Telefon:
+49 (0)241 95 163 153
Fax:
+49 (0)241 95 163 155
E-Mail:
orders@antikoerper-online.de

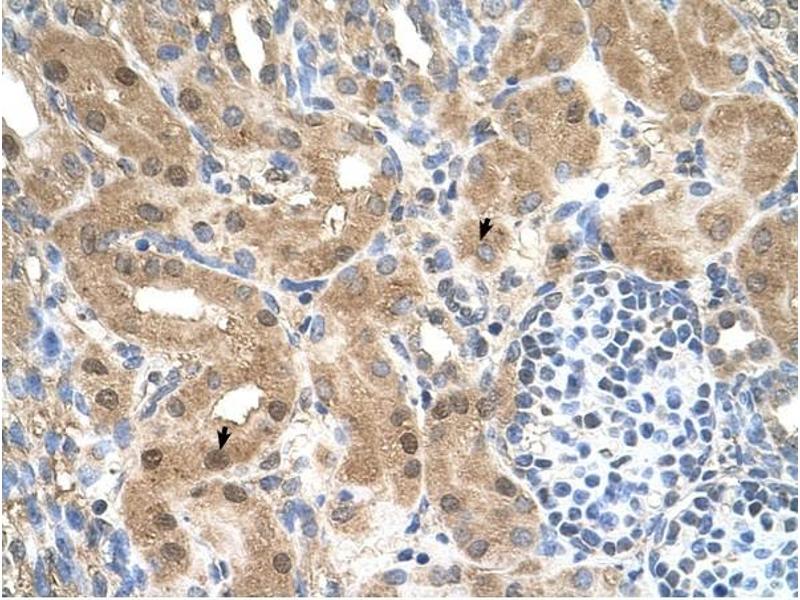
MGC39633 (N-Term) Antikörper

Dieser Kaninchen Polyklonal Antikörper detektiert spezifisch MGC39633 in IHC und WB. Es zeigt Reaktivität gegenüber Proben von Human und Hund.
Produktnummer ABIN630310
1.075,31 €
Zzgl. Versandkosten 20,00 € und MwSt
100 μg
Lieferung nach: Deutschland
Lieferung in 13 bis 17 Werktagen

Kurzübersicht für MGC39633 (N-Term) Antikörper (ABIN630310)

Target

MGC39633

Reaktivität

  • 2
  • 1
  • 1
  • 1
  • 1
  • 1
  • 1
  • 1
Human, Hund

Wirt

  • 2
Kaninchen

Klonalität

  • 2
Polyklonal

Konjugat

  • 2
Unkonjugiert

Applikation

  • 2
  • 2
  • 1
Immunohistochemistry (IHC), Western Blotting (WB)
  • Bindungsspezifität

    N-Term

    Spezifität

    MGC39633 antibody was raised against the N terminal Of Mgc39633

    Aufreinigung

    Purified

    Immunogen

    MGC39633 antibody was raised using the N terminal Of Mgc39633 corresponding to a region with amino acids VRTAEKFKNQVINMEKDKHSHFYNQKSDFRIEHSMLEELENKLIHSRKTE
  • Applikationshinweise

    WB: 1.25 µg/mL, IHC: 4-8 µg/mL
    Optimal conditions should be determined by the investigator.

    Kommentare

    MGC39633 Blocking Peptide, (ABIN5614748), is also available for use as a blocking control in assays to test for specificity of this MGC39633 antibody

    Beschränkungen

    Nur für Forschungszwecke einsetzbar
  • Format

    Lyophilized

    Rekonstitution

    Lyophilized powder. Add distilled water for a 1 mg/mL concentration of MGC39633 antibody in PBS

    Konzentration

    Lot specific

    Buffer

    PBS

    Handhabung

    Avoid repeated freeze/thaw cycles.
    Dilute only prior to immediate use.

    Lagerung

    4 °C/-20 °C

    Informationen zur Lagerung

    Store at 2-8 °C for short periods. For longer periods of storage, store at -20 °C.
  • Target

    MGC39633

    Hintergrund

    The function of MGC39633 protein is not widely studied, and is yet to be elucidated fully.

    Molekulargewicht

    62 kDa (MW of target protein)
Sie sind hier:
Chat with us!