Telefon:
+49 (0)241 95 163 153
Fax:
+49 (0)241 95 163 155
E-Mail:
orders@antikoerper-online.de

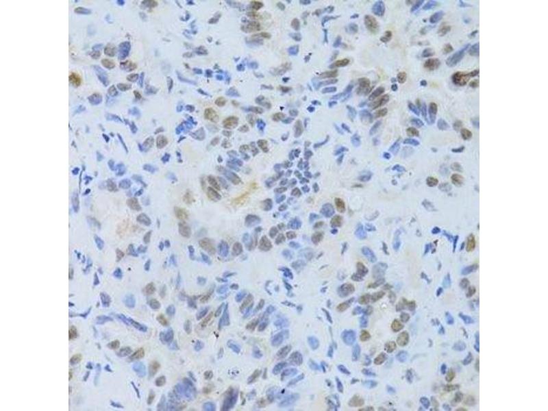
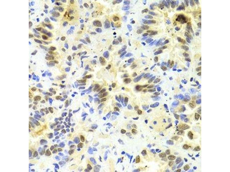
SRSF1 Antikörper (pSer1)

Der Kaninchen Polyklonal anti-SRSF1 Antikörper wird verwendet zum Nachweis von SRSF1 in Proben von Human, Maus und Ratte. Er wurde validiert für WB und IHC.
Produktnummer ABIN3022320
320,00 €
Zzgl. Versandkosten 20,00 € und MwSt
Lieferung nach: Deutschland
Lieferung in 7 bis 9 Werktagen

Kurzübersicht für SRSF1 Antikörper (pSer1) (ABIN3022320)

Target

Alle SRSF1 Antikörper anzeigen
SRSF1 (serine/arginine-Rich Splicing Factor 1 (SRSF1))

Reaktivität

  • 61
  • 39
  • 39
  • 7
  • 7
  • 5
  • 5
  • 4
  • 4
  • 3
  • 3
  • 3
  • 3
  • 3
  • 2
  • 1
  • 1
  • 1
Human, Maus, Ratte

Wirt

  • 58
  • 3
Kaninchen

Klonalität

  • 38
  • 23
Polyklonal

Konjugat

  • 33
  • 4
  • 3
  • 3
  • 3
  • 3
  • 3
  • 3
  • 1
  • 1
  • 1
  • 1
  • 1
  • 1
Dieser SRSF1 Antikörper ist unkonjugiert

Applikation

  • 46
  • 23
  • 17
  • 15
  • 12
  • 11
  • 10
  • 6
  • 1
  • 1
  • 1
Western Blotting (WB), Immunohistochemistry (IHC)
  • Bindungsspezifität

    • 8
    • 5
    • 4
    • 2
    • 2
    • 2
    • 2
    • 1
    • 1
    • 1
    • 1
    • 1
    • 1
    pSer1

    Aufreinigung

    Affinity purification

    Immunogen

    Recombinant protein of human SFR pSer1

    Isotyp

    IgG
  • Applikationshinweise

    Recommended dilutions: WB: 1:500-1:2000, IHC: 1:50-1:200

    Beschränkungen

    Nur für Forschungszwecke einsetzbar
  • Format

    Liquid

    Buffer

    PBS with 0.02 % sodium azide, 50 % glycerol, pH 7.3

    Konservierungsmittel

    Sodium azide

    Vorsichtsmaßnahmen

    This product contains sodium azide: a POISONOUS AND HAZARDOUS SUBSTANCE which should be handled by trained staff only.

    Handhabung

    Avoid freeze / thaw cycles

    Lagerung

    -20 °C/-80 °C
  • Target

    SRSF1 (serine/arginine-Rich Splicing Factor 1 (SRSF1))

    Andere Bezeichnung

    SFRS1

    Hintergrund

    SF2/ASF is a member of the Ser-Arg-rich (SR) protein family of highly conserved nuclear phosphoproteins involved in pre-mRNA splicing. Besides its role in nuclear pre-mRNA splicing, SF2/ASF has been shown to shuttle between the nucleus and cytoplasm, suggesting additional roles in mRNA transport and cytoplasmic events. SF2/ASF associates with translating ribosomes and stimulates translation. It also activates translation initiation by suppressing the activity of 4E-BP1, which is mediated by SF2/ASF association with mTOR and the phosphatase PP2A. More recent studies have demonstrated a role for SF2/ASF in microRNA processing.
    Synonyms: ASF, MGC5228, SF2, SF2p33, SRp30a

    Gen-ID

    6426

    UniProt

    Q07955

    Pathways

    Ribonucleoprotein Complex Subunit Organization
Sie sind hier:
Chat with us!