CGREF1 Antikörper (C-Term)
Kurzübersicht für CGREF1 Antikörper (C-Term) (ABIN6258752)
Target
Alle CGREF1 Antikörper anzeigenReaktivität
Wirt
Klonalität
Konjugat
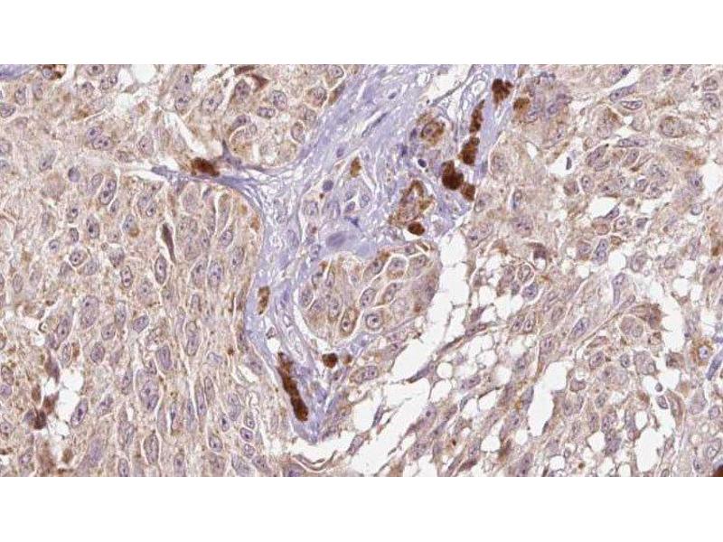
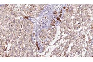
Applikation
-
-
Bindungsspezifität
- C-Term
-
Spezifität
- CGREF1 Antibody detects endogenous levels of total CGREF1.
-
Aufreinigung
- The antiserum was purified by peptide affinity chromatography using SulfoLinkTM Coupling Resin (Thermo Fisher Scientific).
-
Immunogen
- A synthesized peptide derived from human CGREF1, corresponding to a region within C-terminal amino acids.
-
Isotyp
- IgG
-
-
-
-
Applikationshinweise
- WB 1:500-1:1000, IHC: 1:50-1:200, IF/ICC 1:100-1:500, ELISA(peptide) 1:20000-1:40000
-
Beschränkungen
- Nur für Forschungszwecke einsetzbar
-
-
-
Format
- Liquid
-
Konzentration
- 1 mg/mL
-
Buffer
- Rabbit IgG in phosphate buffered saline , pH 7.4, 150 mM NaCl, 0.02 % sodium azide and 50 % glycerol.
-
Konservierungsmittel
- Sodium azide
-
Vorsichtsmaßnahmen
- This product contains Sodium azide: a POISONOUS AND HAZARDOUS SUBSTANCE which should be handled by trained staff only.
-
Lagerung
- -20 °C
-
Informationen zur Lagerung
- Store at -20 °C. Stable for 12 months from date of receipt.
-
Haltbarkeit
- 12 months
-
-
- CGREF1 (Cell Growth Regulator with EF-Hand Domain 1 (CGREF1))
-
Andere Bezeichnung
- CGREF1
-
Hintergrund
-
Description: Mediates cell-cell adhesion in a calcium-dependent manner (By similarity). Able to inhibit growth in several cell lines.
Gene: CGREF1
-
Molekulargewicht
- 31 kDa
-
Gen-ID
- 10669
-
UniProt
- Q99674
Target
-