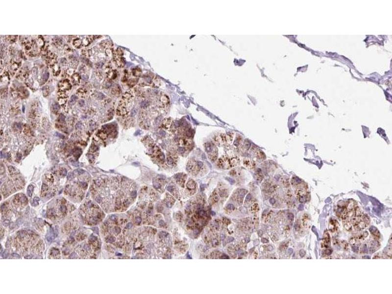
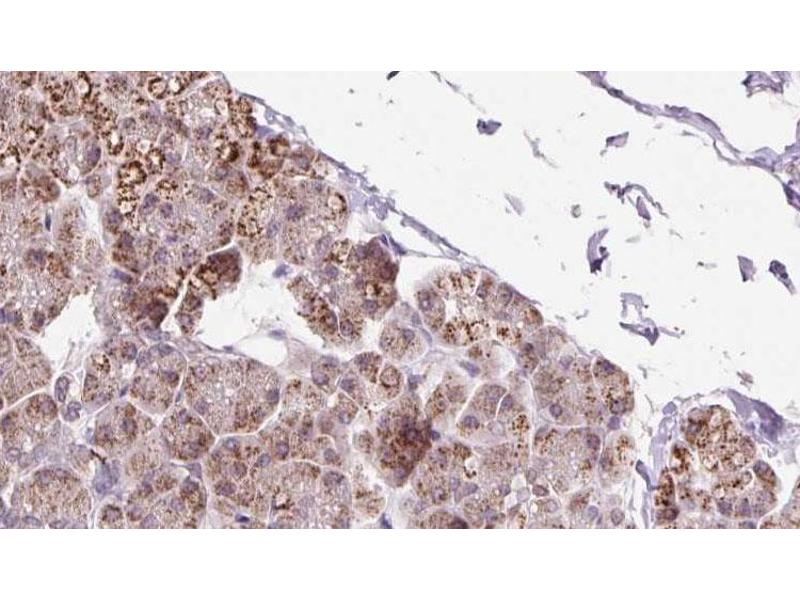
ETFDH Antikörper (C-Term)
Kurzübersicht für ETFDH Antikörper (C-Term) (ABIN6261615)
Target
Alle ETFDH Antikörper anzeigenReaktivität
Wirt
Klonalität
Konjugat
Applikation
-
-
Bindungsspezifität
- C-Term
-
Spezifität
- ETFDH Antibody detects endogenous levels of total ETFDH.
-
Homologie
- Pig,Zebrafish,Bovine,Horse,Sheep,Rabbit,Dog,Xenopus
-
Aufreinigung
- The antiserum was purified by peptide affinity chromatography using SulfoLinkTM Coupling Resin (Thermo Fisher Scientific).
-
Immunogen
- A synthesized peptide derived from human ETFDH, corresponding to a region within C-terminal amino acids.
-
Isotyp
- IgG
-
-
-
-
Applikationshinweise
- WB 1:500-1:2000, IHC 1:50-1:200, IF/ICC 1:100-1:500
-
Beschränkungen
- Nur für Forschungszwecke einsetzbar
-
-
-
Format
- Liquid
-
Konzentration
- 1 mg/mL
-
Buffer
- Rabbit IgG in phosphate buffered saline , pH 7.4, 150 mM NaCl, 0.02 % sodium azide and 50 % glycerol.
-
Konservierungsmittel
- Sodium azide
-
Vorsichtsmaßnahmen
- This product contains Sodium azide: a POISONOUS AND HAZARDOUS SUBSTANCE which should be handled by trained staff only.
-
Lagerung
- -20 °C
-
Informationen zur Lagerung
- Store at -20 °C. Stable for 12 months from date of receipt.
-
Haltbarkeit
- 12 months
-
-
- ETFDH (Electron-Transferring-Flavoprotein Dehydrogenase (ETFDH))
-
Andere Bezeichnung
- ETFDH
-
Hintergrund
-
Description: Accepts electrons from ETF and reduces ubiquinone.
Gene: ETFDH
-
Molekulargewicht
- 64 kDa
-
Gen-ID
- 2110
-
UniProt
- Q16134
-
Pathways
- Monocarboxylic Acid Catabolic Process
Target
-