Telefon:
+49 (0)241 95 163 153
Fax:
+49 (0)241 95 163 155
E-Mail:
orders@antikoerper-online.de

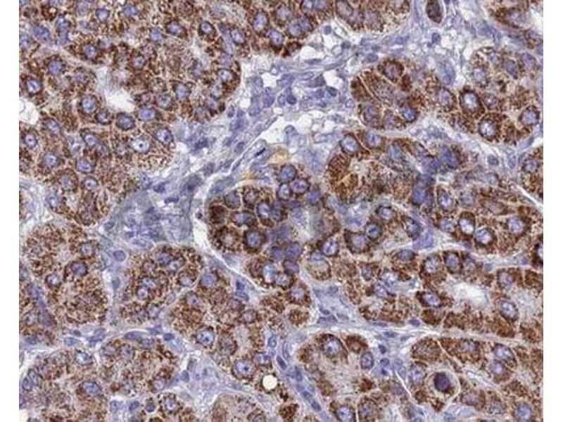
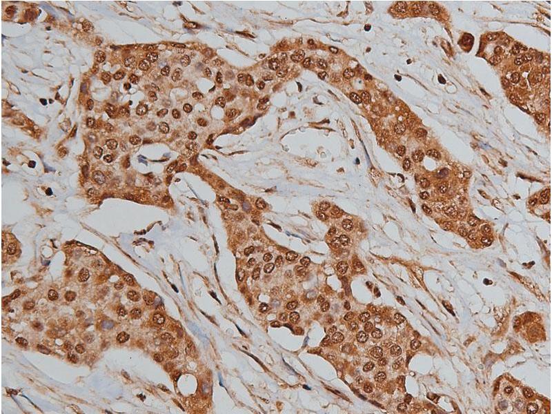
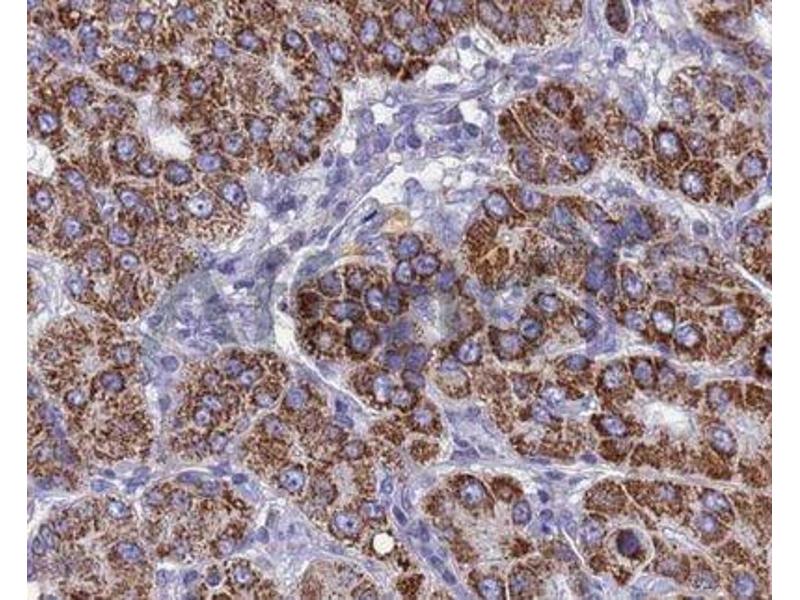
BMP3 Antikörper (Internal Region)

Dieser Kaninchen Polyklonal Antikörper detektiert spezifisch BMP3 in WB, IHC, ELISA, ICC und IF. Es zeigt Reaktivität gegenüber Proben von Human, Ratte und Maus.
Produktnummer ABIN6260282
525,71 €
Zzgl. Versandkosten 20,00 € und MwSt
Lieferung nach: Deutschland
Lieferung in 9 bis 11 Werktagen

Kurzübersicht für BMP3 Antikörper (Internal Region) (ABIN6260282)

Target

Alle BMP3 Antikörper anzeigen
BMP3 (Bone Morphogenetic Protein 3 (BMP3))

Reaktivität

  • 57
  • 12
  • 11
  • 7
  • 2
  • 2
  • 1
  • 1
  • 1
Human, Ratte, Maus

Wirt

  • 55
  • 10
  • 1
Kaninchen

Klonalität

  • 57
  • 9
Polyklonal

Konjugat

  • 42
  • 5
  • 5
  • 4
  • 2
  • 2
  • 1
  • 1
  • 1
  • 1
  • 1
  • 1
Dieser BMP3 Antikörper ist unkonjugiert

Applikation

  • 53
  • 37
  • 28
  • 12
  • 12
  • 4
  • 2
  • 1
  • 1
Western Blotting (WB), Immunohistochemistry (IHC), ELISA, Immunocytochemistry (ICC), Immunofluorescence (IF)
  • Bindungsspezifität

    • 8
    • 8
    • 6
    • 5
    • 5
    • 4
    • 3
    • 3
    • 2
    • 2
    • 1
    • 1
    • 1
    • 1
    • 1
    • 1
    • 1
    • 1
    • 1
    Internal Region

    Spezifität

    BMP3 Antibody detects endogenous levels of total BMP3.

    Homologie

    Bovine,Sheep

    Aufreinigung

    The antiserum was purified by peptide affinity chromatography using SulfoLinkTM Coupling Resin (Thermo Fisher Scientific).

    Immunogen

    A synthesized peptide derived from human BMP3, corresponding to a region within the internal amino acids.

    Isotyp

    IgG
  • Applikationshinweise

    WB 1:500-1:2000, IHC 1:50-1:200, IF/ICC 1:100-1:500, ELISA(peptide) 1:20000-1:40000

    Beschränkungen

    Nur für Forschungszwecke einsetzbar
  • Format

    Liquid

    Konzentration

    1 mg/mL

    Buffer

    Rabbit IgG in phosphate buffered saline , pH 7.4, 150 mM NaCl, 0.02 % sodium azide and 50 % glycerol.

    Konservierungsmittel

    Sodium azide

    Vorsichtsmaßnahmen

    This product contains Sodium azide: a POISONOUS AND HAZARDOUS SUBSTANCE which should be handled by trained staff only.

    Lagerung

    -20 °C

    Informationen zur Lagerung

    Store at -20 °C. Stable for 12 months from date of receipt.

    Haltbarkeit

    12 months
  • Target

    BMP3 (Bone Morphogenetic Protein 3 (BMP3))

    Andere Bezeichnung

    BMP3

    Hintergrund

    Description: Negatively regulates bone density. Antagonizes the ability of certain osteogenic BMPs to induce osteoprogenitor differentitation and ossification.

    Gene: BMP3

    Molekulargewicht

    53 kDa

    Gen-ID

    651

    UniProt

    P12645
Sie sind hier:
Chat with us!