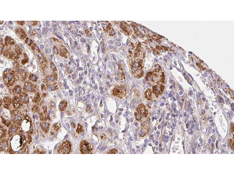
CHRNG Antikörper (N-Term)
Kurzübersicht für CHRNG Antikörper (N-Term) (ABIN6260828)
Target
Alle CHRNG Antikörper anzeigenReaktivität
Wirt
Klonalität
Konjugat
Applikation
-
-
Bindungsspezifität
- N-Term
-
Spezifität
- CHRNG Antibody detects endogenous levels of total CHRNG.
-
Homologie
- Pig,Bovine,Horse,Sheep,Rabbit,Dog
-
Aufreinigung
- The antiserum was purified by peptide affinity chromatography using SulfoLinkTM Coupling Resin (Thermo Fisher Scientific).
-
Immunogen
- A synthesized peptide derived from human CHRNG, corresponding to a region within N-terminal amino acids.
-
Isotyp
- IgG
-
-
-
-
Applikationshinweise
- WB 1:1000-3000, IHC 1:200, ELISA(peptide) 1:20000-1:40000
-
Beschränkungen
- Nur für Forschungszwecke einsetzbar
-
-
-
Format
- Liquid
-
Konzentration
- 1 mg/mL
-
Buffer
- Rabbit IgG in phosphate buffered saline , pH 7.4, 150 mM NaCl, 0.02 % sodium azide and 50 % glycerol.
-
Konservierungsmittel
- Sodium azide
-
Vorsichtsmaßnahmen
- This product contains Sodium azide: a POISONOUS AND HAZARDOUS SUBSTANCE which should be handled by trained staff only.
-
Lagerung
- -20 °C
-
Informationen zur Lagerung
- Store at -20 °C. Stable for 12 months from date of receipt.
-
Haltbarkeit
- 12 months
-
-
- CHRNG (Cholinergic Receptor, Nicotinic, gamma (CHRNG))
-
Andere Bezeichnung
- CHRNG
-
Hintergrund
-
Description: After binding acetylcholine, the AChR responds by an extensive change in conformation that affects all subunits and leads to opening of an ion-conducting channel across the plasma membrane.
Gene: CHRNG
-
Molekulargewicht
- 58 kDa
-
Gen-ID
- 1146
-
UniProt
- P07510
Target
-