Telefon:
+49 (0)241 95 163 153
Fax:
+49 (0)241 95 163 155
E-Mail:
orders@antikoerper-online.de

BSDC1 Antikörper (N-Term)

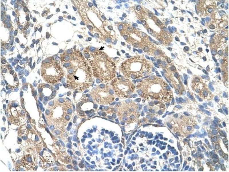
Der Kaninchen Polyklonal anti-BSDC1 Antikörper wird verwendet zum Nachweis von BSDC1 in Proben von Human, Maus, Hund, Ratte und Zebrafisch (Danio rerio). Er wurde validiert für WB und IHC.
Produktnummer ABIN629726
1.075,31 €
Zzgl. Versandkosten 20,00 € und MwSt
100 μg
Lieferung nach: Deutschland
Lieferung in 13 bis 17 Werktagen

Kurzübersicht für BSDC1 Antikörper (N-Term) (ABIN629726)

Target

Alle BSDC1 Antikörper anzeigen
BSDC1 (BSD Domain Containing 1 (BSDC1))

Reaktivität

  • 16
  • 5
  • 4
  • 4
  • 4
  • 4
  • 4
  • 3
  • 3
  • 2
  • 2
  • 2
  • 1
  • 1
Human, Maus, Hund, Ratte, Zebrafisch (Danio rerio)

Wirt

  • 16
Kaninchen

Klonalität

  • 16
Polyklonal

Konjugat

  • 11
  • 1
  • 1
  • 1
  • 1
  • 1
Dieser BSDC1 Antikörper ist unkonjugiert

Applikation

  • 16
  • 8
  • 3
  • 1
  • 1
  • 1
Western Blotting (WB), Immunohistochemistry (IHC)
  • Bindungsspezifität

    • 8
    • 4
    • 2
    • 1
    • 1
    • 1
    • 1
    N-Term

    Spezifität

    BSDC1 antibody was raised against the N terminal of BSDC1

    Aufreinigung

    Purified

    Immunogen

    BSDC1 antibody was raised using the N terminal of BSDC1 corresponding to a region with amino acids VISDTFAPSPDKTIDCDVITLMGTPSGTAEPYDGTKARLYSLQSDPATYC
  • Applikationshinweise

    WB: 2.5 µg/mL, IHC: 4-8 µg/mL
    Optimal conditions should be determined by the investigator.

    Kommentare

    BSDC1 Blocking Peptide, (ABIN5612370), is also available for use as a blocking control in assays to test for specificity of this BSDC1 antibody

    Beschränkungen

    Nur für Forschungszwecke einsetzbar
  • Format

    Lyophilized

    Rekonstitution

    Lyophilized powder. Add distilled water for a 1 mg/mL concentration of BSDC1 antibody in PBS

    Konzentration

    Lot specific

    Buffer

    PBS

    Handhabung

    Avoid repeated freeze/thaw cycles.
    Dilute only prior to immediate use.

    Lagerung

    4 °C/-20 °C

    Informationen zur Lagerung

    Store at 2-8 °C for short periods. For longer periods of storage, store at -20 °C.
  • Target

    BSDC1 (BSD Domain Containing 1 (BSDC1))

    Andere Bezeichnung

    BSDC1

    Hintergrund

    BSDC1 may be involved in protein binding.

    Molekulargewicht

    17 kDa (MW of target protein)
Sie sind hier:
Chat with us!