CARD8 Antikörper
Kurzübersicht für CARD8 Antikörper (ABIN6260461)
Target
Alle CARD8 Antikörper anzeigenReaktivität
Wirt
Klonalität
Konjugat
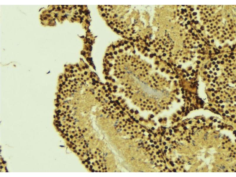
Applikation
-
-
Spezifität
- CARD8 Antibody detects endogenous levels of total CARD8
-
Kreuzreaktivität
- Human, Maus
-
Aufreinigung
- The antiserum was purified by peptide affinity chromatography using SulfoLinkTM Coupling Resin (Thermo Fisher Scientific).
-
Immunogen
- A synthesized peptide derived from human CARD8
-
Isotyp
- IgG
-
-
-
-
Applikationshinweise
- WB 1:500-1:2000 IHC 1:50-1:200
-
Beschränkungen
- Nur für Forschungszwecke einsetzbar
-
-
-
Format
- Liquid
-
Konzentration
- 1 mg/mL
-
Buffer
- Rabbit IgG in phosphate buffered saline , pH 7.4, 150 mM NaCl, 0.02 % sodium azide and 50 % glycerol.
-
Konservierungsmittel
- Sodium azide
-
Vorsichtsmaßnahmen
- This product contains Sodium azide: a POISONOUS AND HAZARDOUS SUBSTANCE which should be handled by trained staff only.
-
Lagerung
- -20 °C
-
Informationen zur Lagerung
- Store at -20 °C.Stable for 12 months from date of receipt
-
Haltbarkeit
- 12 months
-
-
- CARD8 (Caspase Recruitment Domain Family, Member 8 (CARD8))
-
Andere Bezeichnung
- CARD8
-
Hintergrund
-
Description: Inhibits NF-kappa-B activation. May participate in a regulatory mechanism that coordinates cellular responses controlled by NF-kappa-B transcription factor. May be a component of the inflammasome, a protein complex which also includes PYCARD, NALP2 and CASP1 and whose function would be the activation of proinflammatory caspases.
Gene: CARD8
-
Molekulargewicht
- 49kDa
-
Gen-ID
- 22900
-
UniProt
- Q9Y2G2
-
Pathways
- Positive Regulation of Endopeptidase Activity
Target
-