LONRF1 Antikörper (N-Term)
Kurzübersicht für LONRF1 Antikörper (N-Term) (ABIN629741)
Target
Reaktivität
Wirt
Klonalität
Konjugat
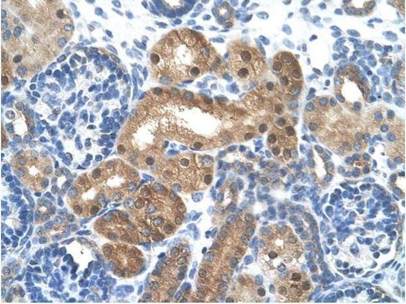
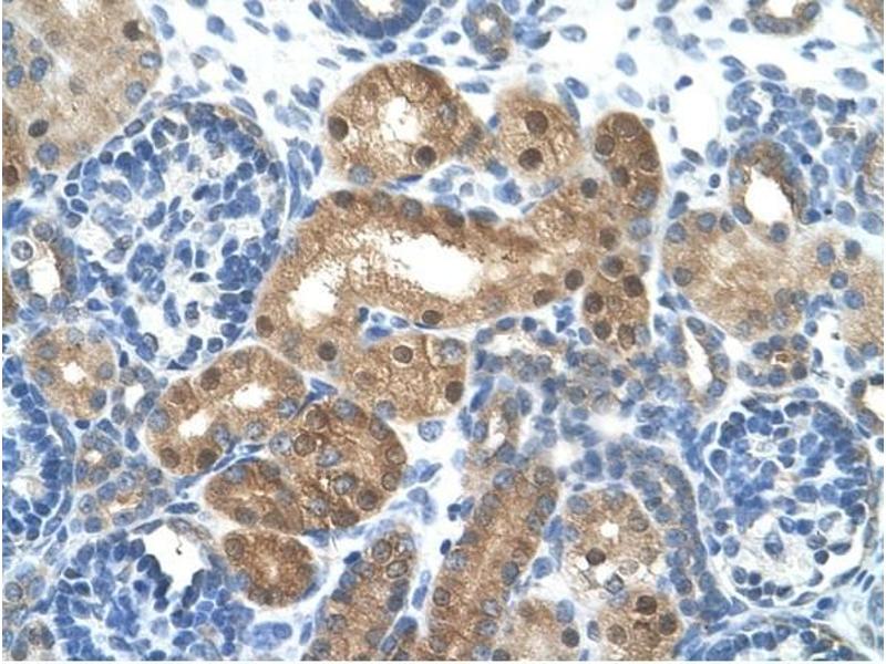
Applikation
-
-
Bindungsspezifität
- N-Term
-
Spezifität
- LONRF1 antibody was raised against the N terminal of LONRF1
-
Aufreinigung
- Purified
-
Immunogen
- LONRF1 antibody was raised using the N terminal of LONRF1 corresponding to a region with amino acids MSSPAVARTSPGGSREMAPAPQGRGRFWEVGGGSGHRLERAAAESERWEL
-
-
-
-
Applikationshinweise
-
WB: 2.5 µg/mL, IHC: 4-8 µg/mL
Optimal conditions should be determined by the investigator. -
Kommentare
-
LONRF1 Blocking Peptide, (ABIN5614547), is also available for use as a blocking control in assays to test for specificity of this LONRF1 antibody
-
Beschränkungen
- Nur für Forschungszwecke einsetzbar
-
-
-
Format
- Lyophilized
-
Rekonstitution
- Lyophilized powder. Add distilled water for a 1 mg/mL concentration of LONRF1 antibody in PBS
-
Konzentration
- Lot specific
-
Buffer
- PBS
-
Handhabung
-
Avoid repeated freeze/thaw cycles.
Dilute only prior to immediate use. -
Lagerung
- 4 °C/-20 °C
-
Informationen zur Lagerung
- Store at 2-8 °C for short periods. For longer periods of storage, store at -20 °C.
-
-
- LONRF1 (LON Peptidase N-terminal Domain and Ring Finger 1 (LONRF1))
-
Andere Bezeichnung
- LONRF1
-
Hintergrund
- LONRF1 is involved in protein binding, zinc ion binding, ATP-dependent peptidase activity and metal ion binding.
-
Molekulargewicht
- 46 kDa (MW of target protein)
Target
-