Telefon:
+49 (0)241 95 163 153
Fax:
+49 (0)241 95 163 155
E-Mail:
orders@antikoerper-online.de

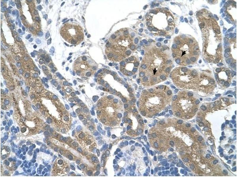
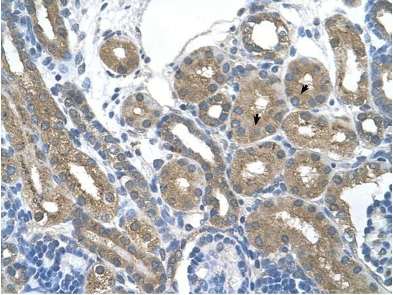
RNF165 Antikörper (Middle Region)

Der Kaninchen Polyklonal anti-RNF165 Antikörper wird verwendet zum Nachweis von RNF165 in Proben von Human, Maus, Ratte und Hund. Er wurde validiert für WB und IHC.
Produktnummer ABIN631316
1.309,82 €
Zzgl. Versandkosten 20,00 € und MwSt
100 μL
Lieferung nach: Deutschland
Lieferung in 13 bis 17 Werktagen

Kurzübersicht für RNF165 Antikörper (Middle Region) (ABIN631316)

Target

Alle RNF165 Antikörper anzeigen
RNF165 (Ring Finger Protein 165 (RNF165))

Reaktivität

  • 32
  • 23
  • 23
  • 4
  • 4
  • 4
  • 4
  • 3
  • 2
  • 2
  • 1
  • 1
  • 1
Human, Maus, Ratte, Hund

Wirt

  • 32
Kaninchen

Klonalität

  • 32
Polyklonal

Konjugat

  • 12
  • 2
  • 2
  • 2
  • 2
  • 1
  • 1
  • 1
  • 1
  • 1
  • 1
  • 1
  • 1
  • 1
  • 1
  • 1
  • 1
Dieser RNF165 Antikörper ist unkonjugiert

Applikation

  • 32
  • 13
  • 9
  • 4
  • 3
Western Blotting (WB), Immunohistochemistry (IHC)
  • Bindungsspezifität

    • 8
    • 5
    • 1
    • 1
    • 1
    Middle Region

    Spezifität

    RNF165 antibody was raised against the middle region of RNF165

    Aufreinigung

    Affinity purified

    Immunogen

    RNF165 antibody was raised using the middle region of RNF165 corresponding to a region with amino acids SSTQMVVHEIRNYPYPQLHFLALQGLNPSRHTSAVRESYEELLQLEDRLG
  • Applikationshinweise

    WB: 1 µg/mL, IHC: 4-8 µg/mL
    Optimal conditions should be determined by the investigator.

    Kommentare

    RNF165 Blocking Peptide, (ABIN5615892), is also available for use as a blocking control in assays to test for specificity of this RNF165 antibody

    Beschränkungen

    Nur für Forschungszwecke einsetzbar
  • Format

    Lyophilized

    Rekonstitution

    Lyophilized powder. Add distilled water for a 1 mg/mL concentration of RNF165 antibody in PBS

    Konzentration

    Lot specific

    Buffer

    PBS

    Handhabung

    Avoid repeated freeze/thaw cycles.
    Dilute only prior to immediate use.

    Lagerung

    4 °C/-20 °C

    Informationen zur Lagerung

    Store at 2-8 °C for short periods. For longer periods of storage, store at -20 °C.
  • Target

    RNF165 (Ring Finger Protein 165 (RNF165))

    Andere Bezeichnung

    RNF165

    Hintergrund

    RNF165 is encoded in regions involved in pericentric inversions in patients with bipolar affective disorder.

    Molekulargewicht

    38 kDa (MW of target protein)
Sie sind hier:
Chat with us!