Telefon:
+49 (0)241 95 163 153
Fax:
+49 (0)241 95 163 155
E-Mail:
orders@antikoerper-online.de

APIP Antikörper (AA 111-142)

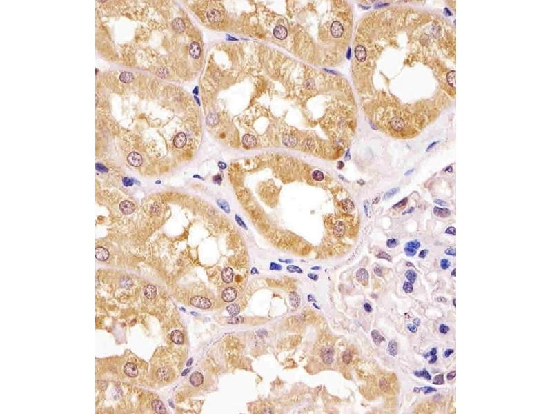
Dieser Kaninchen Polyklonal Antikörper detektiert spezifisch APIP in WB und IHC (p). Es zeigt Reaktivität gegenüber Proben von Human.
Produktnummer ABIN6243533
434,77 €
Zzgl. Versandkosten 20,00 € und MwSt
Lieferung nach: Deutschland
Lieferung in 14 bis 17 Werktagen

Kurzübersicht für APIP Antikörper (AA 111-142) (ABIN6243533)

Target

Alle APIP Antikörper anzeigen
APIP (APAF1 Interacting Protein (APIP))

Reaktivität

  • 34
  • 14
  • 6
  • 4
  • 4
  • 4
  • 4
  • 3
  • 3
  • 2
  • 2
  • 2
  • 2
  • 2
  • 2
Human

Wirt

  • 32
  • 2
Kaninchen

Klonalität

  • 32
  • 2
Polyklonal

Konjugat

  • 12
  • 2
  • 1
  • 1
  • 1
  • 1
  • 1
  • 1
  • 1
  • 1
  • 1
  • 1
  • 1
  • 1
  • 1
  • 1
  • 1
  • 1
  • 1
  • 1
  • 1
  • 1
Dieser APIP Antikörper ist unkonjugiert

Applikation

  • 13
  • 13
  • 12
  • 7
  • 4
  • 4
  • 3
  • 1
Western Blotting (WB), Immunohistochemistry (Paraffin-embedded Sections) (IHC (p))

Klon

RB55049
  • Bindungsspezifität

    • 15
    • 2
    • 2
    • 1
    • 1
    • 1
    AA 111-142

    Aufreinigung

    This antibody is purified through a protein A column, followed by peptide affinity purification.

    Immunogen

    This APIP antibody is generated from a rabbit immunized with a KLH conjugated synthetic peptide between 111-142 amino acids from the Central region of human APIP.

    Isotyp

    Ig Fraction
  • Applikationshinweise

    WB: 1:2000. IHC-P: 1:25

    Beschränkungen

    Nur für Forschungszwecke einsetzbar
  • Format

    Liquid

    Buffer

    Purified polyclonal antibody supplied in PBS with 0.09 % (W/V) sodium azide.

    Konservierungsmittel

    Sodium azide

    Vorsichtsmaßnahmen

    This product contains Sodium azide: a POISONOUS AND HAZARDOUS SUBSTANCE which should be handled by trained staff only.

    Lagerung

    4 °C,-20 °C

    Haltbarkeit

    6 months
  • Target

    APIP (APAF1 Interacting Protein (APIP))

    Andere Bezeichnung

    APIP

    Hintergrund

    Catalyzes the dehydration of methylthioribulose-1- phosphate (MTRu-1-P) into 2,3-diketo-5-methylthiopentyl-1- phosphate (DK-MTP-1-P). Functions in the methionine salvage pathway, which plays a key role in cancer, apoptosis, microbial proliferation and inflammation. May inhibit the CASP1-related inflammatory response (pyroptosis), the CASP9-dependent apoptotic pathway and the cytochrome c-dependent and APAF1-mediated cell death.

    Molekulargewicht

    27125

    UniProt

    Q96GX9

    Pathways

    Methionine Biosynthetic Process
Sie sind hier:
Chat with us!