Telefon:
+49 (0)241 95 163 153
Fax:
+49 (0)241 95 163 155
E-Mail:
orders@antikoerper-online.de

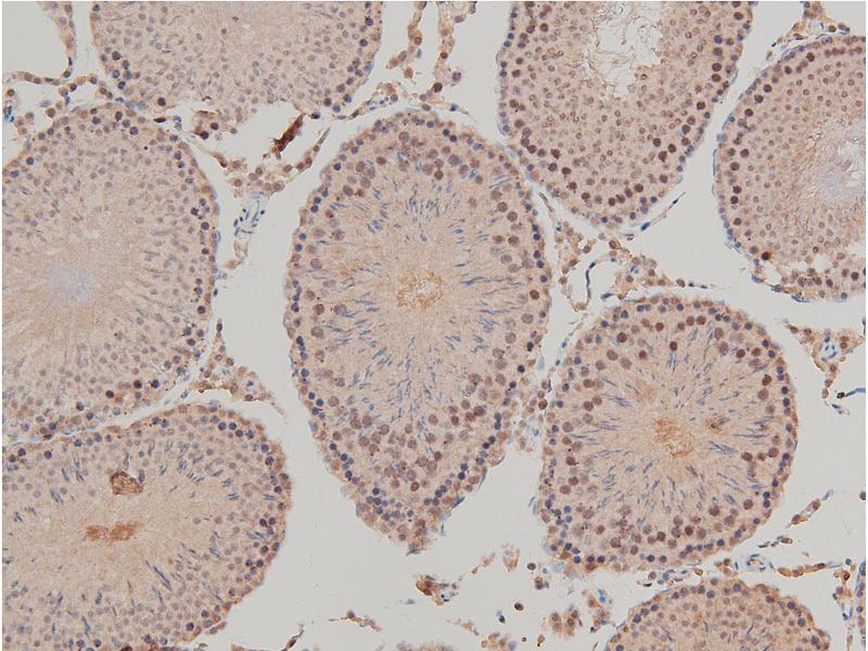
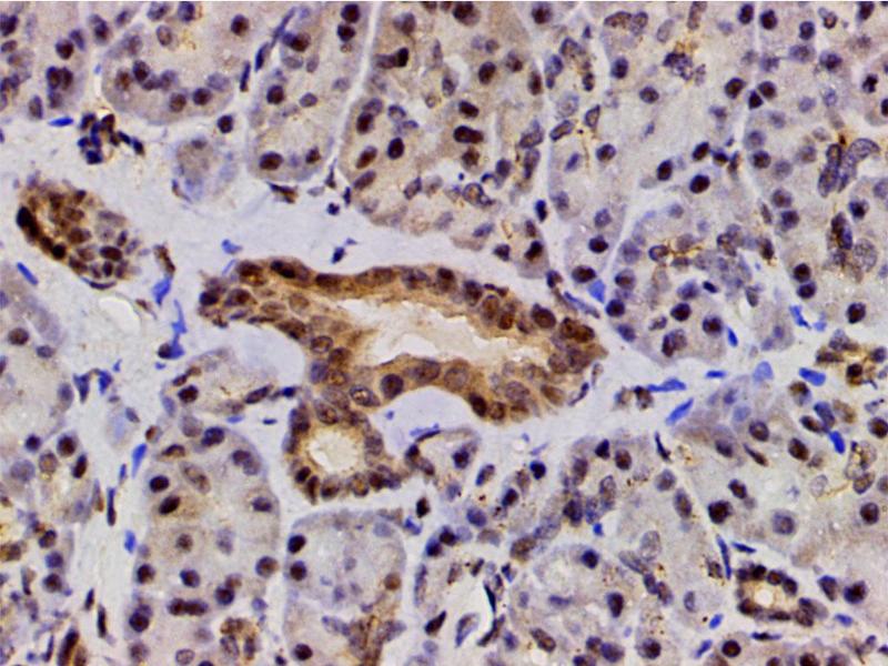
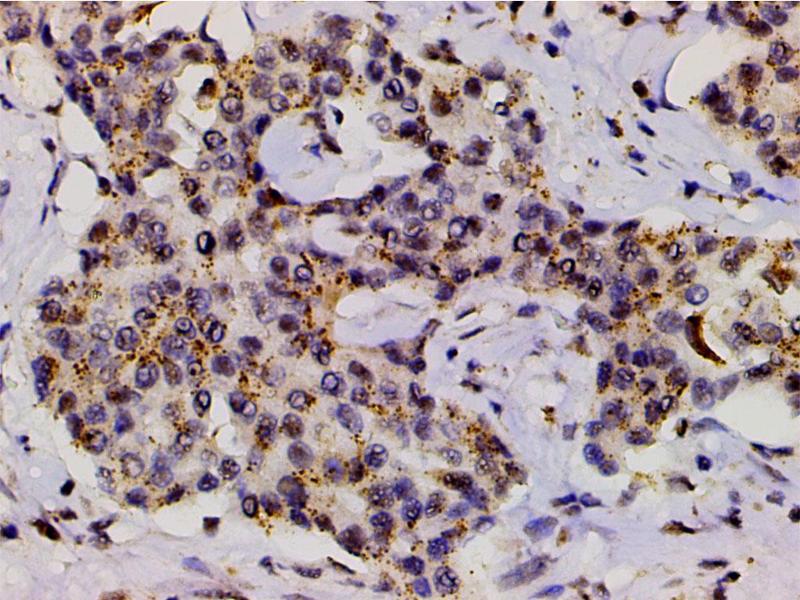
