ARMCX6 Antikörper (N-Term)
Kurzübersicht für ARMCX6 Antikörper (N-Term) (ABIN630378)
Target
Reaktivität
Wirt
Klonalität
Konjugat
Applikation
-
-
Bindungsspezifität
- N-Term
-
Spezifität
- ARMCX6 antibody was raised against the N terminal of ARMCX6
-
Aufreinigung
- Purified
-
Immunogen
- ARMCX6 antibody was raised using the N terminal of ARMCX6 corresponding to a region with amino acids TMARPWTEDGDWTEPGAPGGTEDRPSGGGKANRAHPIKQRPFPYEHKNTW
-
-
-
-
Applikationshinweise
-
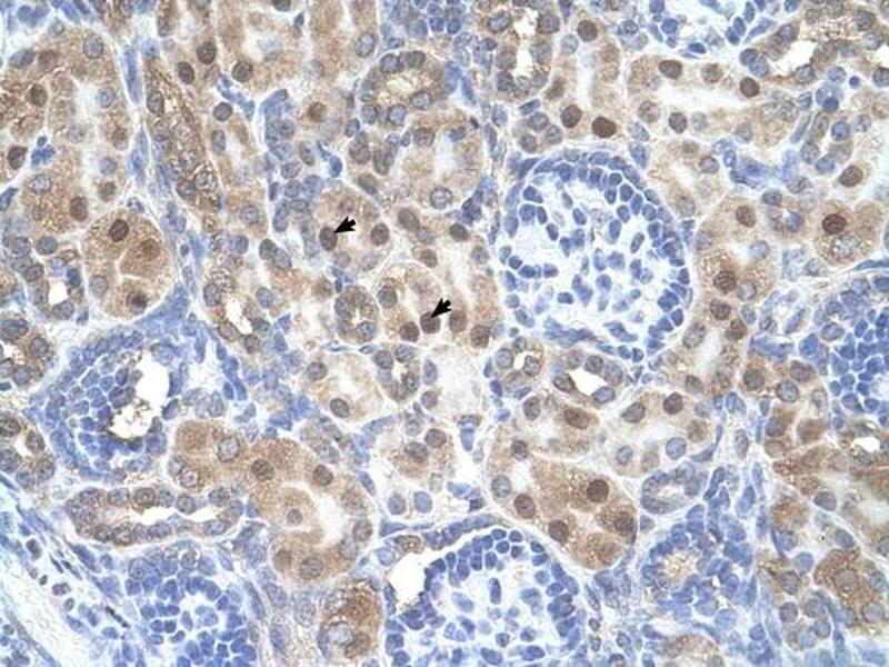
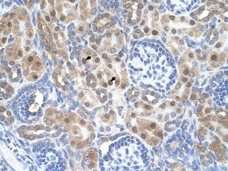
WB: 5 µg/mL, IHC: 4-8 µg/mL
Optimal conditions should be determined by the investigator. -
Kommentare
-
ARMCX6 Blocking Peptide, (ABIN5612164), is also available for use as a blocking control in assays to test for specificity of this ARMCX6 antibody
-
Beschränkungen
- Nur für Forschungszwecke einsetzbar
-
-
-
Format
- Lyophilized
-
Rekonstitution
- Lyophilized powder. Add distilled water for a 1 mg/mL concentration of ARMCX6 antibody in PBS
-
Konzentration
- Lot specific
-
Buffer
- PBS
-
Handhabung
-
Avoid repeated freeze/thaw cycles.
Dilute only prior to immediate use. -
Lagerung
- 4 °C/-20 °C
-
Informationen zur Lagerung
- Store at 2-8 °C for short periods. For longer periods of storage, store at -20 °C.
-
-
- ARMCX6 (Armadillo Repeat Containing, X-Linked 6 (ARMCX6))
-
Andere Bezeichnung
- ARMCX6
-
Hintergrund
- The function of ARMC protein is not widely studied, and is yet to be elucidated fully.
-
Molekulargewicht
- 33 kDa (MW of target protein)
Target
-