SEPSECS Antikörper (N-Term)
Kurzübersicht für SEPSECS Antikörper (N-Term) (ABIN633298)
Target
Alle SEPSECS Antikörper anzeigenReaktivität
Wirt
Klonalität
Konjugat
Applikation
-
-
Bindungsspezifität
- N-Term
-
Spezifität
- SLA/LP antibody was raised against the N terminal of SLA/LP
-
Produktmerkmale
- Rabbit polyclonal SLA/LP antibody raised against the N terminal of SLA/LP
-
Aufreinigung
- Affinity purified
-
Immunogen
- SLA/LP antibody was raised using the N terminal of SLA/LP corresponding to a region with amino acids MDSNNFLGNCGVGEREGRVASALVARRHYRFIHGIGRSGDISAVQPKAAG
-
-
-
-
Applikationshinweise
-
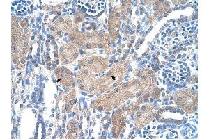
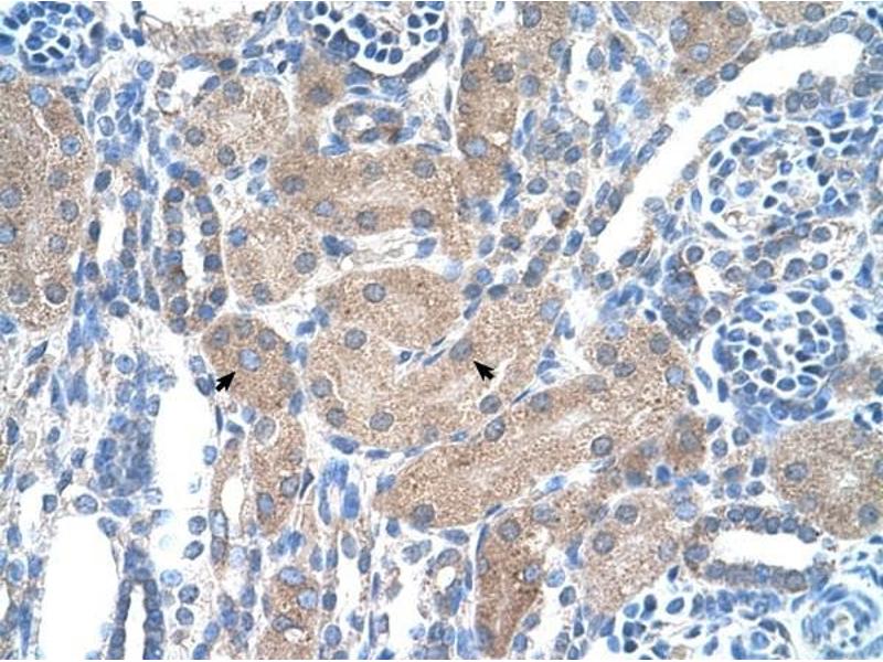
WB: 1 µg/mL, IHC: 4-8 µg/mL
Optimal conditions should be determined by the investigator. -
Kommentare
-
SLA/LP Blocking Peptide, (ABIN5616165), is also available for use as a blocking control in assays to test for specificity of this SLA/LP antibody
-
Beschränkungen
- Nur für Forschungszwecke einsetzbar
-
-
-
Format
- Lyophilized
-
Rekonstitution
- Lyophilized powder. Add distilled water for a 1 mg/mL concentration of SLA/LP antibody in PBS
-
Konzentration
- Lot specific
-
Buffer
- PBS
-
Handhabung
-
Avoid repeated freeze/thaw cycles.
Dilute only prior to immediate use. -
Lagerung
- 4 °C/-20 °C
-
Informationen zur Lagerung
- Store at 2-8 °C for short periods. For longer periods of storage, store at -20 °C.
-
-
- SEPSECS (Sep (O-phosphoserine) tRNA:Sec (Selenocysteine) tRNA Synthase (SEPSECS))
-
Andere Bezeichnung
- SLA/LP
-
Substanzklasse
- Antibody
-
Hintergrund
- SLA/LP converts O-phosphoseryl-tRNA(Sec) to selenocysteinyl-tRNA(Sec) required for selenoprotein biosynthesis.
-
Molekulargewicht
- 49 kDa (MW of target protein)
-
Pathways
- SARS-CoV-2 Protein Interaktom
Target
-