Telefon:
+49 (0)241 95 163 153
Fax:
+49 (0)241 95 163 155
E-Mail:
orders@antikoerper-online.de

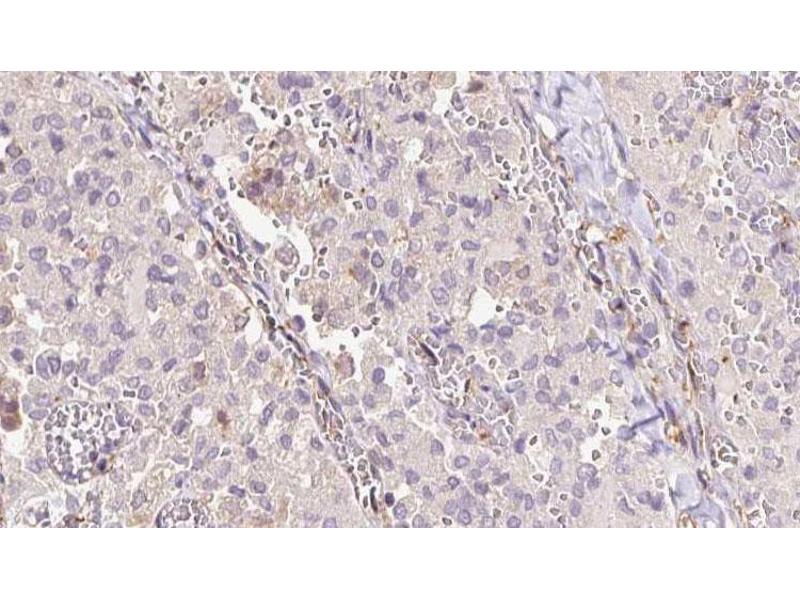
SAT1 Antikörper (C-Term)

Der Kaninchen Polyklonal anti-SAT1 Antikörper (ABIN6264928) detektiert spezifisch SAT1 in WB und IHC. Dieser Antikörper reagiert spezifisch mit Proben aus Human, Ratte und Maus.
Produktnummer ABIN6264928
525,71 €
Zzgl. Versandkosten 20,00 € und MwSt
Lieferung nach: Deutschland
Lieferung in 9 bis 11 Werktagen

Kurzübersicht für SAT1 Antikörper (C-Term) (ABIN6264928)

Target

Alle SAT1 Antikörper anzeigen
SAT1 (Spermidine/spermine N1-Acetyltransferase 1 (SAT1))

Reaktivität

  • 35
  • 13
  • 11
  • 1
Human, Ratte, Maus

Wirt

  • 32
  • 7
Kaninchen

Klonalität

  • 33
  • 6
Polyklonal

Konjugat

  • 17
  • 4
  • 3
  • 3
  • 2
  • 2
  • 2
  • 2
  • 2
  • 2
Dieser SAT1 Antikörper ist unkonjugiert

Applikation

  • 17
  • 16
  • 14
  • 6
  • 5
  • 5
  • 2
  • 2
  • 2
Western Blotting (WB), Immunohistochemistry (IHC)
  • Bindungsspezifität

    • 6
    • 3
    • 2
    • 1
    • 1
    C-Term

    Spezifität

    SAT1 Antibody detects endogenous levels of total SAT1.

    Homologie

    Pig,Bovine,Horse,Sheep,Rabbit,Dog,Chicken,Xenopus

    Aufreinigung

    The antiserum was purified by peptide affinity chromatography using SulfoLinkTM Coupling Resin (Thermo Fisher Scientific).

    Immunogen

    A synthesized peptide derived from human SAT1, corresponding to a region within C-terminal amino acids.

    Isotyp

    IgG
  • Applikationshinweise

    WB 1:500-1:2000, IHC 1:50-1:200

    Beschränkungen

    Nur für Forschungszwecke einsetzbar
  • Format

    Liquid

    Konzentration

    1 mg/mL

    Buffer

    Rabbit IgG in phosphate buffered saline , pH 7.4, 150 mM NaCl, 0.02 % sodium azide and 50 % glycerol.

    Konservierungsmittel

    Sodium azide

    Vorsichtsmaßnahmen

    This product contains Sodium azide: a POISONOUS AND HAZARDOUS SUBSTANCE which should be handled by trained staff only.

    Lagerung

    -20 °C

    Informationen zur Lagerung

    Store at -20 °C. Stable for 12 months from date of receipt.

    Haltbarkeit

    12 months
  • Target

    SAT1 (Spermidine/spermine N1-Acetyltransferase 1 (SAT1))

    Andere Bezeichnung

    SAT1

    Hintergrund

    Description: Enzyme which catalyzes the acetylation of polyamines. Substrate specificity: norspermidine = spermidine >> spermine > N1-acetylspermine > putrescine. This highly regulated enzyme allows a fine attenuation of the intracellular concentration of polyamines. Also involved in the regulation of polyamine transport out of cells. Acts on 1,3-diaminopropane, 1,5-diaminopentane, putrescine, spermidine (forming N1- and N8-acetylspermidine), spermine, N1-acetylspermidine and N8-acetylspermidine.

    Gene: SAT1

    Molekulargewicht

    25-30 kDa

    Gen-ID

    6303

    UniProt

    P21673
Sie sind hier:
Chat with us!