PAIP1 Antikörper
Kurzübersicht für PAIP1 Antikörper (ABIN629948)
Target
Alle PAIP1 Antikörper anzeigenReaktivität
Wirt
Klonalität
Konjugat
Applikation
-
-
Aufreinigung
- Purified
-
Immunogen
- PAIP1 antibody was raised using a synthetic peptide corresponding to a region with amino acids EPTFYTSDGVPFTAADPDYQEKYQELLEREDFFPDYEENGTDLSGAGDPY
-
-
-
-
Applikationshinweise
-
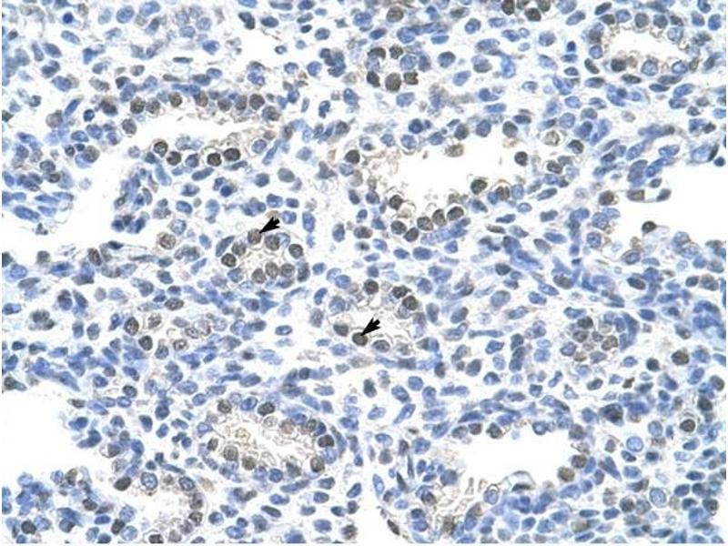
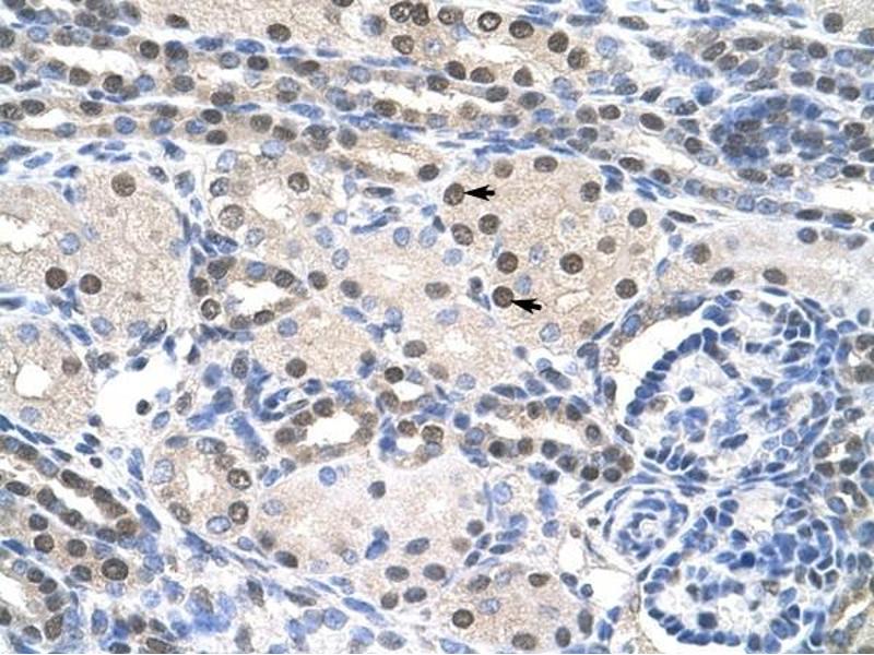
WB: 1.25 µg/mL, IHC: 4-8 µg/mL
Optimal conditions should be determined by the investigator. -
Kommentare
-
PAIP1 Blocking Peptide, (ABIN938036), is also available for use as a blocking control in assays to test for specificity of this PAIP1 antibody
-
Beschränkungen
- Nur für Forschungszwecke einsetzbar
-
-
-
Format
- Lyophilized
-
Rekonstitution
- Lyophilized powder. Add distilled water for a 1 mg/mL concentration of PAIP1 antibody in PBS
-
Konzentration
- Lot specific
-
Buffer
- PBS
-
Handhabung
- Avoid repeated freeze/thaw cycles.
-
Lagerung
- 4 °C/-20 °C
-
Informationen zur Lagerung
- Store at 2-8 °C for short periods. For longer periods of storage, store at -20 °C.
-
-
- PAIP1 (Poly(A) Binding Protein Interacting Protein 1 (PAIP1))
-
Andere Bezeichnung
- PAIP1
-
Hintergrund
- PAIP1 interacts with poly(A)-binding protein and with the cap-binding complex eIF4A. It is involved in translational initiation and protein biosynthesis. Overexpression of this gene in COS7 cells stimulates translation.
-
Molekulargewicht
- 44 kDa (MW of target protein)
Target
-