Telefon:
+49 (0)241 95 163 153
Fax:
+49 (0)241 95 163 155
E-Mail:
orders@antikoerper-online.de

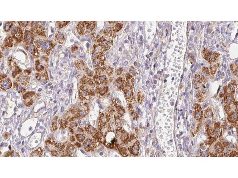
PLCH2 Antikörper (N-Term)

Der Kaninchen Polyklonal anti-PLCH2 Antikörper (ABIN6264292) detektiert spezifisch PLCH2 in WB, IHC und ELISA. Dieser Antikörper reagiert spezifisch mit Proben aus Human und Maus.
Produktnummer ABIN6264292
525,71 €
Zzgl. Versandkosten 20,00 € und MwSt
Lieferung nach: Deutschland
Lieferung in 9 bis 11 Werktagen

Kurzübersicht für PLCH2 Antikörper (N-Term) (ABIN6264292)

Target

PLCH2 (PLCh2) (Phospholipase C eta 2 (PLCh2))

Reaktivität

Human, Maus

Wirt

  • 4
Kaninchen

Klonalität

  • 4
Polyklonal

Konjugat

  • 4
Dieser PLCH2 Antikörper ist unkonjugiert

Applikation

  • 4
  • 2
  • 1
  • 1
  • 1
Western Blotting (WB), Immunohistochemistry (IHC), ELISA
  • Bindungsspezifität

    • 2
    • 1
    • 1
    N-Term

    Spezifität

    PLCH2 Antibody detects endogenous levels of total PLCH2.

    Homologie

    Pig,Bovine,Sheep,Chicken

    Aufreinigung

    The antiserum was purified by peptide affinity chromatography using SulfoLinkTM Coupling Resin (Thermo Fisher Scientific).

    Immunogen

    A synthesized peptide derived from human PLCH2, corresponding to a region within N-terminal amino acids.

    Isotyp

    IgG
  • Applikationshinweise

    WB 1:1000-3000, IHC 1:200, ELISA(peptide) 1:20000-1:40000

    Beschränkungen

    Nur für Forschungszwecke einsetzbar
  • Format

    Liquid

    Konzentration

    1 mg/mL

    Buffer

    Rabbit IgG in phosphate buffered saline , pH 7.4, 150 mM NaCl, 0.02 % sodium azide and 50 % glycerol.

    Konservierungsmittel

    Sodium azide

    Vorsichtsmaßnahmen

    This product contains Sodium azide: a POISONOUS AND HAZARDOUS SUBSTANCE which should be handled by trained staff only.

    Lagerung

    -20 °C

    Informationen zur Lagerung

    Store at -20 °C. Stable for 12 months from date of receipt.

    Haltbarkeit

    12 months
  • Target

    PLCH2 (PLCh2) (Phospholipase C eta 2 (PLCh2))

    Andere Bezeichnung

    PLCH2

    Hintergrund

    Description: The production of the second messenger molecules diacylglycerol (DAG) and inositol 1,4,5-trisphosphate (IP3) is mediated by activated phosphatidylinositol-specific phospholipase C enzymes. This phospholipase activity is very sensitive to calcium. May be important for formation and maintenance of the neuronal network in the postnatal brain (By similarity).

    Gene: PLCH2

    Molekulargewicht

    155 kDa

    Gen-ID

    9651

    UniProt

    O75038
Sie sind hier:
Chat with us!