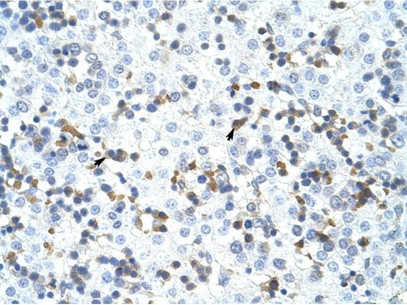
CPSF3 Antikörper (C-Term)
Kurzübersicht für CPSF3 Antikörper (C-Term) (ABIN629924)
Target
Alle CPSF3 Antikörper anzeigenReaktivität
Wirt
Klonalität
Konjugat
Applikation
-
-
Bindungsspezifität
- C-Term
-
Spezifität
- CPSF3 antibody was raised against the C terminal of CPSF3
-
Aufreinigung
- Purified
-
Immunogen
- CPSF3 antibody was raised using the C terminal of CPSF3 corresponding to a region with amino acids DDSILSVTVDGKTANLNLETRTVECEEGSEDDESLREMVELAAQRLYEAL
-
-
-
-
Applikationshinweise
-
WB: 1.25 µg/mL, IHC: 4-8 µg/mL
Optimal conditions should be determined by the investigator. -
Kommentare
-
CPSF3 Blocking Peptide, (ABIN937275), is also available for use as a blocking control in assays to test for specificity of this CPSF3 antibody
-
Beschränkungen
- Nur für Forschungszwecke einsetzbar
-
-
-
Format
- Lyophilized
-
Rekonstitution
- Lyophilized powder. Add distilled water for a 1 mg/mL concentration of CPSF3 antibody in PBS
-
Konzentration
- Lot specific
-
Buffer
- PBS
-
Handhabung
-
Avoid repeated freeze/thaw cycles.
Dilute only prior to immediate use. -
Lagerung
- 4 °C/-20 °C
-
Informationen zur Lagerung
- Store at 2-8 °C for short periods. For longer periods of storage, store at -20 °C.
-
-
- CPSF3 (Cleavage and Polyadenylation Specific Factor 3, 73kDa (CPSF3))
-
Andere Bezeichnung
- CPSF3
-
Hintergrund
- CPSF3 belongs to the RNA-metabolizing metallo-beta-lactamase-like family, CPSF3 subfamily. It is component of the cleavage and polyadenylation specificity factor (CPSF) complex that play a key role in pre-mRNA 3'-end formation, recognizing the AAUAAA signal sequence and interacting with poly(A) polymerase and other factors to bring about cleavage and poly(A) addition.
-
Molekulargewicht
- 75 kDa (MW of target protein)
Target
-