Telefon:
+49 (0)241 95 163 153
Fax:
+49 (0)241 95 163 155
E-Mail:
orders@antikoerper-online.de

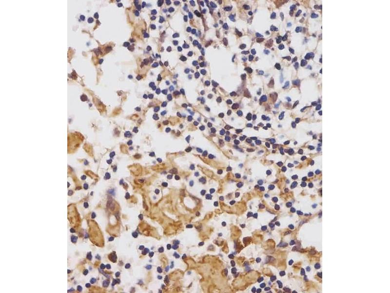
CUX1 Antikörper (AA 1347-1374)

Dieser Kaninchen Polyklonal Antikörper detektiert spezifisch CUX1 in WB, IF und IHC (p). Es zeigt Reaktivität gegenüber Proben von Human.Es wurde in 1 Publikation zitiert.
Produktnummer ABIN652075
434,77 €
Zzgl. Versandkosten 20,00 € und MwSt
Lieferung nach: Deutschland
Lieferung in 14 bis 17 Werktagen

Kurzübersicht für CUX1 Antikörper (AA 1347-1374) (ABIN652075)

Target

Alle CUX1 Antikörper anzeigen
CUX1 (Cut-Like Homeobox 1 (CUX1))

Reaktivität

  • 80
  • 33
  • 20
  • 2
  • 2
  • 2
  • 2
  • 1
  • 1
  • 1
  • 1
  • 1
Human

Wirt

  • 69
  • 11
Kaninchen

Klonalität

  • 62
  • 18
Polyklonal

Konjugat

  • 44
  • 6
  • 6
  • 4
  • 3
  • 3
  • 2
  • 2
  • 2
  • 2
  • 2
  • 2
  • 1
  • 1
Dieser CUX1 Antikörper ist unkonjugiert

Applikation

  • 63
  • 37
  • 27
  • 23
  • 15
  • 13
  • 6
  • 5
  • 2
Western Blotting (WB), Immunofluorescence (IF), Immunohistochemistry (Paraffin-embedded Sections) (IHC (p))

Klon

RB23382
  • Bindungsspezifität

    • 9
    • 8
    • 8
    • 6
    • 6
    • 5
    • 4
    • 3
    • 3
    • 2
    • 1
    • 1
    • 1
    • 1
    • 1
    • 1
    • 1
    AA 1347-1374

    Aufreinigung

    This antibody is purified through a protein A column, followed by peptide affinity purification.

    Immunogen

    This CUX1 antibody is generated from rabbits immunized with a KLH conjugated synthetic peptide between 1347-1374 amino acids of human CUX1.

    Isotyp

    IgG
  • Applikationshinweise

    IF: 1:25. WB: 1:2000. WB: 1:2000. IHC-P: 1:25. IHC-P: 1:25

    Beschränkungen

    Nur für Forschungszwecke einsetzbar
  • Format

    Liquid

    Buffer

    Purified polyclonal antibody supplied in PBS with 0.09 % (W/V) sodium azide.

    Konservierungsmittel

    Sodium azide

    Vorsichtsmaßnahmen

    This product contains Sodium azide: a POISONOUS AND HAZARDOUS SUBSTANCE which should be handled by trained staff only.

    Lagerung

    4 °C,-20 °C

    Informationen zur Lagerung

    Maintain refrigerated at 2-8 °C for up to 6 months. For long term storage store at -20 °C in small aliquots to prevent freeze-thaw cycles.

    Haltbarkeit

    6 months
  • Fragiadaki, Ikeda, Witherden, Mason, Abraham, Bou-Gharios: "High doses of TGF-? potently suppress type I collagen via the transcription factor CUX1." in: Molecular biology of the cell, Vol. 22, Issue 11, pp. 1836-44, (2011) (PubMed).

  • Target

    CUX1 (Cut-Like Homeobox 1 (CUX1))

    Andere Bezeichnung

    CUX1

    Molekulargewicht

    164187

    Gen-ID

    1523

    NCBI Accession

    NP_001189472, NP_001189473, NP_001189474, NP_852477, NP_853530

    UniProt

    P39880

    Pathways

    Cellular Glucan Metabolic Process
Sie sind hier:
Chat with us!