Telefon:
+49 (0)241 95 163 153
Fax:
+49 (0)241 95 163 155
E-Mail:
orders@antikoerper-online.de

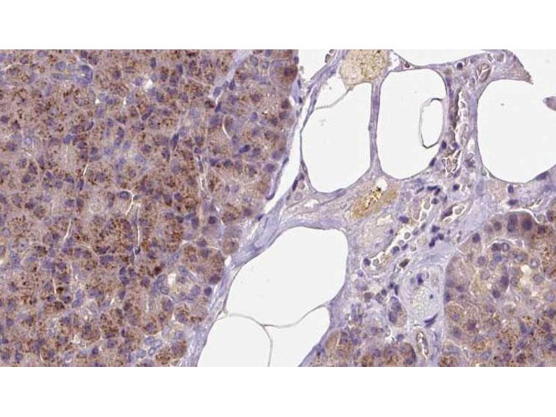
GSTM4 Antikörper (Internal Region)

Der Kaninchen Polyklonal anti-GSTM4 Antikörper (ABIN6262120) detektiert spezifisch GSTM4 in WB, IHC, ICC und IF. Dieser Antikörper reagiert spezifisch mit Proben aus Human und Maus.
Produktnummer ABIN6262120
525,71 €
Zzgl. Versandkosten 20,00 € und MwSt
Lieferung nach: Deutschland
Lieferung in 9 bis 11 Werktagen

Kurzübersicht für GSTM4 Antikörper (Internal Region) (ABIN6262120)

Target

Alle GSTM4 Antikörper anzeigen
GSTM4 (Glutathione S-Transferase mu 4 (GSTM4))

Reaktivität

  • 25
  • 5
  • 4
Human, Maus

Wirt

  • 21
  • 6
  • 1
Kaninchen

Klonalität

  • 25
  • 3
Polyklonal

Konjugat

  • 21
  • 1
  • 1
  • 1
  • 1
  • 1
  • 1
  • 1
Dieser GSTM4 Antikörper ist unkonjugiert

Applikation

  • 18
  • 12
  • 8
  • 4
  • 3
  • 2
  • 2
  • 1
  • 1
Western Blotting (WB), Immunohistochemistry (IHC), Immunocytochemistry (ICC), Immunofluorescence (IF)
  • Bindungsspezifität

    • 6
    • 3
    • 2
    • 1
    • 1
    • 1
    • 1
    • 1
    • 1
    Internal Region

    Spezifität

    GSTM4 Antibody detects endogenous levels of total GSTM4.

    Homologie

    Rabbit

    Aufreinigung

    The antiserum was purified by peptide affinity chromatography using SulfoLinkTM Coupling Resin (Thermo Fisher Scientific).

    Immunogen

    A synthesized peptide derived from human GSTM4, corresponding to a region within the internal amino acids.

    Isotyp

    IgG
  • Applikationshinweise

    WB 1:500-1:2000, IHC 1:50-1:200, IF/ICC 1:100-1:500

    Beschränkungen

    Nur für Forschungszwecke einsetzbar
  • Format

    Liquid

    Konzentration

    1 mg/mL

    Buffer

    Rabbit IgG in phosphate buffered saline , pH 7.4, 150 mM NaCl, 0.02 % sodium azide and 50 % glycerol.

    Konservierungsmittel

    Sodium azide

    Vorsichtsmaßnahmen

    This product contains Sodium azide: a POISONOUS AND HAZARDOUS SUBSTANCE which should be handled by trained staff only.

    Lagerung

    -20 °C

    Informationen zur Lagerung

    Store at -20 °C. Stable for 12 months from date of receipt.

    Haltbarkeit

    12 months
  • Target

    GSTM4 (Glutathione S-Transferase mu 4 (GSTM4))

    Andere Bezeichnung

    GSTM4

    Hintergrund

    Description: Conjugation of reduced glutathione to a wide number of exogenous and endogenous hydrophobic electrophiles. Active on 1-chloro-2,4-dinitrobenzene.

    Gene: GSTM4

    Molekulargewicht

    26 kDa

    Gen-ID

    2948

    UniProt

    Q03013
Sie sind hier:
Chat with us!