Telefon:
+49 (0)241 95 163 153
Fax:
+49 (0)241 95 163 155
E-Mail:
orders@antikoerper-online.de

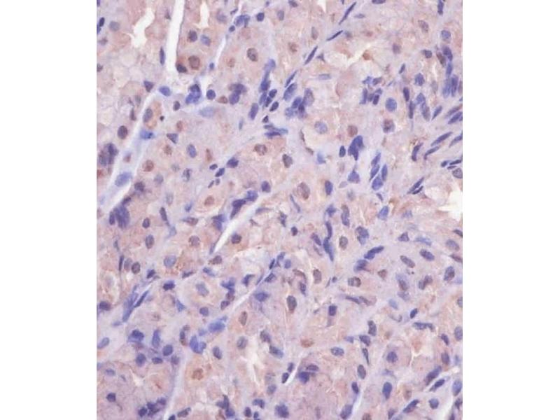
EIF4E2 Antikörper

Dieser Kaninchen Polyklonal Antikörper detektiert spezifisch EIF4E2 in WB und IHC (p). Es zeigt Reaktivität gegenüber Proben von Human und Maus.
Produktnummer ABIN650677
434,77 €
Zzgl. Versandkosten 20,00 € und MwSt
Lieferung nach: Deutschland
Lieferung in 14 bis 17 Werktagen

Kurzübersicht für EIF4E2 Antikörper (ABIN650677)

Target

Alle EIF4E2 Antikörper anzeigen
EIF4E2 (Eukaryotic Translation Initiation Factor 4E Family Member 2 (EIF4E2))

Reaktivität

  • 37
  • 7
  • 6
  • 4
  • 4
  • 3
  • 3
  • 3
  • 2
  • 2
  • 1
  • 1
  • 1
  • 1
Human, Maus

Wirt

  • 21
  • 16
Kaninchen

Klonalität

  • 22
  • 15
Polyklonal

Konjugat

  • 27
  • 2
  • 2
  • 2
  • 2
  • 2
Dieser EIF4E2 Antikörper ist unkonjugiert

Applikation

  • 33
  • 22
  • 15
  • 5
  • 4
  • 2
  • 1
  • 1
  • 1
Western Blotting (WB), Immunohistochemistry (Paraffin-embedded Sections) (IHC (p))

Klon

RB22944
Sie sind hier:
Chat with us!