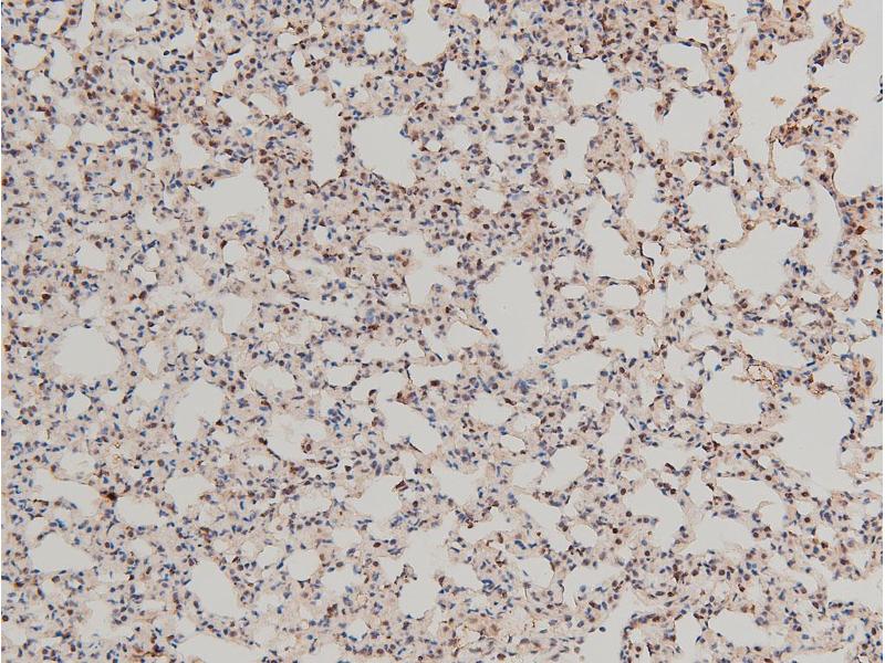
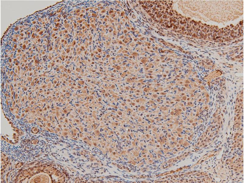
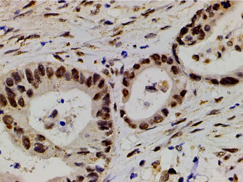
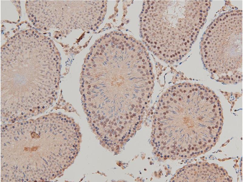
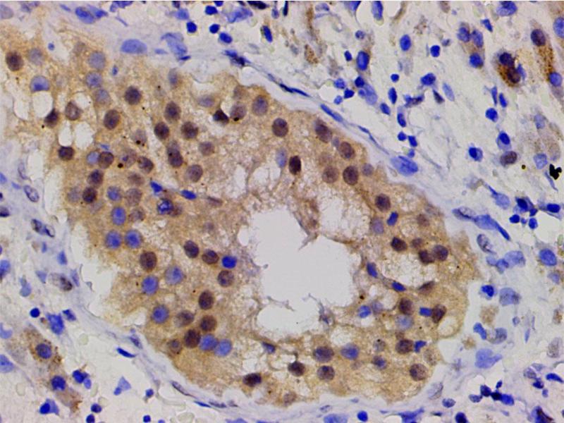
LIM Domain Kinase 1 Antikörper (pThr508)

