Telefon:
+49 (0)241 95 163 153
Fax:
+49 (0)241 95 163 155
E-Mail:
orders@antikoerper-online.de

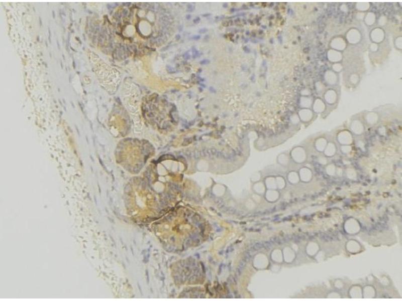
PEX6 Antikörper (C-Term)

Dieser Kaninchen Polyklonal Antikörper detektiert spezifisch PEX6 in WB, ELISA, ICC, IHC und IF. Es zeigt Reaktivität gegenüber Proben von Human, Ratte und Maus.
Produktnummer ABIN6264152
630,85 €
Zzgl. Versandkosten 20,00 € und MwSt
Lieferung nach: Deutschland
Lieferung in 9 bis 11 Werktagen

Kurzübersicht für PEX6 Antikörper (C-Term) (ABIN6264152)

Target

Alle PEX6 Antikörper anzeigen
PEX6 (Peroxisomal Biogenesis Factor 6 (PEX6))

Reaktivität

Human, Ratte, Maus

Wirt

  • 10
  • 6
  • 1
Kaninchen

Klonalität

  • 9
  • 8
Polyklonal

Konjugat

  • 12
  • 1
  • 1
  • 1
  • 1
  • 1
Dieser PEX6 Antikörper ist unkonjugiert

Applikation

Western Blotting (WB), ELISA, Immunocytochemistry (ICC), Immunohistochemistry (IHC), Immunofluorescence (IF)
  • Bindungsspezifität

    • 6
    • 6
    • 2
    • 2
    • 2
    • 1
    • 1
    • 1
    C-Term

    Spezifität

    PEX6 Antibody detects endogenous levels of total PEX6.

    Homologie

    Pig,Bovine,Horse,Sheep,Rabbit,Dog,Chicken

    Aufreinigung

    The antiserum was purified by peptide affinity chromatography using SulfoLinkTM Coupling Resin (Thermo Fisher Scientific).

    Immunogen

    A synthesized peptide derived from human PEX6, corresponding to a region within C-terminal amino acids.

    Isotyp

    IgG
  • Applikationshinweise

    WB 1:1000-3000, IHC 1:200, IF/ICC 1:100-1:500, ELISA(peptide) 1:20000-1:40000

    Beschränkungen

    Nur für Forschungszwecke einsetzbar
  • Format

    Liquid

    Konzentration

    1 mg/mL

    Buffer

    Rabbit IgG in phosphate buffered saline , pH 7.4, 150 mM NaCl, 0.02 % sodium azide and 50 % glycerol.

    Konservierungsmittel

    Sodium azide

    Vorsichtsmaßnahmen

    This product contains Sodium azide: a POISONOUS AND HAZARDOUS SUBSTANCE which should be handled by trained staff only.

    Lagerung

    -20 °C

    Informationen zur Lagerung

    Store at -20 °C. Stable for 12 months from date of receipt.

    Haltbarkeit

    12 months
  • Target

    PEX6 (Peroxisomal Biogenesis Factor 6 (PEX6))

    Andere Bezeichnung

    PEX6

    Hintergrund

    Description: Involved in peroxisome biosynthesis. Required for stability of the PTS1 receptor. Anchored by PEX26 to peroxisome membranes, possibly to form heteromeric AAA ATPase complexes required for the import of proteins into peroxisomes.

    Gene: PEX6

    Molekulargewicht

    104 kDa

    Gen-ID

    5190

    UniProt

    Q13608
Sie sind hier:
Chat with us!