Telefon:
+49 (0)241 95 163 153
Fax:
+49 (0)241 95 163 155
E-Mail:
orders@antikoerper-online.de

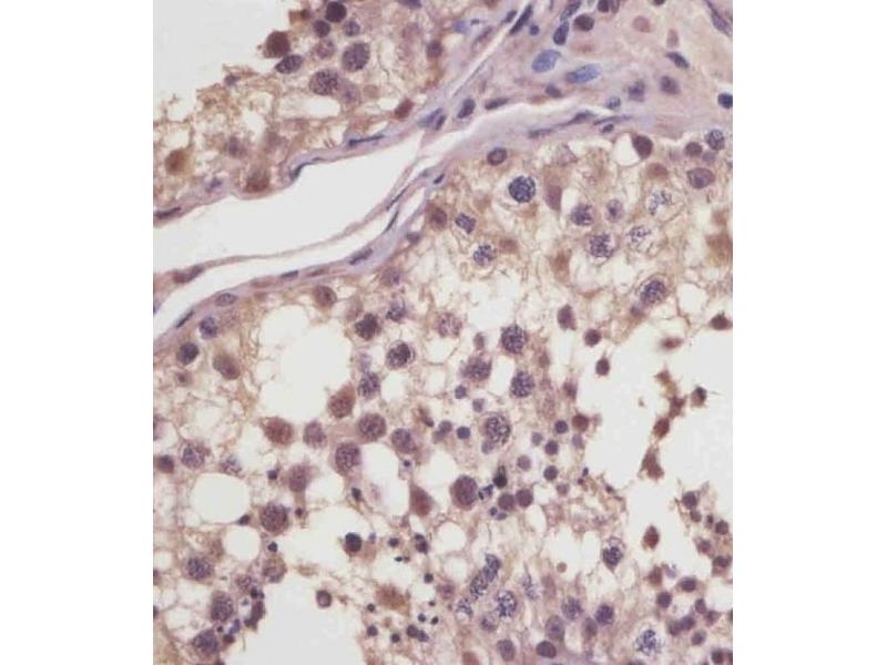
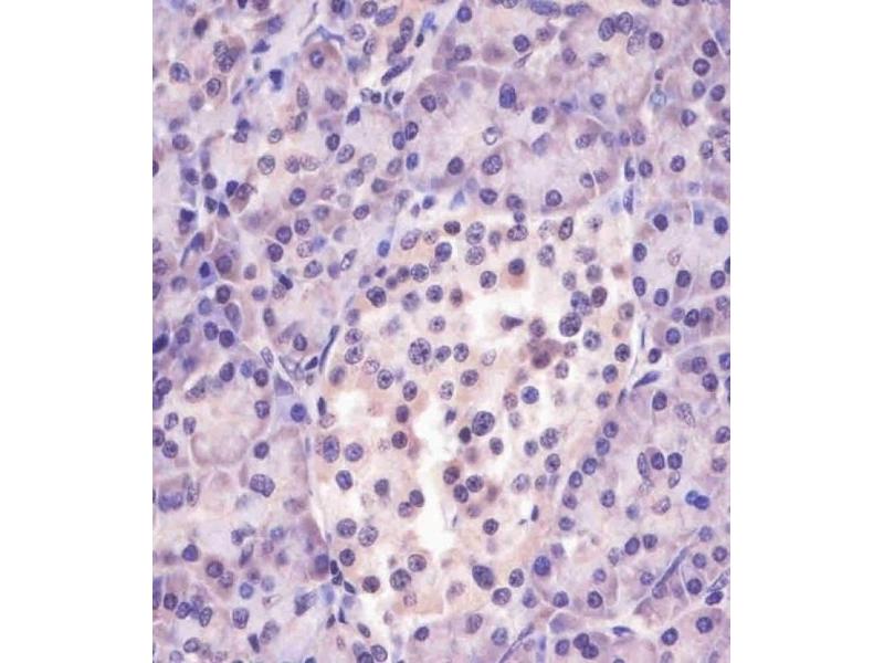
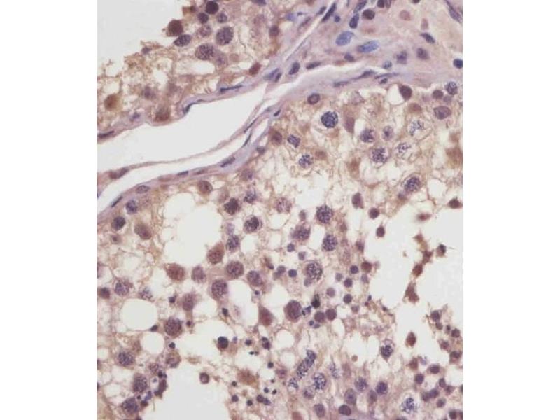
MGEA5 Antikörper (AA 236-269)

Dieser Kaninchen Polyklonal Antikörper detektiert spezifisch MGEA5 in WB, FACS und IHC (p). Es zeigt Reaktivität gegenüber Proben von Human.
Produktnummer ABIN6244040
434,77 €
Zzgl. Versandkosten 20,00 € und MwSt
Lieferung nach: Deutschland
Lieferung in 14 bis 17 Werktagen

Kurzübersicht für MGEA5 Antikörper (AA 236-269) (ABIN6244040)

Target

Alle MGEA5 Antikörper anzeigen
MGEA5 (Meningioma Expressed Antigen 5 (Hyaluronidase) (MGEA5))

Reaktivität

  • 63
  • 47
  • 31
  • 6
  • 1
  • 1
  • 1
  • 1
  • 1
  • 1
Human

Wirt

  • 82
  • 4
Kaninchen

Klonalität

  • 65
  • 21
Polyklonal

Konjugat

  • 35
  • 17
  • 4
  • 3
  • 3
  • 3
  • 3
  • 3
  • 3
  • 1
  • 1
  • 1
  • 1
  • 1
  • 1
  • 1
  • 1
  • 1
  • 1
  • 1
  • 1
Dieser MGEA5 Antikörper ist unkonjugiert

Applikation

  • 58
  • 31
  • 27
  • 14
  • 11
  • 9
  • 8
  • 4
  • 4
  • 3
  • 2
  • 2
  • 2
  • 2
  • 1
  • 1
  • 1
  • 1
Western Blotting (WB), Flow Cytometry (FACS), Immunohistochemistry (Paraffin-embedded Sections) (IHC (p))

Klon

RB57955
Sie sind hier:
Chat with us!