PABPC4 Antikörper (N-Term)
Kurzübersicht für PABPC4 Antikörper (N-Term) (ABIN629988)
Target
Alle PABPC4 Antikörper anzeigenReaktivität
Wirt
Klonalität
Konjugat
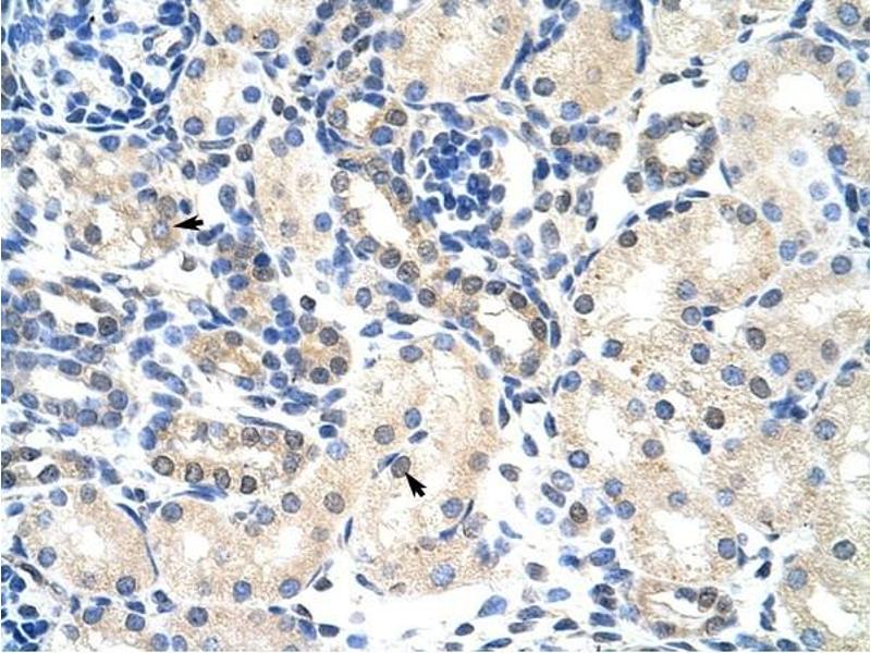
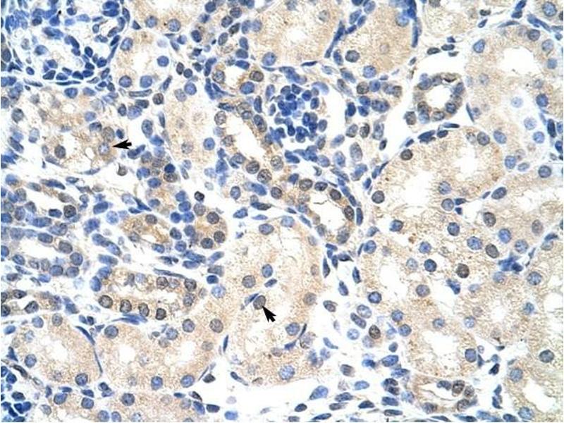
Applikation
-
-
Bindungsspezifität
- N-Term
-
Spezifität
- PABPC4 antibody was raised against the N terminal of PABPC4
-
Aufreinigung
- Purified
-
Immunogen
- PABPC4 antibody was raised using the N terminal of PABPC4 corresponding to a region with amino acids AELGAKAKEFTNVYIKNFGEEVDDESLKELFSQFGKTLSVKVMRDPNGKS
-
-
-
-
Applikationshinweise
-
WB: 1.25 µg/mL, IHC: 4-8 µg/mL
Optimal conditions should be determined by the investigator. -
Kommentare
-
PABPC4 Blocking Peptide, (ABIN936523), is also available for use as a blocking control in assays to test for specificity of this PABPC4 antibody
-
Beschränkungen
- Nur für Forschungszwecke einsetzbar
-
-
-
Format
- Lyophilized
-
Rekonstitution
- Lyophilized powder. Add distilled water for a 1 mg/mL concentration of PABPC4 antibody in PBS
-
Konzentration
- Lot specific
-
Buffer
- PBS
-
Handhabung
-
Avoid repeated freeze/thaw cycles.
Dilute only prior to immediate use. -
Lagerung
- 4 °C/-20 °C
-
Informationen zur Lagerung
- Store at 2-8 °C for short periods. For longer periods of storage, store at -20 °C.
-
-
- PABPC4 (Poly(A) Binding Protein, Cytoplasmic 4 (Inducible Form) (PABPC4))
-
Andere Bezeichnung
- PABPC4
-
Hintergrund
- Poly(A)-binding proteins (PABPs) bind to the poly(A) tail present at the 3-prime ends of most eukaryotic mRNAs. PABPC4 or IPABP (inducible PABP) was isolated as an activation-induced T-cell mRNA encoding a protein. Activation of T cells increased PABPC4 mRNA levels in T cells approximately 5-fold. PABPC4 contains 4 RNA-binding domains and proline-rich C terminus. PABPC4 is localized primarily to the cytoplasm. It is suggested that PABPC4 might be necessary for regulation of stability of labile mRNA species in activated T cells.
-
Molekulargewicht
- 71 kDa (MW of target protein)
-
Pathways
- SARS-CoV-2 Protein Interaktom
Target
-