Telefon:
+49 (0)241 95 163 153
Fax:
+49 (0)241 95 163 155
E-Mail:
orders@antikoerper-online.de

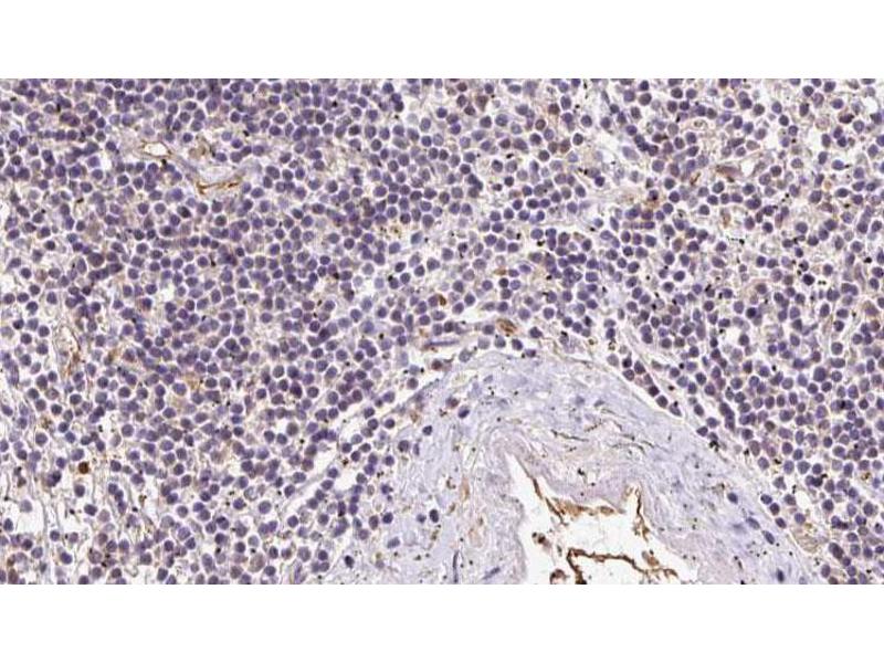
IFT52 Antikörper (Internal Region)

Der Kaninchen Polyklonal anti-IFT52 Antikörper (ABIN6262480) detektiert spezifisch IFT52 in WB und IHC. Dieser Antikörper reagiert spezifisch mit Proben aus Human, Maus und Ratte.
Produktnummer ABIN6262480
525,71 €
Zzgl. Versandkosten 20,00 € und MwSt
Lieferung nach: Deutschland
Lieferung in 9 bis 11 Werktagen

Kurzübersicht für IFT52 Antikörper (Internal Region) (ABIN6262480)

Target

IFT52 (Intraflagellar Transport 52 Homolog (IFT52))

Reaktivität

  • 10
  • 3
  • 2
  • 1
Human, Maus, Ratte

Wirt

  • 10
Kaninchen

Klonalität

  • 10
Polyklonal

Konjugat

  • 7
  • 1
  • 1
  • 1
Dieser IFT52 Antikörper ist unkonjugiert

Applikation

  • 7
  • 6
  • 3
  • 2
  • 1
  • 1
Western Blotting (WB), Immunohistochemistry (IHC)
  • Bindungsspezifität

    • 4
    • 1
    • 1
    • 1
    Internal Region

    Spezifität

    IFT52 Antibody detects endogenous levels of total IFT52.

    Homologie

    Pig,Bovine,Horse,Sheep,Rabbit,Dog,Chicken,Xenopus

    Aufreinigung

    The antiserum was purified by peptide affinity chromatography using SulfoLinkTM Coupling Resin (Thermo Fisher Scientific).

    Immunogen

    A synthesized peptide derived from human IFT52, corresponding to a region within the internal amino acids.

    Isotyp

    IgG
  • Applikationshinweise

    WB 1:500-1:2000, IHC 1:50-1:200

    Beschränkungen

    Nur für Forschungszwecke einsetzbar
  • Format

    Liquid

    Konzentration

    1 mg/mL

    Buffer

    Rabbit IgG in phosphate buffered saline , pH 7.4, 150 mM NaCl, 0.02 % sodium azide and 50 % glycerol.

    Konservierungsmittel

    Sodium azide

    Vorsichtsmaßnahmen

    This product contains Sodium azide: a POISONOUS AND HAZARDOUS SUBSTANCE which should be handled by trained staff only.

    Lagerung

    -20 °C

    Informationen zur Lagerung

    Store at -20 °C. Stable for 12 months from date of receipt.

    Haltbarkeit

    12 months
  • Target

    IFT52 (Intraflagellar Transport 52 Homolog (IFT52))

    Andere Bezeichnung

    IFT52

    Hintergrund

    Description: Involved in ciliogenesis as part of a complex involved in intraflagellar transport (IFT), the bi-directional movement of particles required for the assembly, maintenance and functioning of primary cilia (PubMed:27466190). Required for the anterograde transport of IFT88 (PubMed:27466190).

    Gene: IFT52

    Molekulargewicht

    50kDa

    Gen-ID

    51098

    UniProt

    Q9Y366
Sie sind hier:
Chat with us!