Telefon:
+49 (0)241 95 163 153
Fax:
+49 (0)241 95 163 155
E-Mail:
orders@antikoerper-online.de

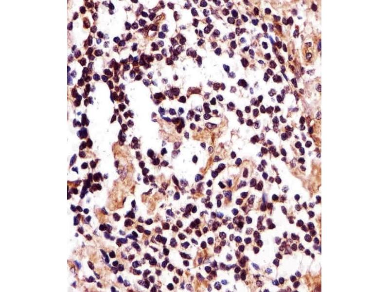
IZUMO2 Antikörper (AA 90-124)

Der Kaninchen Polyklonal anti-IZUMO2 Antikörper wird verwendet zum Nachweis von IZUMO2 in Proben von Human. Er wurde validiert für WB und IHC (p).
Produktnummer ABIN6244206
434,77 €
Zzgl. Versandkosten 20,00 € und MwSt
Lieferung nach: Deutschland
Lieferung in 14 bis 17 Werktagen

Kurzübersicht für IZUMO2 Antikörper (AA 90-124) (ABIN6244206)

Target

IZUMO2 (IZUMO Family Member 2 (IZUMO2))

Reaktivität

Human

Wirt

  • 3
Kaninchen

Klonalität

  • 3
Polyklonal

Konjugat

  • 3
Dieser IZUMO2 Antikörper ist unkonjugiert

Applikation

Western Blotting (WB), Immunohistochemistry (Paraffin-embedded Sections) (IHC (p))

Klon

RB47539
  • Bindungsspezifität

    • 1
    • 1
    AA 90-124

    Aufreinigung

    This antibody is purified through a protein A column, followed by peptide affinity purification.

    Immunogen

    This IZUMO2 antibody is generated from a rabbit immunized with a KLH conjugated synthetic peptide between 90-124 amino acids from the Central region of human IZUMO2.

    Isotyp

    IgG
  • Applikationshinweise

    WB: 1:1000. IHC-P: 1:25

    Beschränkungen

    Nur für Forschungszwecke einsetzbar
  • Format

    Liquid

    Buffer

    Purified polyclonal antibody supplied in PBS with 0.09 % (W/V) sodium azide.

    Konservierungsmittel

    Sodium azide

    Vorsichtsmaßnahmen

    This product contains Sodium azide: a POISONOUS AND HAZARDOUS SUBSTANCE which should be handled by trained staff only.

    Lagerung

    4 °C,-20 °C

    Haltbarkeit

    6 months
  • Target

    IZUMO2 (IZUMO Family Member 2 (IZUMO2))

    Andere Bezeichnung

    IZUMO2

    Molekulargewicht

    24856

    UniProt

    Q6UXV1
Sie sind hier:
Chat with us!