • 3
    • 3
    • 3
    • 3
    • 3
    • 2
    • 2
    • 2
    • 1
    • 1
    • 1
    • 1
    • 1
    • 1
    • 1
    • 1
    AA 424-451

    Aufreinigung

    This antibody is purified through a protein A column, followed by peptide affinity purification.

    Immunogen

    This AMH antibody is generated from rabbits immunized with a KLH conjugated synthetic peptide between 424-451 amino acids of human AMH.

    Isotyp

    IgG
  • Applikationshinweise

    WB: 1:1000-1:2000. IHC-P: 1:25. FC: 1:25

    Beschränkungen

    Nur für Forschungszwecke einsetzbar
  • Format

    Liquid

    Buffer

    Purified polyclonal antibody supplied in PBS with 0.09 % (W/V) sodium azide.

    Konservierungsmittel

    Sodium azide

    Vorsichtsmaßnahmen

    This product contains Sodium azide: a POISONOUS AND HAZARDOUS SUBSTANCE which should be handled by trained staff only.

    Lagerung

    4 °C,-20 °C

    Informationen zur Lagerung

    Maintain refrigerated at 2-8 °C for up to 6 months. For long term storage store at -20 °C in small aliquots to prevent freeze-thaw cycles.

    Haltbarkeit

    6 months
  • Jin, Won, Park, Lee, Park, Bae: "FOXL2 Is an Essential Activator of SF-1-Induced Transcriptional Regulation of Anti-Müllerian Hormone in Human Granulosa Cells." in: PLoS ONE, Vol. 11, Issue 7, pp. e0159112, (2017) (PubMed).

    Park, Suh, Lee, Bae: "Positive cross talk between FOXL2 and antimüllerian hormone regulates ovarian reserve." in: Fertility and sterility, (2014) (PubMed).

  • Target

    AMH (Anti-Mullerian Hormone (AMH))

    Andere Bezeichnung

    AMH

    Hintergrund

    Anti mullerian hormone (AMH) is a member of the TGF beta superfamily. It is secreted as a homodimeric 140kD disulphide linked precursor that is cleaved to release the mature 30kD homodimer. Originally classified as a foetal testicular hormone that inhibits Mullerian duct development, AMH is expressed post natally by immature Sertoli cells, and to a lesser degree by granulosa cells. AMH plays a role in testicular differentiation and in the regulation of ovarian follicle growth.

    Molekulargewicht

    59195

    Gen-ID

    268

    NCBI Accession

    NP_000470

    UniProt

    P03971

    Pathways

    Negative Regulation of Hormone Secretion
Sie sind hier:
Chat with us!