Telefon:
+49 (0)241 95 163 153
Fax:
+49 (0)241 95 163 155
E-Mail:
orders@antikoerper-online.de

SNRNP35 Antikörper (N-Term)

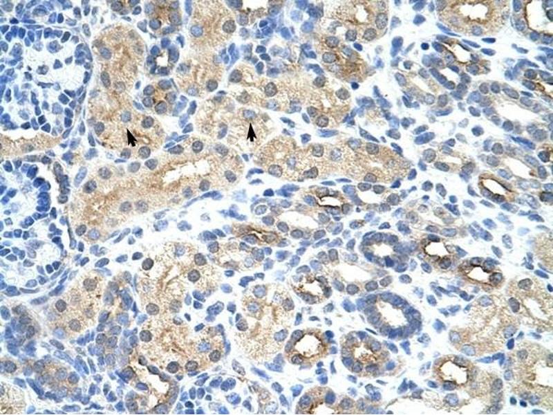
Der Kaninchen Polyklonal anti-SNRNP35 Antikörper (ABIN630009) detektiert spezifisch SNRNP35 in WB und IHC. Dieser Antikörper reagiert spezifisch mit Proben aus Human.
Produktnummer ABIN630009
1.075,31 €
Zzgl. Versandkosten 20,00 € und MwSt
100 μg
Lieferung nach: Deutschland
Lieferung in 13 bis 17 Werktagen

Kurzübersicht für SNRNP35 Antikörper (N-Term) (ABIN630009)

Target

Alle SNRNP35 Antikörper anzeigen
SNRNP35 (U11/U12 SnRNP 35 KDa Protein)

Reaktivität

  • 8
  • 7
  • 2
  • 2
  • 1
  • 1
  • 1
  • 1
  • 1
Human

Wirt

  • 12
Kaninchen

Klonalität

  • 12
Polyklonal

Konjugat

  • 8
  • 2
  • 1
  • 1
Dieser SNRNP35 Antikörper ist unkonjugiert

Applikation

  • 8
  • 6
  • 3
  • 2
  • 1
  • 1
Western Blotting (WB), Immunohistochemistry (IHC)
  • Bindungsspezifität

    • 6
    • 1
    • 1
    • 1
    N-Term

    Spezifität

    U1 SNRNPBP antibody was raised against the N terminal of U1 NRNPBP

    Aufreinigung

    Purified

    Immunogen

    U1 SNRNPBP antibody was raised using the N terminal of U1 NRNPBP corresponding to a region with amino acids RAVWRAMLARYVPNKGVIGDPLLTLFVARLNLQTKEDKLKEVFSRYGDIR
  • Applikationshinweise

    WB: 2.5 µg/mL, IHC: 4-8 µg/mL
    Optimal conditions should be determined by the investigator.

    Kommentare

    U1SNRNPBP Blocking Peptide, (ABIN5616854), is also available for use as a blocking control in assays to test for specificity of this U1SNRNPBP antibody

    Beschränkungen

    Nur für Forschungszwecke einsetzbar
  • Format

    Lyophilized

    Rekonstitution

    Lyophilized powder. Add distilled water for a 1 mg/mL concentration of U0 NRNPBP antibody in PBS

    Konzentration

    Lot specific

    Buffer

    PBS

    Handhabung

    Avoid repeated freeze/thaw cycles.
    Dilute only prior to immediate use.

    Lagerung

    4 °C/-20 °C

    Informationen zur Lagerung

    Store at 2-8 °C for short periods. For longer periods of storage, store at -20 °C.
  • Target

    SNRNP35 (U11/U12 SnRNP 35 KDa Protein)

    Andere Bezeichnung

    U1SNRNPBP

    Hintergrund

    U1SNRNPBP is a homolog of U1-snRNP binding protein. Its N-terminal half contains a RNA recognition motif and the C-terminal half is rich in Arg/Asp and Arg/Glu dipeptides, a characteristic of a variety of splicing factors.

    Molekulargewicht

    28 kDa (MW of target protein)
Sie sind hier:
Chat with us!