FREM2 Antikörper (Internal Region)
Kurzübersicht für FREM2 Antikörper (Internal Region) (ABIN625946)
Target
Alle FREM2 Antikörper anzeigenReaktivität
Wirt
Klonalität
Konjugat
Applikation
-
-
Bindungsspezifität
- Internal Region
-
Aufreinigung
- Immunoaffinity purified
-
Isotyp
- IgG
-
-
-
-
Applikationshinweise
-
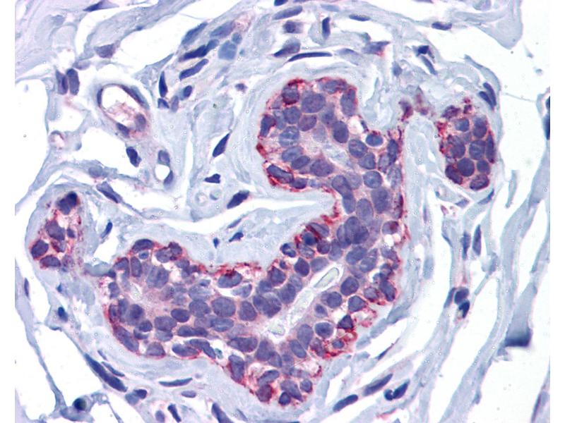
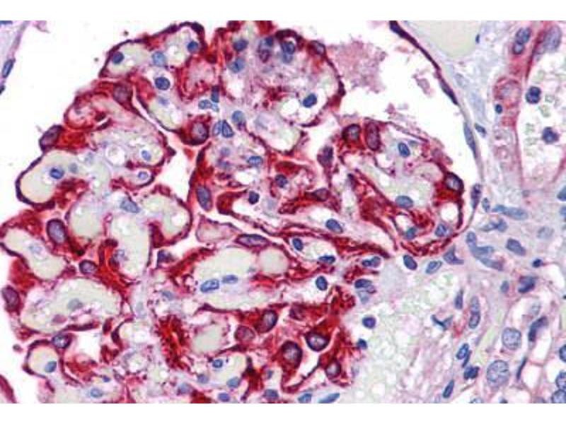
Approved: ELISA, ICC, IHC, IHC-P (5 μg/mL), WB
Usage: FREM2 antibody was raised against a 19 amino acid peptide near the center of human FREM2. -
Kommentare
-
Target Species of Antibody: Human
-
Beschränkungen
- Nur für Forschungszwecke einsetzbar
-
-
-
Format
- Liquid
-
Konzentration
- Lot specific
-
Buffer
- PBS, 0.02 % sodium azide
-
Konservierungsmittel
- Sodium azide
-
Vorsichtsmaßnahmen
- This product contains Sodium azide: a POISONOUS AND HAZARDOUS SUBSTANCE which should be handled by trained staff only.
-
Handhabung
- avoid freeze thaw cycles. Store undiluted.
-
Lagerung
- 4 °C,-20 °C
-
Informationen zur Lagerung
- Store at 4°C for 3 months and -20°C, stable for up to 1 year. Avoid repeated freeze-thaw cycles.
-
Haltbarkeit
- 12 months
-
-
- FREM2 (Fras1 Related Extracellular Matrix Protein 2 (FREM2))
-
Andere Bezeichnung
- FREM2
-
Hintergrund
-
Name/Gene ID: FREM2
Synonyms: FREM2, ECM3 homolog -
Gen-ID
- 341640
-
UniProt
- Q5SZK8
Target
-