Telefon:
+49 (0)241 95 163 153
Fax:
+49 (0)241 95 163 155
E-Mail:
orders@antikoerper-online.de

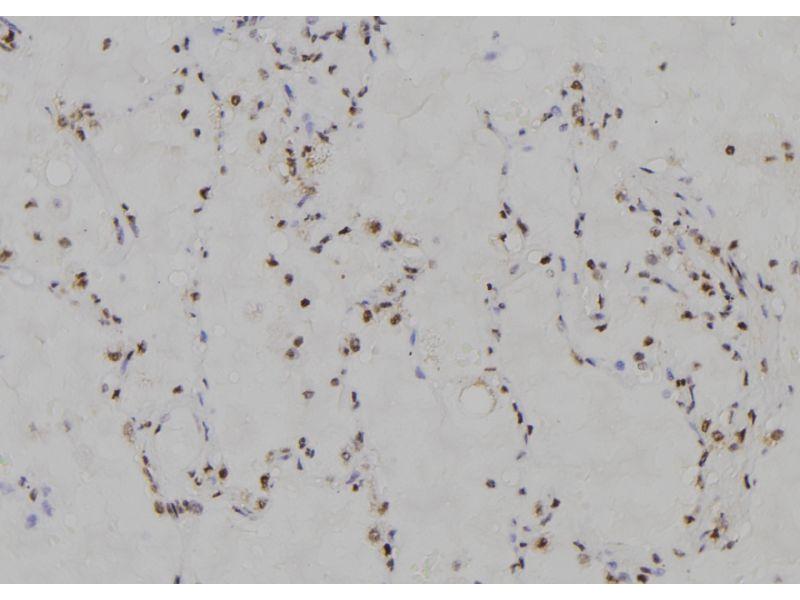
MZF1 Antikörper (N-Term)

Der Kaninchen Polyklonal anti-MZF1 Antikörper (ABIN6257344) detektiert spezifisch MZF1 in WB, ELISA, IHC, IF und ICC. Dieser Antikörper reagiert spezifisch mit Proben aus Human, Ratte und Maus.
Produktnummer ABIN6257344
525,71 €
Zzgl. Versandkosten 20,00 € und MwSt
Lieferung nach: Deutschland
Lieferung in 9 bis 11 Werktagen

Kurzübersicht für MZF1 Antikörper (N-Term) (ABIN6257344)

Target

MZF1 (Myeloid Zinc Finger 1 (MZF1))

Reaktivität

  • 22
  • 2
  • 1
  • 1
  • 1
Human, Ratte, Maus

Wirt

  • 18
  • 4
Kaninchen

Klonalität

  • 20
  • 2
Polyklonal

Konjugat

  • 12
  • 2
  • 1
  • 1
  • 1
  • 1
  • 1
  • 1
  • 1
  • 1
Dieser MZF1 Antikörper ist unkonjugiert

Applikation

  • 12
  • 9
  • 6
  • 3
  • 1
  • 1
  • 1
Western Blotting (WB), ELISA, Immunohistochemistry (IHC), Immunofluorescence (IF), Immunocytochemistry (ICC)
  • Bindungsspezifität

    • 5
    • 5
    • 2
    • 1
    • 1
    • 1
    N-Term

    Spezifität

    MZF-1 Antibody detects endogenous levels of total MZF-1.

    Homologie

    Pig,Horse,Dog

    Aufreinigung

    The antiserum was purified by peptide affinity chromatography using SulfoLinkTM Coupling Resin (Thermo Fisher Scientific).

    Immunogen

    A synthesized peptide derived from human MZF-1, corresponding to a region within N-terminal amino acids.

    Isotyp

    IgG
  • Applikationshinweise

    WB 1:500-1:1000, IHC: 1:50-1:200, IF/ICC 1:100-1:500, ELISA(peptide) 1:20000-1:40000

    Beschränkungen

    Nur für Forschungszwecke einsetzbar
  • Format

    Liquid

    Konzentration

    1 mg/mL

    Buffer

    Rabbit IgG in phosphate buffered saline , pH 7.4, 150 mM NaCl, 0.02 % sodium azide and 50 % glycerol.

    Konservierungsmittel

    Sodium azide

    Vorsichtsmaßnahmen

    This product contains Sodium azide: a POISONOUS AND HAZARDOUS SUBSTANCE which should be handled by trained staff only.

    Lagerung

    -20 °C

    Informationen zur Lagerung

    Store at -20 °C. Stable for 12 months from date of receipt.

    Haltbarkeit

    12 months
  • Target

    MZF1 (Myeloid Zinc Finger 1 (MZF1))

    Andere Bezeichnung

    MZF1

    Hintergrund

    Description: Binds to target promoter DNA and functions as transcription regulator. Regulates transcription from the PADI1 and CDH2 promoter. May be one regulator of transcriptional events during hemopoietic development.

    Gene: MZF1

    Molekulargewicht

    82 kDa

    Gen-ID

    7593

    UniProt

    P28698
Sie sind hier:
Chat with us!