Telefon:
+49 (0)241 95 163 153
Fax:
+49 (0)241 95 163 155
E-Mail:
orders@antikoerper-online.de

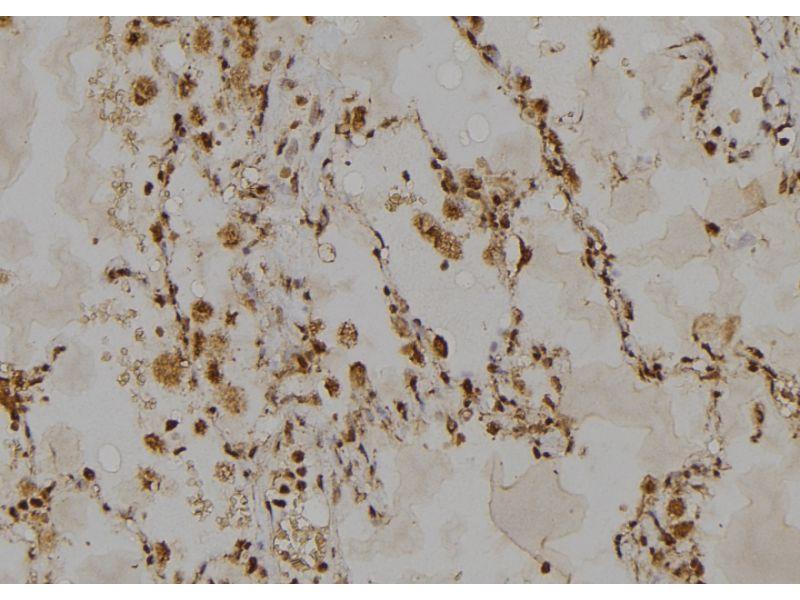
HSPH1 Antikörper (C-Term)

Der Kaninchen Polyklonal anti-HSPH1 Antikörper (ABIN6262390) detektiert spezifisch HSPH1 in WB, IHC, ELISA, ICC und IF. Dieser Antikörper reagiert spezifisch mit Proben aus Human, Ratte und Maus.
Produktnummer ABIN6262390
525,71 €
Zzgl. Versandkosten 20,00 € und MwSt
Lieferung nach: Deutschland
Lieferung in 9 bis 11 Werktagen

Kurzübersicht für HSPH1 Antikörper (C-Term) (ABIN6262390)

Target

Alle HSPH1 Antikörper anzeigen
HSPH1 (Heat Shock 105kDa/110kDa Protein 1 (HSPH1))

Reaktivität

  • 78
  • 44
  • 42
  • 7
  • 5
  • 4
  • 4
  • 4
  • 4
  • 4
  • 3
  • 2
  • 2
  • 1
Human, Ratte, Maus

Wirt

  • 74
  • 10
  • 1
Kaninchen

Klonalität

  • 58
  • 27
Polyklonal

Konjugat

  • 50
  • 9
  • 3
  • 3
  • 3
  • 3
  • 3
  • 3
  • 3
  • 1
  • 1
  • 1
  • 1
  • 1
Dieser HSPH1 Antikörper ist unkonjugiert

Applikation

  • 67
  • 43
  • 30
  • 28
  • 18
  • 12
  • 11
  • 10
  • 4
  • 3
  • 2
  • 1
  • 1
Western Blotting (WB), Immunohistochemistry (IHC), ELISA, Immunocytochemistry (ICC), Immunofluorescence (IF)
  • Bindungsspezifität

    • 11
    • 9
    • 7
    • 6
    • 3
    • 3
    • 2
    • 2
    • 2
    • 2
    • 1
    • 1
    • 1
    • 1
    • 1
    • 1
    • 1
    • 1
    • 1
    • 1
    C-Term

    Spezifität

    HSP105 Antibody detects endogenous levels of total HSP105.

    Homologie

    Horse,Rabbit,Dog

    Aufreinigung

    The antiserum was purified by peptide affinity chromatography using SulfoLinkTM Coupling Resin (Thermo Fisher Scientific).

    Immunogen

    A synthesized peptide derived from human HSP105, corresponding to a region within C-terminal amino acids.

    Isotyp

    IgG
  • Applikationshinweise

    WB 1:500-1:2000, IHC 1:50-1:200, IF/ICC 1:100-1:500, ELISA(peptide) 1:20000-1:40000

    Beschränkungen

    Nur für Forschungszwecke einsetzbar
  • Format

    Liquid

    Konzentration

    1 mg/mL

    Buffer

    Rabbit IgG in phosphate buffered saline , pH 7.4, 150 mM NaCl, 0.02 % sodium azide and 50 % glycerol.

    Konservierungsmittel

    Sodium azide

    Vorsichtsmaßnahmen

    This product contains Sodium azide: a POISONOUS AND HAZARDOUS SUBSTANCE which should be handled by trained staff only.

    Lagerung

    -20 °C

    Informationen zur Lagerung

    Store at -20 °C. Stable for 12 months from date of receipt.

    Haltbarkeit

    12 months
  • Target

    HSPH1 (Heat Shock 105kDa/110kDa Protein 1 (HSPH1))

    Andere Bezeichnung

    HSPH1

    Hintergrund

    Description: Acts as a nucleotide-exchange factor (NEF) for chaperone proteins HSPA1A and HSPA1B, promoting the release of ADP from HSPA1A/B thereby triggering client/substrate protein release (PubMed:24318877). Prevents the aggregation of denatured proteins in cells under severe stress, on which the ATP levels decrease markedly. Inhibits HSPA8/HSC70 ATPase and chaperone activities (By similarity).

    Gene: HSPH1

    Molekulargewicht

    97 kDa

    Gen-ID

    10808

    UniProt

    Q92598
Sie sind hier:
Chat with us!