Telefon:
+49 (0)241 95 163 153
Fax:
+49 (0)241 95 163 155
E-Mail:
orders@antikoerper-online.de

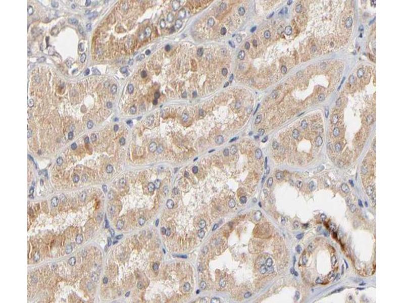
Claudin 2 Antikörper (C-Term)

Dieser Kaninchen Polyklonal Antikörper detektiert spezifisch Claudin 2 in WB, IHC, ELISA, IF und ICC. Es zeigt Reaktivität gegenüber Proben von Human, Maus und Ratte.
Produktnummer ABIN6260864
525,71 €
Zzgl. Versandkosten 20,00 € und MwSt
Lieferung nach: Deutschland
Lieferung in 9 bis 11 Werktagen

Kurzübersicht für Claudin 2 Antikörper (C-Term) (ABIN6260864)

Target

Alle Claudin 2 (CLDN2) Antikörper anzeigen
Claudin 2 (CLDN2)

Reaktivität

  • 84
  • 21
  • 16
  • 8
  • 4
  • 3
  • 2
  • 2
  • 2
  • 1
  • 1
  • 1
Human, Maus, Ratte

Wirt

  • 82
  • 5
Kaninchen

Klonalität

  • 80
  • 7
Polyklonal

Konjugat

  • 43
  • 7
  • 7
  • 7
  • 6
  • 5
  • 2
  • 2
  • 2
  • 2
  • 2
  • 2
Dieser Claudin 2 Antikörper ist unkonjugiert

Applikation

  • 61
  • 48
  • 40
  • 23
  • 10
  • 7
  • 7
  • 5
  • 2
  • 1
Western Blotting (WB), Immunohistochemistry (IHC), ELISA, Immunofluorescence (IF), Immunocytochemistry (ICC)
  • Bindungsspezifität

    • 15
    • 10
    • 9
    • 8
    • 7
    • 7
    • 4
    • 3
    • 3
    • 3
    • 3
    • 2
    • 2
    • 2
    • 1
    • 1
    • 1
    • 1
    • 1
    • 1
    • 1
    C-Term

    Spezifität

    Claudin 2 Antibody detects endogenous levels of total Claudin 2.

    Homologie

    Pig,Bovine,Horse,Sheep,Rabbit,Dog

    Aufreinigung

    The antiserum was purified by peptide affinity chromatography using SulfoLinkTM Coupling Resin (Thermo Fisher Scientific).

    Immunogen

    A synthesized peptide derived from human Claudin 2, corresponding to a region within C-terminal amino acids.

    Isotyp

    IgG
  • Applikationshinweise

    WB: 1:500-1:3000, IHC: 1:50-1:200, IF/ICC 1:200, ELISA(peptide) 1:20000-1:40000

    Beschränkungen

    Nur für Forschungszwecke einsetzbar
  • Format

    Liquid

    Konzentration

    1 mg/mL

    Buffer

    Rabbit IgG in phosphate buffered saline , pH 7.4, 150 mM NaCl, sodium azide and glycerol.

    Konservierungsmittel

    Sodium azide

    Vorsichtsmaßnahmen

    This product contains Sodium azide: a POISONOUS AND HAZARDOUS SUBSTANCE which should be handled by trained staff only.

    Lagerung

    -20 °C

    Informationen zur Lagerung

    Store at -20 °C. Stable for 12 months from date of receipt.

    Haltbarkeit

    12 months
  • Target

    Claudin 2 (CLDN2)

    Andere Bezeichnung

    CLDN2

    Hintergrund

    Description: Plays a major role in tight junction-specific obliteration of the intercellular space, through calcium-independent cell-adhesion activity.

    Gene: CLDN2

    Molekulargewicht

    25kDa

    Gen-ID

    9075

    UniProt

    P57739

    Pathways

    Hepatitis C
Sie sind hier:
Chat with us!