Telefon:
+49 (0)241 95 163 153
Fax:
+49 (0)241 95 163 155
E-Mail:
orders@antikoerper-online.de

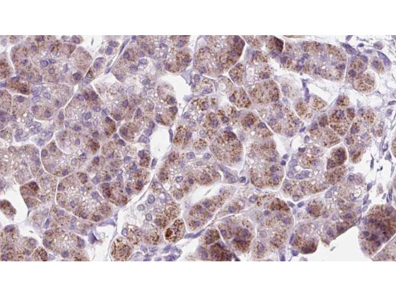
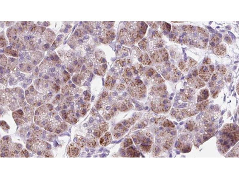
RAB12 Antikörper (C-Term)

Der Kaninchen Polyklonal anti-RAB12 Antikörper wird verwendet zum Nachweis von RAB12 in Proben von Human und Maus. Er wurde validiert für WB und IHC.
Produktnummer ABIN6264555
525,71 €
Zzgl. Versandkosten 20,00 € und MwSt
Lieferung nach: Deutschland
Lieferung in 9 bis 11 Werktagen

Kurzübersicht für RAB12 Antikörper (C-Term) (ABIN6264555)

Target

RAB12 (RAB12, Member RAS Oncogene Family (RAB12))

Reaktivität

  • 21
  • 11
  • 1
Human, Maus

Wirt

  • 21
Kaninchen

Klonalität

  • 21
Polyklonal

Konjugat

  • 11
  • 3
  • 3
  • 2
  • 1
  • 1
Dieser RAB12 Antikörper ist unkonjugiert

Applikation

  • 16
  • 15
  • 3
  • 2
  • 1
  • 1
  • 1
Western Blotting (WB), Immunohistochemistry (IHC)
  • Bindungsspezifität

    • 8
    • 5
    • 4
    • 3
    • 1
    C-Term

    Spezifität

    RAB12 Antibody detects endogenous levels of total RAB12.

    Homologie

    Pig,Bovine,Horse,Sheep,Rabbit,Dog,Chicken

    Aufreinigung

    The antiserum was purified by peptide affinity chromatography using SulfoLinkTM Coupling Resin (Thermo Fisher Scientific).

    Immunogen

    A synthesized peptide derived from human RAB12, corresponding to a region within C-terminal amino acids.

    Isotyp

    IgG
  • Applikationshinweise

    WB 1:500-1:2000, IHC 1:50-1:200

    Beschränkungen

    Nur für Forschungszwecke einsetzbar
  • Format

    Liquid

    Konzentration

    1 mg/mL

    Buffer

    Rabbit IgG in phosphate buffered saline , pH 7.4, 150 mM NaCl, 0.02 % sodium azide and 50 % glycerol.

    Konservierungsmittel

    Sodium azide

    Vorsichtsmaßnahmen

    This product contains Sodium azide: a POISONOUS AND HAZARDOUS SUBSTANCE which should be handled by trained staff only.

    Lagerung

    -20 °C

    Informationen zur Lagerung

    Store at -20 °C. Stable for 12 months from date of receipt.

    Haltbarkeit

    12 months
  • Target

    RAB12 (RAB12, Member RAS Oncogene Family (RAB12))

    Andere Bezeichnung

    RAB12

    Hintergrund

    Description: The small GTPases Rab are key regulators of intracellular membrane trafficking, from the formation of transport vesicles to their fusion with membranes. Rabs cycle between an inactive GDP-bound form and an active GTP-bound form that is able to recruit to membranes different set of downstream effectors directly responsible for vesicle formation, movement, tethering and fusion. That Rab may play a role in protein transport from recycling endosomes to lysosomes regulating, for instance, the degradation of the transferrin receptor. Involved in autophagy (By similarity).

    Gene: RAB12

    Molekulargewicht

    28 kDa

    Gen-ID

    201475

    UniProt

    Q6IQ22
Sie sind hier:
Chat with us!