Telefon:
+49 (0)241 95 163 153
Fax:
+49 (0)241 95 163 155
E-Mail:
orders@antikoerper-online.de

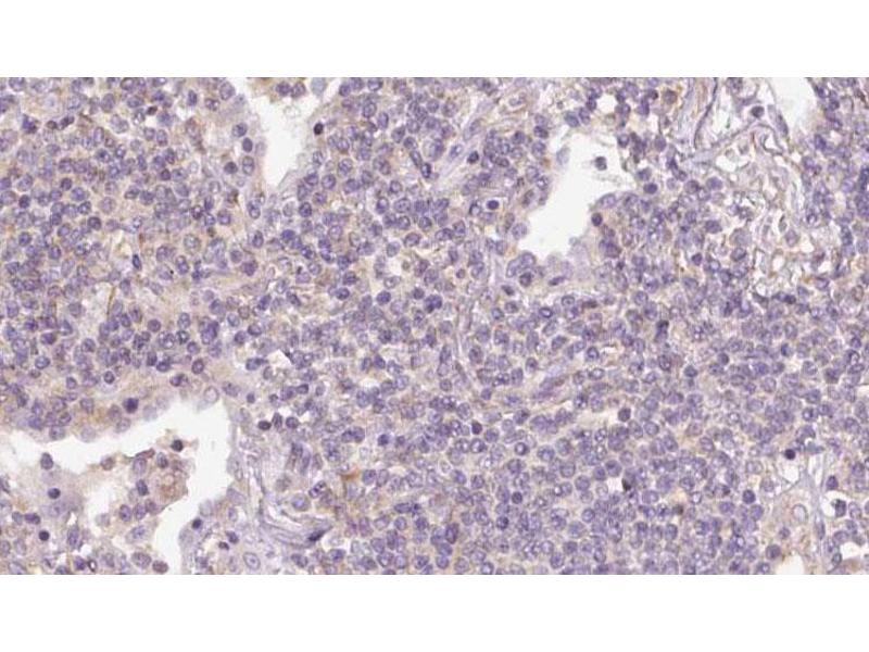
RND3 Antikörper (Internal Region)

Der Kaninchen Polyklonal anti-RND3 Antikörper wird verwendet zum Nachweis von RND3 in Proben von Human, Maus und Ratte. Er wurde validiert für WB, IHC, ICC und IF.
Produktnummer ABIN6264780
525,71 €
Zzgl. Versandkosten 20,00 € und MwSt
Lieferung nach: Deutschland
Lieferung in 9 bis 11 Werktagen

Kurzübersicht für RND3 Antikörper (Internal Region) (ABIN6264780)

Target

Alle RND3 Antikörper anzeigen
RND3 (rho Family GTPase 3 (RND3))

Reaktivität

  • 32
  • 7
  • 6
  • 2
  • 2
  • 2
  • 2
  • 2
  • 1
  • 1
Human, Maus, Ratte

Wirt

  • 16
  • 16
Kaninchen

Klonalität

  • 18
  • 14
Polyklonal

Konjugat

  • 21
  • 2
  • 2
  • 1
  • 1
  • 1
  • 1
  • 1
  • 1
  • 1
Dieser RND3 Antikörper ist unkonjugiert

Applikation

  • 16
  • 14
  • 6
  • 6
  • 2
  • 2
  • 1
  • 1
  • 1
  • 1
  • 1
Western Blotting (WB), Immunohistochemistry (IHC), Immunocytochemistry (ICC), Immunofluorescence (IF)
  • Bindungsspezifität

    • 5
    • 3
    • 2
    • 2
    • 2
    • 2
    • 1
    • 1
    • 1
    • 1
    • 1
    Internal Region

    Spezifität

    RND3 Antibody detects endogenous levels of total RND3.

    Homologie

    Pig,Bovine,Horse,Sheep,Rabbit,Dog,Chicken,Xenopus

    Aufreinigung

    The antiserum was purified by peptide affinity chromatography using SulfoLinkTM Coupling Resin (Thermo Fisher Scientific).

    Immunogen

    A synthesized peptide derived from human RND3, corresponding to a region within the internal amino acids.

    Isotyp

    IgG
  • Applikationshinweise

    WB 1:500-1:2000, IHC 1:50-1:200, IF/ICC 1:100-1:500

    Beschränkungen

    Nur für Forschungszwecke einsetzbar
  • Format

    Liquid

    Konzentration

    1 mg/mL

    Buffer

    Rabbit IgG in phosphate buffered saline , pH 7.4, 150 mM NaCl, 0.02 % sodium azide and 50 % glycerol.

    Konservierungsmittel

    Sodium azide

    Vorsichtsmaßnahmen

    This product contains Sodium azide: a POISONOUS AND HAZARDOUS SUBSTANCE which should be handled by trained staff only.

    Lagerung

    -20 °C

    Informationen zur Lagerung

    Store at -20 °C. Stable for 12 months from date of receipt.

    Haltbarkeit

    12 months
  • Target

    RND3 (rho Family GTPase 3 (RND3))

    Andere Bezeichnung

    RND3

    Hintergrund

    Description: Binds GTP but lacks intrinsic GTPase activity and is resistant to Rho-specific GTPase-activating proteins.

    Gene: RND3

    Molekulargewicht

    29 kDa

    Gen-ID

    390

    UniProt

    P61587
Sie sind hier:
Chat with us!