Dieser Kaninchen Polyklonal Antikörper detektiert spezifisch LIM Domain Kinase 1 in WB, ELISA, IHC, IF und ICC. Es zeigt Reaktivität gegenüber Proben von Human, Maus und Ratte.
Produktnummer ABIN6255701
525,71 €
Zzgl. Versandkosten 20,00 € und MwSt
Lieferung nach: Deutschland
Lieferung in 9 bis 11 Werktagen

Kurzübersicht für LIM Domain Kinase 1 Antikörper (pThr508) (ABIN6255701)

Target

Alle LIM Domain Kinase 1 (LIMK1) Antikörper anzeigen
LIM Domain Kinase 1 (LIMK1)

Reaktivität

  • 109
  • 78
  • 72
  • 2
  • 2
  • 1
  • 1
  • 1
  • 1
  • 1
Human, Maus, Ratte

Wirt

  • 103
  • 21
  • 3
Kaninchen

Klonalität

  • 105
  • 22
Polyklonal

Konjugat

  • 61
  • 9
  • 8
  • 5
  • 3
  • 3
  • 3
  • 3
  • 3
  • 3
  • 2
  • 2
  • 2
  • 2
  • 2
  • 2
  • 2
  • 2
  • 2
  • 2
  • 2
  • 2
  • 2
Dieser LIM Domain Kinase 1 Antikörper ist unkonjugiert

Applikation

  • 91
  • 47
  • 29
  • 26
  • 26
  • 16
  • 16
  • 8
  • 7
  • 6
  • 6
  • 2
  • 1
  • 1
Western Blotting (WB), ELISA, Immunohistochemistry (IHC), Immunofluorescence (IF), Immunocytochemistry (ICC)
  • Bindungsspezifität

    • 23
    • 15
    • 15
    • 8
    • 7
    • 7
    • 6
    • 5
    • 4
    • 3
    • 3
    • 3
    • 3
    • 3
    • 2
    • 2
    • 2
    • 1
    • 1
    • 1
    • 1
    • 1
    • 1
    • 1
    • 1
    • 1
    • 1
    • 1
    • 1
    • 1
    pThr508

    Spezifität

    Phospho-LIMK1 (Thr508) Antibody detects endogenous levels of LIMK1 only when phosphorylated at Threonine 508.

    Homologie

    Pig,Bovine,Horse,Sheep,Rabbit,Dog,Chicken,Xenopus

    Aufreinigung

    The antibody is from purified rabbit serum by affinity purification via sequential chromatography on phospho- and non-phospho-peptide affinity columns.

    Immunogen

    A synthesized peptide derived from human LIMK1 around the phosphorylation site of Thr508.

    Isotyp

    IgG
  • Applikationshinweise

    WB 1:500-1:2000, IHC 1:50-1:200, IF/ICC 1:100-500, ELISA(peptide) 1:20000-1:40000

    Beschränkungen

    Nur für Forschungszwecke einsetzbar
  • Format

    Liquid

    Konzentration

    1 mg/mL

    Buffer

    Rabbit IgG in phosphate buffered saline , pH 7.4, 150 mM NaCl, 0.02 % sodium azide and 50 % glycerol.

    Konservierungsmittel

    Sodium azide

    Vorsichtsmaßnahmen

    This product contains Sodium azide: a POISONOUS AND HAZARDOUS SUBSTANCE which should be handled by trained staff only.

    Lagerung

    -20 °C

    Informationen zur Lagerung

    Store at -20 °C. Stable for 12 months from date of receipt.

    Haltbarkeit

    12 months
  • Target

    LIM Domain Kinase 1 (LIMK1)

    Andere Bezeichnung

    LIMK1

    Hintergrund

    Description: Serine/threonine-protein kinase that plays an essential role in the regulation of actin filament dynamics. Acts downstream of several Rho family GTPase signal transduction pathways. Activated by upstream kinases including ROCK1, PAK1 and PAK4, which phosphorylate LIMK1 on a threonine residue located in its activation loop. LIMK1 subsequently phosphorylates and inactivates the actin binding/depolymerizing factors cofilin-1/CFL1, cofilin-2/CFL2 and destrin/DSTN, thereby preventing the cleavage of filamentous actin (F-actin), and stabilizing the actin cytoskeleton. In this way LIMK1 regulates several actin-dependent biological processes including cell motility, cell cycle progression, and differentiation. Phosphorylates TPPP on serine residues, thereby promoting microtubule disassembly. Stimulates axonal outgrowth and may be involved in brain development. Isoform 3 has a dominant negative effect on actin cytoskeletal changes. Required for atypical chemokine receptor ACKR2-induced phosphorylation of cofilin (CFL1).

    Gene: LIMK1

    Molekulargewicht

    70kDa

    Gen-ID

    3984

    UniProt

    P53667

    Pathways

    Caspase Kaskade in der Apoptose, Regulation of Cell Size, CXCR4-mediated Signaling Events
Sie sind hier:
Chat with us!