Telefon:
+49 (0)241 95 163 153
Fax:
+49 (0)241 95 163 155
E-Mail:
orders@antikoerper-online.de

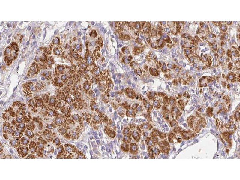
SLC22A6 Antikörper (Internal Region)

Der Kaninchen Polyklonal anti-SLC22A6 Antikörper wird verwendet zum Nachweis von SLC22A6 in Proben von Human, Ratte und Maus. Er wurde validiert für WB, IHC, ELISA, IF und ICC.
Produktnummer ABIN6263787
525,71 €
Zzgl. Versandkosten 20,00 € und MwSt
Lieferung nach: Deutschland
Lieferung in 9 bis 11 Werktagen

Kurzübersicht für SLC22A6 Antikörper (Internal Region) (ABIN6263787)

Target

Alle SLC22A6 Antikörper anzeigen
SLC22A6 (Solute Carrier Family 22 Member 6 (SLC22A6))

Reaktivität

  • 45
  • 20
  • 16
  • 4
  • 4
  • 4
  • 4
  • 3
  • 3
  • 2
  • 2
Human, Ratte, Maus

Wirt

  • 45
  • 1
Kaninchen

Klonalität

  • 45
  • 1
Polyklonal

Konjugat

  • 26
  • 4
  • 2
  • 2
  • 2
  • 2
  • 2
  • 2
  • 1
  • 1
  • 1
  • 1
Dieser SLC22A6 Antikörper ist unkonjugiert

Applikation

  • 31
  • 20
  • 17
  • 11
  • 7
  • 2
  • 1
Western Blotting (WB), Immunohistochemistry (IHC), ELISA, Immunofluorescence (IF), Immunocytochemistry (ICC)
  • Bindungsspezifität

    • 9
    • 8
    • 3
    • 3
    • 2
    • 1
    • 1
    • 1
    • 1
    • 1
    • 1
    • 1
    Internal Region

    Spezifität

    SLC22A6 Antibody detects endogenous levels of total SLC22A6.

    Homologie

    Pig,Horse,Sheep,Rabbit,Dog

    Aufreinigung

    The antiserum was purified by peptide affinity chromatography using SulfoLinkTM Coupling Resin (Thermo Fisher Scientific).

    Immunogen

    A synthesized peptide derived from human SLC22A6, corresponding to a region within the internal amino acids.

    Isotyp

    IgG
  • Applikationshinweise

    WB 1:1000-3000, IHC 1:200, ELISA(peptide) 1:20000-1:40000, IF/ICC 1:100-1:500

    Beschränkungen

    Nur für Forschungszwecke einsetzbar
  • Format

    Liquid

    Konzentration

    1 mg/mL

    Buffer

    Rabbit IgG in phosphate buffered saline , pH 7.4, 150 mM NaCl, 0.02 % sodium azide and 50 % glycerol.

    Konservierungsmittel

    Sodium azide

    Vorsichtsmaßnahmen

    This product contains Sodium azide: a POISONOUS AND HAZARDOUS SUBSTANCE which should be handled by trained staff only.

    Lagerung

    -20 °C

    Informationen zur Lagerung

    Store at -20 °C. Stable for 12 months from date of receipt.

    Haltbarkeit

    12 months
  • Target

    SLC22A6 (Solute Carrier Family 22 Member 6 (SLC22A6))

    Andere Bezeichnung

    SLC22A6

    Hintergrund

    Description: Involved in the renal elimination of endogenous and exogenous organic anions. Functions as organic anion exchanger when the uptake of one molecule of organic anion is coupled with an efflux of one molecule of endogenous dicarboxylic acid (glutarate, ketoglutarate, etc). Mediates the sodium-independent uptake of 2,3-dimercapto-1-propanesulfonic acid (DMPS) (By similarity). Mediates the sodium-independent uptake of p-aminohippurate (PAH), ochratoxin (OTA), acyclovir (ACV), 3'-azido-3-'deoxythymidine (AZT), cimetidine (CMD), 2,4-dichloro-phenoxyacetate (2,4-D), hippurate (HA), indoleacetate (IA), indoxyl sulfate (IS) and 3-carboxy-4-methyl-5-propyl-2-furanpropionate (CMPF), cidofovir, adefovir, 9-(2-phosphonylmethoxyethyl) guanine (PMEG), 9-(2-phosphonylmethoxyethyl) diaminopurine (PMEDAP) and edaravone sulfate. PAH uptake is inhibited by p-chloromercuribenzenesulphonate (PCMBS), diethyl pyrocarbonate (DEPC), sulindac, diclofenac, carprofen, glutarate and okadaic acid (By similarity). PAH uptake is inhibited by benzothiazolylcysteine (BTC), S-chlorotrifluoroethylcysteine (CTFC), cysteine S-conjugates S-dichlorovinylcysteine (DCVC), furosemide, steviol, phorbol 12-myristate 13-acetate (PMA), calcium ionophore A23187, benzylpenicillin, furosemide, indomethacin, bumetamide, losartan, probenecid, phenol red, urate, and alpha-ketoglutarate.

    Gene: SLC22A6

    Molekulargewicht

    61 kDa

    Gen-ID

    9356

    UniProt

    Q4U2R8

    Pathways

    Dicarboxylic Acid Transport
Sie sind hier:
Chat with us!